- Первичный осмотр.
- Сбор анамнеза.
- Обсуждение возможных вариантов лечения.



Лечение на брекет-системах помогает не только сделать улыбку красивой, но и сохранить здоровье зубов, десен и суставов. Правильный прикус облегчает жевание, улучшает дикцию и снижает риск кариеса и заболеваний пародонта.
Мы используем современные брекет-системы — металлические, которые отличаются прочностью и высокой эффективностью, а также керамические, более эстетичные и малозаметные, что делает лечение комфортным даже для тех, кому необходимы малозометные конструкции во время терапии.
Вам не придётся тратить время на поиск разных специалистов — диагностика, установка и контроль лечения проходят в нашей клинике. Опытный ортодонт сопровождает процесс на каждом этапе, учитывая как медицинские показания, так и ваши пожелания к внешнему виду улыбки.
Ровная улыбка без переплат и лишних этапов
Мы ведём лечение полностью «под ключ»: диагностика, установка брекетов, контроль и снятие системы — всё проходит в нашей клинике.
Пошаговое ведение лечения позволяет не только выровнять зубы, но и защитить здоровье пародонта, суставов, исправить прикус в целом.
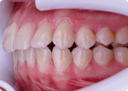
При глубоком прикусе верхние зубы чрезмерно перекрывают нижние. Это может вызывать стираемость эмали, перегрузку челюстного сустава и эстетический дискомфорт.
На что обращать внимание:
Преимущества лечения:
Особенности:
Лечение проводится с применением брекетов и дополнительных элементов (пружин, дуг, эластиков) для выравнивания зубного ряда.
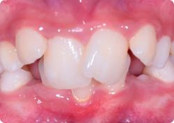
Характеризуется тем, что при смыкании зубов остаётся щель между верхним и нижним рядом, чаще всего в переднем отделе. Это влияет на речь, жевание и эстетику.
На что обращать внимание:
Преимущества лечения:
Особенности:
Лечение может быть более продолжительным, иногда требует применения дополнительных ортодонтических аппаратов.
При таком нарушении верхняя челюсть значительно выступает вперёд по отношению к нижней.
На что обратить внимание:
Преимущества лечения:
Особенности:
Лечение может включать использование межчелюстных тяг и дополнительных ортодонтических элементов.
Характеризуется выдвижением нижней челюсти вперёд, при этом нижние зубы перекрывают верхние.
На что обратить внимание:
Преимущества лечения:
улучшение внешнего вида и симметрии лица;
восстановление правильного функционирования височно-нижнечелюстных суставов;
устранение перегрузки зубов.
Особенности:
Лечение может занимать больше времени, чем при других типах прикуса, и требует комплексного подхода.
При данной патологии прикуса смыкание не симметричное,что может отразиться на симметрии и пропорциях лица,а также на симметричном функционировании височно-нижнечелюстных суставов.
На что обратить внимание:
Преимущества лечения:
восстановление симметрии улыбки и лица;
снижение риска преждевременной стираемости зубов;
нормализация жевательной функции.
Особенности:
Требует тщательного планирования и комплексной коррекции с использованием брекетов и дополнительных элементов.
Вас встречает администратор, сопровождает до кабинета и помогает с оформлением документов.
При необходимости проводится функциональная диагностика ВНЧС, снимки и цифровое сканирование.
Составляется чёткий план лечения брекетами с прогнозируемыми сроками и этапами.
Классическая и надёжная система, подходящая для коррекции любых типов прикуса. Эффективны при сложных аномалиях, прочны и долговечны.
Эстетичный вариант, малозаметный на зубах. Подходят пациентам, для которых важно, чтобы система была не заметна во время лечения, при этом также эффективны для большинства случаев коррекции прикуса.
Надёжная классическая система, подходящая для лечения любых нарушений прикуса. Обеспечивают точное выравнивание зубов и эффективную коррекцию сложных случаев, при этом срок лечения остаётся оптимальным. Используем MiniDiamond и BioMim.
Системы нового поколения H4 с встроенным замком, который удерживает дугу без резинок. Позволяют сократить количество визитов к ортодонту и обеспечивают более мягкое воздействие на зубы, сохраняя комфорт пациента. Высокоточные самолигирующие брекеты премиум-класса Pitts21. Отличаются минимальным трением дуги, что ускоряет движение зубов и повышает эффективность коррекции прикуса, особенно в сложных случаях.
Эстетичная система с прозрачными замочками, практически незаметная на зубах. Обеспечивает надёжную фиксацию дуги и позволяет сочетать эффективность лечения с высокой эстетикой.
Исправление прикуса важно не только для красоты улыбки, но и для здоровья зубов, десен и височно-нижнечелюстного сустава. Неправильное смыкание зубов может приводить к перегрузке отдельных зубов, повышенному риску кариеса, воспалению десен, стираемости эмали и проблемам с височно-нижнечелюстным суставом. Коррекция прикуса с помощью брекетов позволяет восстановить правильное распределение жевательной нагрузки, улучшить дикцию, облегчить процесс жевания и создать гармоничную, здоровую и эстетичную улыбку.
Правильный прикус — это не только красивая улыбка, но и фундамент здоровья зубов, суставов и всего организма.
Таким образом, исправление прикуса брекетами является важным этапом комплексной стоматологической помощи. Грамотная диагностика и индивидуальный подход позволяют врачу выбрать безопасный и эффективный метод коррекции, а пациенту — сохранить здоровье и уверенность в себе.
В КДС мы планируем и проводим ортодонтическое лечение для получения эстетического результата, здоровья зубов, суставов и правильного функционирование всей челюстной системы. Мы обеспечиваем комплексное безопасное лечение.
Исправление прикуса — процесс комплексный, и успех лечения зависит не только от выбранной системы брекетов, но и от регулярности визитов, соблюдения рекомендаций по гигиене и питания. Не откладывайте консультацию: чем раньше начинается коррекция, тем проще и быстрее достигается стабильный результат. Следите за чистотой зубов и брекетов, посещайте ортодонта в назначенные сроки, и ваша улыбка будет не только ровной, но и здоровой.
Стоматолог-ортодонт
Пациент:
Сергей, 22 года
Жалобы пациента:
Открытый прикус, затруднение при откусывании пищи.
Что делали:
Результат:
Прикус выровнен, восстановлена жевательная функция, улыбка стала эстетичной и гармоничной.
Пациент:
Марина, 34 года
Жалобы пациента:
Выступающие верхние зубы, асимметрия улыбки.
Что делали:
Результат:
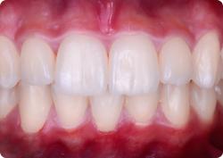
Нормализовано соотношение челюстей, улыбка стала симметричной, жевательная функция восстановлена.
Пациент:
Алексей, 19 лет
Жалобы пациента:
Перекрытие передних зубов, затруднённая гигиена.
Что делали:
Результат:
Зубы выровнены, улучшена гигиена полости рта, прикус стал правильным, улыбка — эстетичной.
Мы подбираем методику и систему брекетов с учётом особенностей прикуса.
Регулярные визиты к врачу позволяют отслеживать динамику, корректировать план.
Мы используем современные технологии и материалы.
После завершения лечения мы обеспечиваем ретенционный период.
В клинике «КДС» гарантируем высокое качество ортодонтического лечения. Все этапы установки и ведения пациентов контролирует главный врач, а команда ортодонтов работает по единым стандартам — лечение можно продолжить у любого специалиста без потери качества. Мы используем только проверенные брекет-системы премиум-класса, обеспечивающие точный и предсказуемый результат.
Звоните:
В КДС работают опытные специалисты, которые регулярно повышают квалификацию и используют индивидуальный подход к каждому пациенту. Наша цель — не только красивая улыбка, но и здоровье зубочелюстной системы, поэтому мы обеспечиваем комплексное, безопасное и эффективное лечение.
Каждая улыбка уникальна. Врачи оценивают строение челюстей, особенности прикуса и эстетические предпочтения, чтобы подобрать оптимальное лечение. Такой подход гарантирует максимальный комфорт и высокую эффективность процедур.
Мы применяем передовое оборудование и методы, которые ускоряют процесс коррекции, повышают точность и делают лечение комфортным.
Среди технологий:
Благодаря комплексному подходу пациенты получают прогнозируемый результат: гармоничный прикус, ровные зубы и красивую улыбку, сохраняя здоровье зубов. Наши врачи регулярно повышают квалификацию, осваивают современные методики и используют актуальные технологии ортодонтии.
Главный врач, стоматолог-ортодонт
ул.Коллонтай, 17 к.2
пр.Народного Ополчения, 10
Главный врач, стоматолог-ортодонт
пр.Народного Ополчения, 10
Генеральный директор, стоматолог-ортодонт, врач высшей категории, к.м.н.
Коломяжский проспект, 20
ул.Коллонтай, 17 к.2
пр.Народного Ополчения, 10
Этичный медицинский подход. Используем только те технологии и методики лечения, которые предложили бы своим близким.
Опытные врачи. Ваше здоровье в надёжных руках специалистов, которые не только постоянно повышают квалификацию, но и обучают коллег.
Прозрачные условия. Фиксированная стоимость лечения и понятная этапность без скрытых доплат.

Правильный уход за зубами во время лечения брекетами помогает сохранить здоровье полости рта и добиться ровной, красивой улыбки после снятия системы.
Киселев Алексей Витальевич
Стоматолог-ортодонт
Исправление прикуса с помощью брекетов важно не только для эстетики, но и для здоровья зубов, десен и челюстного сустава. Своевременное лечение предотвращает осложнения, восстанавливает жевательную функцию и помогает поддерживать гармоничные пропорции лица.
Современные брекет-системы делают лечение более точным и прогнозируемым. С помощью цифрового планирования и индивидуального подхода ортодонты рассчитывают все этапы терапии, сокращают сроки лечения и повышают эффективность коррекции прикуса.
Брекеты обеспечивают устойчивый эффект, сохраняя правильный прикус и красоту улыбки на долгие годы.
Исправление прикуса улучшает жевание, речь и снижает риск заболеваний зубов и десен.
Брекет-системы позволяют исправлять даже самые сложные аномалии прикуса с предсказуемым результатом.
Екатерина
+7-910-8ХХ-ХХ-ХХ
Долго искала клинику, где можно одновременно решить все проблемы с зубами — и кариес, и протезирование. В КДС составили полный план лечения, объяснили каждый шаг, а врачи сделали всё максимально комфортно. Здесь чувствуешь себя в надёжных руках.
Алексей
+7-917-5ХХ-ХХ-ХХ
Мне проводили имплантацию и протезирование «всё на 4». Сначала было страшно, но команда хирургов и ортопедов всё объяснила и оказала моральную поддержку. Результат превзошёл ожидания — чувствую себя прекрасно с новой улыбкой.
Марина
+7-916-8ХХ-ХХ-ХХ
Привела ребёнка на ортодонтическое лечение. Очень боялась, что будет трудно его убедить в необходимости установки брекетов, но врачи нашли индивидуальный подход: объясняли всё по шагам, использовали современные методы адаптации детей к осмотру. Сейчас сын спокойно носит брекеты, посещает приемы, а результат уже виден!
Сергей
+7-910-4ХХ-ХХ-ХХ
Долго откладывал лечение дисфункции височно-нижнечелюстного сустава, пока не обратился в КДС. В клинике провели комплексную диагностику, сделали сплинты, ортопедическую подготовку и протезирование. После курса лечения исчезли боли и щелчки, и я снова могу нормально жевать.
Алина
+7-906-6ХХ-ХХ-ХХ
Хочу поблагодарить команду КДС за профессионализм и честность. Когда предлагались методы, которые могли бы быть сомнительными, врачи честно объяснили риски и предложили лучшее решение. Чувствуется, что заботятся о пациентах, а не просто о доходе.
Иван
+7-915-5ХХ-ХХ-ХХ
Мне удаляли зубы мудрости под седацией. Процедура прошла абсолютно спокойно, а врачи всё объяснили ещё до наркоза. После лечения ни боли, ни неприятных ощущений. Очень удобно, что здесь комплексный подход — сразу делают всё, что нужно, без лишних визитов.