


В интернете гуляет множество вариантов от стоматологов: от "щетка средняя + паста любой абразивности" до "щетка ультрамягкая + паста детская 0-3 года". Какой комплекс "абразивность щетки + абразивность пасты", оптимален в таких случаях?
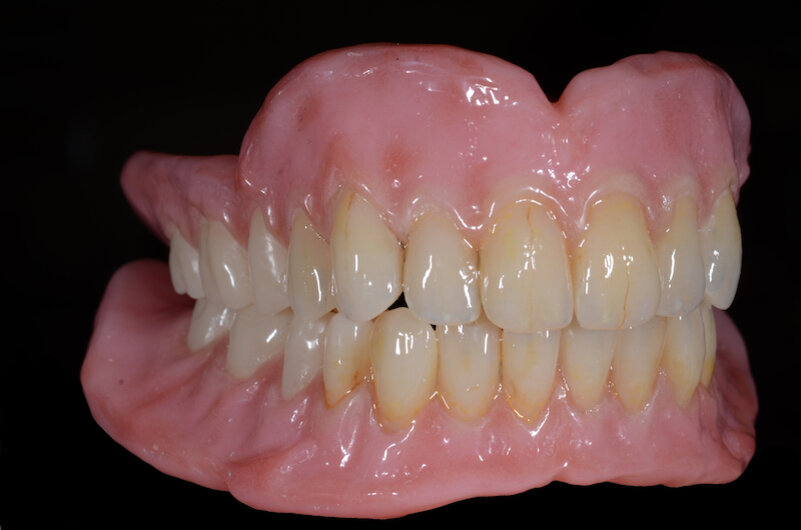
Для начала про акриловые протезы. Их лучше не воспринимать как постоянные, только как временные. Акрил — это пористый пластик, который впитывает в себя все подряд. Съемные протезы люди обычно вынимают, тщательно моют по несколько раз в день, да и то у многих они со временем покрываются отложениями, пигментируются и выглядят непрезентабельно.
Если же протез несъемный, то доступ к самым важным местам у него сильно затруднен. Там обязательно начинает откладываться налет, который крайне неблагоприятно действует на десну, воспаляет ее и является угрозой для имплантатов. Крайне малое количество людей (примерно один из десяти) может качественно чистить несъемный акриловый протез.
Далее. Системы «all-in-6» в природе не существует. Есть торговая марка «all-on-4», а все остальное — разные модификации мостовидных протезов на имплантатах, постоянное протезирование которых обычным акрилом тоже не является предпочтительным. Лучший выбор — металлокерамика, в идеале на диоксиде циркония. К таким протезам ничего не прилипает, они ничего в себя не впитывают, никогда не меняют цвет и их невозможно стереть щеткой, как акриловые.
Говорить о каком-то конкретном универсальном комплексе для всех людей не приходится. Вы можете взять самую дорогую зубную щетку и пасту и чистить зубы неправильно. А можете качественно чистить зубы дешевой одноразовой щеткой из поезда.
Использовать мягкие щетки и детскую пасту и вовсе бесполезно, т.к. мягкая щетка плохо счищает легко въедающийся в акрил налет, а детская зубная паста не имеет абразивности вообще. Подобное сочетание для акрилового протеза имеет только один плюс — оно его не сотрет и, когда имплантаты вместе с протезом вывалятся, он будет лежать в руке как новенький! Все остальное — сплошной минус.
У каждого человека свой состав слюны и свои пищевые привычки. Кому-то можно просто слегка почистить зубы и будет все хорошо, а есть пациенты, которые ходят каждые полгода на профессиональную гигиену полости рта и у них через три месяца уже можно выковыривать из-под протеза булыжники.
Поэтому для начала рекомендуем соблюдать такую же гигиену, как и для своих собственных зубов. А далее по факту можно корректировать, если ее будет недостаточно.
После фиксации протезов назначают контрольный осмотр через 3-6 месяцев и наблюдают, насколько качественно пациент чистит протезы. Если все плохо, то направляют к гигиенисту на перевоспитание. Если все хорошо, то отпускают еще на год. Если через год хорошо, то на три.
«Эмиль Гургенович, а чем, по вашему мнению, нужно чистить акриловые несъемные протезы "all-in-6" ? В инете гуляет множество вариантов от стоматологов: от "щетка средняя + паста любой абразивности" до "щетка ультрамягкая + паста детская 0-3 года". Сам наблюдал пластмассовые протезы, стертые на "фронте" до грязно-серого состояния... Их, видимо, тоже чистили всем подряд, и зубным порошком тоже… Какой комплекс "абразивность щетки + абразивность пасты", по-вашему, оптимален в таких случаях?»
Для начала выскажусь про акриловые протезы. Я их не воспринимаю как постоянные, только как временные. Акрил — это пористый пластик, который впитывает в себя все подряд. Съемные протезы люди обычно вынимают, тщательно моют по несколько раз в день, да и то у многих они со временем покрываются отложениями, пигментируются и выглядят непрезентабельно.
Если же протез несъемный, то доступ к самым важным местам у него сильно затруднен. Там обязательно начинает откладываться налет, который крайне неблагоприятно действует на десну, воспаляет ее и является угрозой для имплантатов. Крайне малое количество людей (примерно один из десяти) может качественно чистить несъемный акриловый протез.
Далее. Системы «all-in-6» в природе не существует. Есть торговая марка «all-on-4», а все остальное — разные модификации мостовидных протезов на имплантатах, постоянное протезирование которых обычным акрилом тоже не является предпочтительным. Лучший выбор — металлокерамика, в идеале на диоксиде циркония. К таким протезам ничего не прилипает, они ничего в себя не впитывают, никогда не меняют цвет и их невозможно стереть щеткой в хлам, как акриловые.
Говорить о каком-то конкретном универсальном комплексе для всех людей не приходится. Я всегда говорил о том, что каждое оружие хорошо в руках своего мастера. Вы можете взять самую дорогую зубную щетку и пасту и чистить зубы неправильно. А можете качественно чистить зубы дешевой одноразовой щеткой из поезда.
Использовать мягкие щетки и детскую пасту и вовсе бесполезно, т.к. мягкая щетка плохо счищает легко въедающийся в акрил налет, а детская зубная паста не имеет абразивности вообще. Подобное сочетание для акрилового протеза имеет только один плюс — оно его не сотрет и, когда имплантаты вместе с протезом вывалятся, он будет лежать в руке как новенький! Все остальное — сплошной минус.
У каждого человека свой состав слюны и свои пищевые привычки. Кому-то можно просто слегка почистить зубы и будет все хорошо, а есть пациенты, которые ходят каждые полгода на профессиональную гигиену полости рта и у них через три месяца уже можно выковыривать из-под протеза булыжники.
Поэтому для начала я всем рекомендую соблюдать такую же гигиену, как и для своих собственных зубов. А далее по факту можно корректировать, если ее будет недостаточно.
После фиксации протезов назначаю контрольный осмотр через 3-6 месяцев и наблюдаю, насколько качественно пациент чистит протезы. Если все плохо, то направляю к гигиенисту на перевоспитание. Если все хорошо, то отпускаю на год. Если через год хорошо, то на три, а если плохо, то наказываю и опять через полгода вызываем.