Врач общается с ребенком, называет его по имени, объясняет, что будет происходить, показывает кресло и лампу, предлагает маленькие «пробные шаги». Если ребенок тревожный, прием идет в режиме адаптации, без давления.



Детский стоматолог – это врач, который лечит и предупреждает проблемы с зубами у детей, учитывая возраст, характер, привычки и этапы роста. Ребенок не маленький взрослый. Он иначе реагирует на звуки, запахи, яркий свет, незнакомые ощущения и новую обстановку. Поэтому детский прием – это не только знания и руки врача, но и психология, доверие и правильный темп.
Детский стоматолог обычно работает сразу в нескольких направлениях:
Очень важно понимать: молочные зубы влияют на питание, речь, сон и настроение. Если молочный зуб болит, ребенок может перестать жевать на одной стороне, хуже есть, хуже спать, чаще капризничать. Если зуб разрушен и воспаление тянется долго, это отражается на общем самочувствии. Кроме того, преждевременная потеря молочного зуба может привести к нехватке места для постоянного, а дальше уже появляется необходимость ортодонтического лечения.
Консультация детского стоматолога часто становится «точкой старта» для всей семьи. Вы получаете понятную схему: когда приходить на осмотры, как чистить зубы ребенку, какие привычки вредят эмали, и как не доводить ситуацию до срочной боли.
На консультации врач оценивает не один зуб, а всю полость рта, потому что у детей кариес и воспаление часто развиваются «пятнами», а не строго в одном месте. Детский стоматолог помогает при следующих проблемах:
Отдельная тема – так называемый «быстрый кариес». У некоторых детей эмаль поражается очень быстро, потому что влияет питание, частые перекусы, сладкие напитки, недостаточная чистка или просто высокий кариес-риск. На консультации врач объясняет, как снизить риск именно в вашей ситуации.
Детский стоматолог помогает не только вылечить полость в зубе. Он помогает выстроить отношение к лечению без страха и сделать так, чтобы ребенок реже попадал в срочные ситуации.
На практике врач:
Иногда самая важная помощь – это снизить тревогу. Ребенку важно почувствовать, что его не ругают за кариес и не заставляют терпеть. Когда прием проходит спокойно, дальше ребенок легче соглашается на лечение и перестает бояться.
На консультации врач может предложить разные методы, в зависимости от возраста и ситуации. Главное – чтобы они были уместны для конкретного ребенка.
Что обычно обсуждают и применяют по показаниям:
Отдельно стоит сказать о привычках. Частые перекусы, сладкие напитки, печенье «на ходу», соки в бутылочке, привычка засыпать с молоком или сладким – все это повышает риск кариеса. На консультации врач объясняет, как сделать изменения мягко, без конфликтов, но эффективно. Иногда достаточно поменять один-два бытовых момента, и ситуация с кариесом становится намного лучше.
Родителям хочется помочь, но иногда они сами случайно усиливают страх фразами вроде «не бойся, тебе не будет больно». Ребенок слышит слово «больно» и начинает волноваться.
Что обычно помогает подготовке:
Если ребенок уже боится, консультация все равно возможна. Просто врач будет делать акцент на адаптации, знакомстве и постепенном контакте. Это нормальный путь, и он часто дает лучший результат, чем попытка «сразу полечить любой ценой». В случае, если ребенок не готов самостоятельно сидеть в кресле, а лечение необходимо, возможно лечение зубов “во сне” — мягкая седация исключает какой-либо стресс у маленького пациента.
Врач общается с ребенком, называет его по имени, объясняет, что будет происходить, показывает кресло и лампу, предлагает маленькие «пробные шаги». Если ребенок тревожный, прием идет в режиме адаптации, без давления.
Врач уточняет жалобы, режим питания, частоту сладкого, привычки перекусов, как проходит чистка зубов, есть ли опыт лечения и как ребенок его переносит. Важно также знать, были ли травмы, падения, удары зубами, потому что последствия иногда проявляются позже.
Осмотр проходит бережно: врач оценивает зубы, эмаль, десны, наличие налета, состояние старых пломб, если они есть. Уточняет, где возможны зоны риска, и смотрит смену зубов. Если ребенок маленький, врач может попросить родителей помочь удержать внимание и спокойно открыть рот на несколько секунд.
Если есть подозрение на скрытый кариес, воспаление или проблему, которую снаружи не видно, врач объясняет, какие исследования нужны и зачем. Это важно для доверия: ребенок и родители должны понимать смысл каждого шага.
Врач говорит, что нужно лечить в первую очередь, что можно наблюдать, какие визиты и сроки ожидаются. Если ребенок не готов к лечению в этот день, план выстраивается так, чтобы сначала закрепить доверие, а уже потом переходить к лечению.
Родителям показывают, как правильно чистить зубы ребенку в конкретном возрасте, сколько времени это должно занимать, как выбирать щетку и пасту, как пользоваться нитью или ершиками, если они уже актуальны. Часто именно этот этап дает самый быстрый эффект: уменьшается налет, десна становится спокойнее, и риск кариеса снижается.
Стоимость зависит от нескольких факторов:
Лечение кариеса
7 000 ₽
6 000 ₽
Лечение пульпита
14 000 ₽
13 000 ₽
Итого за всё «под ключ»
3 500 ₽ 2 500 ₽
Лечение кариеса
9 500 ₽
8 500 ₽
Лечение пульпита
13 500 ₽
12 500 ₽
Итого за всё «под ключ»
3 500 ₽ 2 500 ₽
Удаление молочного зуба
6 000 ₽
5 000 ₽
Удаление подвижного зуба
2 000 ₽
1 800 ₽
Итого за всё «под ключ»
2 500 ₽ 2 000 ₽
Если у ребенка сильная зубная боль, переносить визит не стоит. Важно сообщить о симптомах при записи. Тогда прием будет выстроен как неотложный: врач сначала поможет снять остроту, а затем составит понятный план лечения, чтобы боль не возвращалась.
Детские зубы чаще всего страдают не из-за «плохих генов», а из-за сочетания факторов: налет, сладкие перекусы, поздняя чистка, отсутствие контроля и редкие осмотры. Многие из этих факторов можно изменить без радикальных запретов. Самая правильная стратегия для семьи простая: регулярный контроль; понятная гигиена по возрасту; профилактика в моменты риска, когда прорезались жевательные зубы; лечение на ранней стадии, пока это маленький объем. Если делать именно так, ребенок в большинстве случаев не узнает, что такое ночная зубная боль, а визиты к стоматологу становятся обычным делом, как стрижка или плановый осмотр у педиатра.
Детский стоматолог
Пациент:
Егор, 7 лет
Жалобы пациента:
скол переднего зуба после падения на улице.
Что делали:
Результат:
зуб восстановлен, эстетика улыбки сохранена, ребёнок чувствует себя уверенно и комфортно.
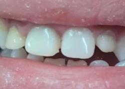
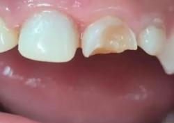
Пациент:
Алина, 6 лет
Жалобы пациента:
скол на переднем зубе из-за кариеса, чувствительность при еде.
Что делали:
Результат:
зуб восстановлен и выглядит естественно, исчез дискомфорт при еде, проведена профилактика новых кариозных поражений.
Пациент:
Мария, 6 лет
Жалобы пациента:
профилактический осмотр, родители хотели защитить зубы от кариеса.
Что делали:
Результат:
молочные зубы защищены, риск кариеса снижен, ребёнок получил позитивный опыт визита к стоматологу.
Мы учитываем возраст, психологические особенности и состояние здоровья ребёнка, чтобы лечение прошло максимально комфортно.
Используем современные технологии и безопасные материалы, подходящие даже самым маленьким пациентам.
Регулярные осмотры помогают вовремя заметить проблемы и сформировать правильные привычки ухода за зубами.
Мы не только лечим зубы, но и помогаем сохранить их надолго, чтобы ребёнок рос с красивой и здоровой улыбкой.
В клинике «КДС» особое внимание уделяем качеству и безопасности детского лечения. Все процедуры проводят врачи с опытом работы с детьми под контролем главного врача. Мы используем щадящие методики, сертифицированные материалы и современное оборудование.
Звоните:
В КДС у метро Проспект Большевиков (Санкт-Петербург) детские стоматологи строят прием так, чтобы ребенок не боялся и приходил спокойно:
Белолюбская Светлана Викторовна
Стоматолог-терапевт, детский стоматолог
ул.Коллонтай, 17 к.2
Стоматолог-терапевт, детский стоматолог
ул.Коллонтай, 17 к.2
Этичный медицинский подход. Используем только те технологии и методики лечения, которые предложили бы своим близким.
Опытные врачи. Ваше здоровье в надёжных руках специалистов, которые не только постоянно повышают квалификацию, но и обучают коллег.
Прозрачные условия. Фиксированная стоимость лечения и понятная этапность без скрытых доплат.
Екатерина
+7-910-8ХХ-ХХ-ХХ
Долго искала клинику, где можно одновременно решить все проблемы с зубами — и кариес, и протезирование. В КДС составили полный план лечения, объяснили каждый шаг, а врачи сделали всё максимально комфортно. Здесь чувствуешь себя в надёжных руках.
Алексей
+7-917-5ХХ-ХХ-ХХ
Мне проводили имплантацию и протезирование «всё на 4». Сначала было страшно, но команда хирургов и ортопедов всё объяснила и оказала моральную поддержку. Результат превзошёл ожидания — чувствую себя прекрасно с новой улыбкой.
Марина
+7-916-8ХХ-ХХ-ХХ
Привела ребёнка на ортодонтическое лечение. Очень боялась, что будет трудно его убедить в необходимости установки брекетов, но врачи нашли индивидуальный подход: объясняли всё по шагам, использовали современные методы адаптации детей к осмотру. Сейчас сын спокойно носит брекеты, посещает приемы, а результат уже виден!
Сергей
+7-910-4ХХ-ХХ-ХХ
Долго откладывал лечение дисфункции височно-нижнечелюстного сустава, пока не обратился в КДС. В клинике провели комплексную диагностику, сделали сплинты, ортопедическую подготовку и протезирование. После курса лечения исчезли боли и щелчки, и я снова могу нормально жевать.
Алина
+7-906-6ХХ-ХХ-ХХ
Хочу поблагодарить команду КДС за профессионализм и честность. Когда предлагались методы, которые могли бы быть сомнительными, врачи честно объяснили риски и предложили лучшее решение. Чувствуется, что заботятся о пациентах, а не просто о доходе.
Иван
+7-915-5ХХ-ХХ-ХХ
Мне удаляли зубы мудрости под седацией. Процедура прошла абсолютно спокойно, а врачи всё объяснили ещё до наркоза. После лечения ни боли, ни неприятных ощущений. Очень удобно, что здесь комплексный подход — сразу делают всё, что нужно, без лишних визитов.