+7 (812) 426-00-00
Записаться на приём
Записаться на приём

    Записаться на прием
    Как к Вам обращаться?
    Контактный телефон
    Какая клиника предпочтительней?
    Ваша заявка принята
    Спасибо за обращение в клинику "КДС".
    Администратор клиники перезвонит вам после получения заявки в течении 1 часа

    Синус-лифтинг

    Получение объема костной ткани для правильной и надежной имплантации

    Благодаря точной диагностике формируем индивидуальный план лечения

    Используем передовые костнообразующие (остеотропные) материалы: Bio-Oss, Bio-Gide и другие

    Открытый синус-лифтинг — от 175 000 ₽
    Закрытый синус-лифтинг — от 300 000 ₽

    Синус-лифтинг
    Медицинская
    информация
    достоверна!
    Кобалия Васо Мерабович
    Опубликовано
    2026-03-10
    На чтение
    9 мин
    Обновлено
    2026-04-20
    Просмотров
    314

    Синус-лифтинг в КДС

    Восстановим объём кости перед имплантацией для надёжной фиксации импланта

    Синус-лифтинг — процедура по увеличению объёма костной ткани. Она необходима из-за особенностей анатомии: корни 5, 6 и 7 зубов верхней челюсти расположены очень близко к верхнечелючстным синусам, а иногда частично входят в их полость. Гайморовы пазухи (или синусы) — это крупные воздухоносные пространства на верхней челюсти по обе стороны от носа, относящиеся к дыхательной системе. Их объём может быть настолько большим, что необходимость в синус-лифтинге возникает даже при имплантации в зоне 3–4 зубов. Оценить размер синусов и высоту костной ткани позволяет компьютерная томография — её можно пройти прямо в нашей клинике. Благодаря синус-лифтингу создаётся прочное основание для импланта, что обеспечивает его долгосрочную стабильность. Процедура проводится под местной анестезией или седацией, а современные материалы гарантируют быструю регенерацию кости. Уже через несколько месяцев в области синус-лифтинга формируется крепкая костная ткань для идеальной приживаемости импланта.

    Как проходит синус-лифтинг в КДС

    Мы работаем по современному протоколу, где каждый этап контролируется хирургом и подтверждён диагностикой.

    1. Предварительная диагностика — гарантия точного результата. Врач проводит осмотр, делает КТ. Это позволяет оценить объём костной ткани, расположение синусов и спланировать вмешательство так, чтобы оно прошло максимально безопасно и эффективно.
    2. Составление индивидуального плана лечения. План создаётся персонально под каждый случай с учётом анатомии, состояния костной ткани, будущей позиции импланта, сроков и пожеланий пациента. Мы заранее обсуждаем объём процедуры, сроки восстановления и стоимость.
    3. Проведение синус-лифтинга. Используются только сертифицированные, полностью биосовместимые материалы. Процедура проходит под местной анестезией, седацией или наркозом.
    4. Формирование новой костной ткани. Материал постепенно замещается собственной костью пациента. Срок регенерации обычно занимает от 3 до 6 месяцев.

    После формирования достаточного объёма кости выполняется имплантация. В ряде случаев возможно одномоментное проведение синус-лифтинга и установки импланта. Мы сопровождаем пациента до полного заживления и проводим осмотры, чтобы убедиться в правильном восстановлении тканей и готовности к имплантации.

    Почему пациенты выбирают синус-лифтинг в КДС

    • Полное ведение «под ключ». От диагностики до имплантации — все этапы проходят в одной клинике, под контролем одной команды специалистов.Хирурги-имплантологи с опытом от 15 лет Наши врачи регулярно выполняют синус-лифтинг и работают даже в самых сложных случаях атрофии кости.
    • Современные, биосовместимые материалы. Используем только проверенные остеопластические составы с высокой степенью приживления — безопасные, гипоаллергенные, предсказуемые.
    • Минимум боли и тревоги. Современная анестезия и щадящие хирургические техники позволяют провести процедуру комфортно. Пациент не чувствует боли ни во время, ни после вмешательства — только лёгкий дискомфорт, который проходит в течение нескольких дней.
    • Цифровой контроль на каждом этапе. КТ, 3D-сканирование и цифровые протоколы позволяют заранее рассчитать оптимальный объём кости и будущую позицию импланта.
    • Прозрачная стоимость. Мы заранее составляем смету и фиксируем стоимость — вы точно знаете, за что платите.
    • Возможность восстановления даже при выраженной атрофии. Мы успешно проводим синус-лифтинг в сложных анатомических условиях, что делает имплантацию возможной для пациентов, которым раньше отказывали.

    Мы не просто «наращиваем кость» — мы создаём надёжный фундамент для долгосрочной качественно имплантации. Наш подход обеспечивает предсказуемый результат, безопасное восстановление костной ткани и уверенность пациента на каждом этапе лечения.

    Виды синус-лифтинга

    В нашей клинике синус-лифтинг проводится только после тщательной диагностики и оценки состояния костной ткани верхней челюсти. Мы подбираем метод увеличения объёма кости индивидуально для каждого пациента, учитывая анатомию синусов, высоту костного гребня и особенности предполагаемой имплантации. Процедура необходима, когда кости недостаточно для надёжной установки импланта — чаще всего в зоне 5, 6 и 7 зубов, где дно синуса расположено особенно низко.
    Современные методики, точное планирование по КТ и опыт хирургов позволяют проводить синус-лифтинг безопасно и с минимальным дискомфортом. Используемые остеопластические материалы полностью биосовместимы, не вызывают аллергических реакций и постепенно заменяются собственной костью пациента.

    Закрытый синус-лифтинг

    Закрытый синус-лифтинг

    Закрытый, или малотравматичный, синус-лифтинг выполняется, когда высоты кости не хватает незначительно — обычно от 1 до 3 мм. Этот метод позволяет мягко приподнять дно пазухи через отверстие под имплант и дополнительно ввести костнопластический материал.

    Подходит, если:

    • недостающий объём кости небольшой;
    • планируется одномоментная установка импланта;
    • важна минимальная травматичность процедуры;
    • требуется быстрое восстановление.

    Преимущества:

    • щадящая техника;
    • возможность установить имплант за один визит;
    • короткий реабилитационный период;
    • высокая предсказуемость результата.

    Особенности:

    • проводится обычно под местной анестезией;
    • выполняется только при достаточной первоначальной высоте кости;
    • занимает в среднем 20–30 минут.

    Открытый синус-лифтинг

    Открытый синус-лифтинг

    Открытый синус-лифтинг применяется, когда костной ткани недостаточно значительно — обычно высота кости составляет менее 5–6 мм. Врач создаёт доступ к пазухе через разрез, аккуратно приподнимает её дно и формирует достаточный объём кости для последующей имплантации.

    Подходит, если:

    • имеется выраженная атрофия костной ткани;
    • высота кости критически низкая;
    • требуется восстановить большие объёмы;
    • имплантация без подготовки невозможна.

    Преимущества:

    • можно увеличить объём кости на 5–10 мм и более;
    • создаёт максимально надёжное основание для импланта;
    • обеспечивает длительный срок службы конструкции — более 15–20 лет;
    • подходит при сложных клинических случаях.

    Особенности:

    • процедура проводится под анестезией, наркозом или седацией;
    • длится 30–50 минут;
    • период формирования новой кости — 3–6 месяцев;
    • имплант можно установить одновременно или после восстановления — в зависимости от исходного объёма.

    Почему этот этап важен

    После удаления зубов кость быстро теряет объём. Без синус-лифтинга имплант может не прижиться,или даже повредить пазуху, в случае его установки в верхнюю челюсть.

    Как проходит синус-лифтинг

    1. Консультация, диагностика и подготовка
    2. Проведение синус-лифтинга
    3. Контроль и дальнейшие этапы имплантации
    1 этап 1–1,5 часа

    Консультация, диагностика и подготовка

    • На первом приёме хирург-имплантолог оценивает состояние костной ткани челюсти, положение верхнечелюстных синусов и анатомические особенности пациента.
    • Проводится рентген-диагностика и КТ, при необходимости — с использованием технологий искусственного интеллекта для детальной оценки объёма кости и расчёта оптимального подхода.
    • После диагностики врач определяет, необходим ли открытый или закрытый синус-лифтинг, обсуждает возможные варианты восстановления кости и сроки установки импланта, подбирает материалы (мембрана, костный заменитель).
    • Составление индивидуального плана лечения с подробным поэтапным описанием и предварительной сметой.
    • Пациент получает рекомендации по подготовке: сдача анализов, исключение воспалений, профилактические меры.
    1–1,5 часа
    2 этап 45–90 минут

    Проведение синус-лифтинга

    • После анестезии хирург аккуратно создаёт доступ, безопасно поднимает мембрану синуса и формирует пространство для костного материала.
    • В зависимости от клинической ситуации выполняется закрытый синус-лифтинг через лунку импланта, если объём увеличения минимальный или открытый синус-лифтинг, если требуется значительное наращивание кости.
    • Далее в подготовленную область помещается костный материал. При достаточном объёме — сразу устанавливается имплант, при недостаточном — имплантация планируется после приживления.
    • Пациент получает рекомендации по уходу: ограничения на нагрузки, правила гигиены, назначение медикаментов.
     45–90 минут
    3 этап 15–30 минут

    Контроль и дальнейшие этапы имплантации

    • После синус-лифтинга проводятся регулярные осмотры, чтобы врач контролировал процесс приживления костного материала и состояние пазух.
    • На контрольных визитах оценивается динамика восстановления, при необходимости корректируются рекомендации.
    • Согласовывается срок установки импланта, если она не была выполнена сразу.
    • После формирования достаточного объёма костной ткани проводится имплантация и начинается этап протезирования.
    15–30 минут

    Цены на синус-лифтинг

    Стоимость синус-лифтинга зависит от нескольких факторов:

    1. Индивидуальной клинической картины
    2. Метода
    3. Необходимости предварительной подготовки
    Открытый

    Открытый

    • Анестезия
    • Аксессуары
    • Операция
    • Остеотропный препарат Bio-Oss
    • Мембрана Bio-Gide
    • Наложение швов
    • КТ снимок

    Консультация

    2 500 ₽

    2 000 ₽

    Синус-Лифтинг

    179 900 ₽

    176 900 ₽

    Итого за всё «под ключ»

    182 400 ₽ 178 900 ₽

    Закрытый

    Закрытый

    • Анестезия
    • Аксессуары
    • Операция
    • Наложение швов

    Консультация

    2 500 ₽

    2 000 ₽

    Синус-лифтинг

    32 200 ₽

    30 200 ₽

    Итого за всё «под ключ»

    34 700 ₽ 32 200 ₽

    Подробнее о ценах

    Плюсы синус-лифтинга в КДС

    Комфорт с первого визита

    • Вас встречает администратор, помогает с документами и сопровождает до кабинета. При необходимости сразу выполняем КТ, чтобы не терять время. Все этапы — в одной клинике.
    • Чёткий, понятный план — вы заранее знаете, какие этапы предстоят и в какие сроки будет проведена костная пластика и можно поставить имплант после синус-лифтинга сразу.
    • Хирург-имплантолог подробно объясняет ход процедуры, вы узнаете стоимость и прогноз результата.

    Что ещё важно?

    • Используем навигационные хирургические шаблоны и цифровое планирование для максимально точного результата.
    • Работаем только сертифицированными биоматериалами премиум-класса, которые хорошо приживаются и сохраняют объём кости.
    • После операции вы получаете индивидуальные рекомендации и бесплатные плановые осмотры.
    • Вмешательство проводится строго по международным протоколам на оборудовании экспертного класса.

    Основные показания к синус-лифтингу

    • Недостаток костной ткани для установки импланта

    Кость в боковом отделе челюсти часто бывает истончённой — особенно если зуб удалён давно. Синус-лифтинг восстанавливает необходимый объём.Подходит как при единичном отсутствии зуба, так и при необходимости восстановления всей жевательной группы.

    • Синус верхней челюсти расположен слишком низко

    Анатомическая особенность, при которой пазуха опускается, а высоты кости становится недостаточно для импланта. Врач поднимает мембрану и формирует устойчивую основу для будущей имплантации.

    • Потеря объёма кости после удаления зуба

    Чем дольше отсутствует зуб, тем больше уменьшается толщина кости. Синус-лифтинг позволяет восстановить её.

    Терапияв КДС

    Получите консультацию у экспертов КДС


    Позвонить в клинику
    Получите консультацию у экспертов КДС КДС

    Какие материалы мы применяем при синус-лифтинге

    В клинике КДС выбор костно-пластического материала проводится индивидуально — с учётом анатомии, объёма утраченной кости, планируемой нагрузки на имплант и сроков его установки.
    Главная задача — создать стабильный, прочный и безопасный костный объём, который обеспечит надёжную фиксацию имплантов.

    Ксеногенный материал (на основе натурального костного матрикса)

    Ксеногенный материал (на основе натурального костного матрикса)

    Биосовместимый материал, полученный из природной кости и очищенный от органических компонентов. Срок ремоделирования: от 6 до 9 месяцев.

    • Применяется при классическом и закрытом синус-лифтинге для формирования стабильного объёма.
    • Имеет высокую пористость, что улучшает приживление и формирование собственной костной ткани.
    • Минимизирует риск воспалительных реакций и обеспечивает прогнозируемый результат.
    • Подходит для восстановления больших объёмов.

    Аллопластический материал (синтетическая биокерамика)

    Аллопластический материал (синтетическая биокерамика)

    Современные полностью синтетические гранулы на основе гидроксиапатита и β-трикальцийфосфата. Срок интеграции: 4–6 месяцев.

    • Оптимальны при необходимости контролируемого и равномерного восстановления кости.
    • Не вызывают аллергии, полностью биосовместимы.
    • Обладают предсказуемой структурой и стабильной формой, что особенно важно для имплантации.
    • Помогают сохранить высоту и плотность кости в долгосрочной перспективе.

    Комбинированные материалы (смешанные составы)

    Комбинированные материалы (смешанные составы)

    Сочетают преимущества натуральной и синтетической кости. Срок формирования кости: 4–8 месяцев.

    • Используются в сложных случаях, когда нужно получить и прочность, и быстрое образование собственной кости.
    • Обеспечивают оптимальный баланс: стабильность объёма + активное остеообразование.
    • Ускоряют формирование костной ткани, уменьшая сроки ожидания имплантации.
    • Подходят пациентам с выраженной атрофией кости или длительным отсутствием зубов.

    Показания и противопоказания

    Синус-лифтинг — это современный хирургический метод увеличения объёма костной ткани в области верхней челюсти перед установкой имплантов. Процедура позволяет создать достаточную высоту кости под синусом, обеспечивая надежную фиксацию импланта. Как и любое вмешательство, синус-лифтинг имеет свои показания и противопоказания, которые обязательно учитываются при планировании лечения.

    Показания

    • Недостаточная высота костной ткани в области верхней челюсти для установки импланта.
    • Атрофия кости после длительного отсутствия зубов.
    • Подготовка к имплантации при планируемой установке нескольких имплантов.

    Противопоказания

    • Острые воспалительные процессы в полости рта (пародонтит, гайморит).
    • Серьёзные соматические заболевания, повышающие риск хирургического вмешательства.
    • Аллергия на используемые материалы или анестетики.

    В КДС синус-лифтинг выполняется с применением современных технологий и материалов. Мы индивидуально подбираем метод и объём операции, используя точные данные КТ. Какой вид синус-лифтинга провести, зависит от особенностей строения.

    Преимущества и ограничения

    Синус-лифтинг относится к полноценным хирургическим процедурам, поэтому появление выраженного отёка — нормальная реакция организма. Начиная с 4–5 дня их уровень постепенно снижается, и отёк идёт на убыль. Как правило, уже через неделю большая часть припухлости исчезает. Период восстановления после синус-лифтинга занимает примерно 10–14 дней. В это время важно соблюдать ряд ограничений, чтобы обеспечить правильное заживление и снизить риск осложнений.Список ограничений может показаться обширным, но все рекомендации носят временный характер и направлены на то, чтобы исключить инфицирование, смещение тканей и другие возможные осложнения. Правильное соблюдение рекомендаций обеспечивает быстрое и безопасное восстановление.

    Преимущества

    • Возможность установить импланты там, где раньше это было невозможно.
    • Увеличение объёма кости создаёт прочную опору, благодаря которой импланты устанавливаются надёжнее.
    • Достаточный объём костной ткани предотвращает расшатывание и потерю импланта.
    • При достаточном объёме кости проще добиться правильного положения импланта и коронки — что влияет на симметрию, линию улыбки и внешний вид.
    • Нет необходимости стачивать или травмировать соседние зубы, как при мостовидных протезах.
    • После имплантации пациент получает правильное распределение нагрузки и улучшение качества жизни.
    • Высокий процент приживаемости имплантов, синус-лифтинг значительно повышает шансы успешного остеоинтеграционного процесса.

    Ограничения

    • Нельзя чихать с закрытым ртом — при необходимости чихайте, не задерживая воздух.
    • Употребление напитков через трубочку лучше отложить.
    • Интенсивные физические нагрузки запрещены в течение месяца.
    • Нельзя посещать баню, сауну, бассейн, нырять и плавать с погружением.
    • Под запретом также авиаперелёты из-за перепадов давления.

    Стандарты проведения синус-лифтинга в нашей клинике:

    • Прозрачная диагностика и прогнозируемый результат до начала процедуры.
    • Минимизация рисков осложнений благодаря комплексной подготовке и планированию.
    • Комфорт и безопасность процедур с использованием анестезии и современных хирургических методик.
    • Долгосрочный эффект: надёжная костная база для имплантов, сохранение жевательной функции и эстетики протезирования.
    • Уверенность в выборе клиники и специалиста благодаря опыту команды и современному оборудованию.

    Мы придерживаемся строгих стандартов, потому что ценим доверие пациентов и понимаем, что синус-лифтинг — это не просто хирургическая процедура, а важный шаг для долгосрочного здоровья зубочелюстной системы и качества жизни.

    Совет врача:

    Какой вид синус-лифтинга проводить, зависит от анатомических особенностей синусов. У одного пациента пазуха может быть небольшой — тогда вмешательство вообще не требуется. У другого она бывает увеличенной и «пустой», из-за чего костной ткани недостаточно, и операция становится необходимой. Окончательное решение принимается только после КТ-диагностики. Во время реабилитации всегда возможно изменение динамики: после улучшения могут появиться настораживающие симптомы. К ним относятся усиливающаяся боль, неприятный запах изо рта, повышение температуры, кровотечение из раны, головная боль, выделение гнойной или серозной слизи. Если возникает хотя бы один из этих признаков — важно незамедлительно обратиться к врачу.

    Кобалия Васо Мерабович

    Кобалия Васо Мерабович

    Стоматолог-хирург, имплантолог

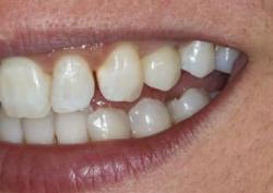
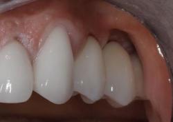
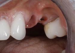
    Примеры работ синус-лифтинга

    Ежедневно мы восстанавливаем улыбку и уверенность в себе 5–7 пациентам.

    Гарантии в КДС

    Работаем строго по договору, соблюдаем все условия, гарантируем результат лечения и выдаем чеки на всю сумму.

    Гарантия до 100 лет

    На импланты от производителя

    Сервисное 
обслуживание до 2-х лет

    На работу врача

    Сервисное 
обслуживание до 2-х лет

    На коронки и протезы

    Гарантия честной цены

    Стоимость указана в договоре

    В клинике «КДС» гарантируем качество на каждом этапе протезирования — от подбора материалов до установки коронки. Каждая коронка проходит тщательную проверку, чтобы результат был безупречным.

    Гарантии в Клинике Доброго Стоматолога
    Консультация – первый шаг на пути к решению проблем с зубами!

    Консультация – первый шаг на пути к решению проблем с зубами!

    Звоните:

    +7 (812) 220-28-24

    Наши врачи-хирурги

    Наши специалисты — опытные челюстно-лицевые хирурги и имплантологи, которые регулярно проходят обучение, владеют современными методиками костной пластики и проводят синус-лифтинг любой сложности. Мы заботимся не только о надёжной установке имплантов, но и о безопасном восстановлении объёма кости.

    Почему нам доверяют:

    • Многолетний опыт проведения синус-лифтинга. Каждый врач выполняет десятки операций ежегодно, включая сложные случаи с выраженной атрофией кости.
    • Работа только с сертифицированными материалами. Используем биосовместимые и полностью проверенные костно-пластические материалы, которые обеспечивают прогнозируемое приживление и формирование необходимого объёма кости.
    • Индивидуальный расчёт объёма костного материала. Хирург заранее определяет, сколько ткани нужно восстановить, оценивает анатомию пазухи и подбирает оптимальную методику — открытую или закрытую.
    • Полное сопровождение пациента. От подготовки и диагностики до наблюдения после операции — мы контролируем каждый этап, чтобы процесс восстановления проходил комфортно и безопасно.
    • Сотни успешных имплантаций после синус-лифтинга. Пациенты отмечают устойчивость имплантов, быстрое восстановление и высокий уровень комфорта на всех этапах лечения.

    Работаем с учётом особенностей каждого пациента

    Мы тщательно оцениваем толщину костной ткани, степень атрофии, расположение соседних зубов и сопутствующие факторы. Такой подход позволяет точно определить необходимость синус-лифтинга и выбрать методику, которая обеспечит надёжную опору для импланта и долговечный результат.

    Мы учитываем:

    • состояние слизистой синуса верхней челюсти;
    • объём сохранившейся кости;
    • наличие воспалительных процессов;
    • индивидуальные особенности прикуса и улыбки;
    • пожелания пациента по срокам и виду имплантации.

    Благодаря этому пациент получает безопасное лечение и идеально подготовленную зону для установки импланта.

    Современные технологии — точность и безопасность

    Мы используем передовые методы диагностики и хирургии, позволяющие проводить синус-лифтинг максимально бережно и предсказуемо:

    • Точная 3D-диагностика (КТ). Объёмная визуализация позволяет увидеть высоту кости, анатомию пазухи, что делает операцию максимально безопасной.
    • Цифровое планирование операции. Хирург заранее моделирует объём костной ткани и этапы вмешательства, что снижает риски и сокращает длительность процедуры.
    • Навигационная хирургия. При необходимости используем хирургические шаблоны, повышающие точность установки импланта.
    • Минимально инвазивные техники. Закрытый синус-лифтинг может проводиться без разрезов, через канал импланта — это сокращает время заживления и снижает дискомфорт.
    • Биоматериалы нового поколения. Они ускоряют формирование новой костной ткани и обеспечивают надёжную фиксацию импланта.
    • Современные технологии позволяют выполнить операцию предсказуемо, безопасно и с минимальным восстановительным периодом.
    Кобалия Васо Мерабович

    Кобалия Васо Мерабович

    Стоматолог-хирург, имплантолог

    Прием по адресу:

    ул.Коллонтай, 17 к.2

    Аблов Федор Петрович

    Аблов Федор Петрович

    Стоматолог-хирург, имплантолог

    Прием по адресу:

    Коломяжский проспект, 20
    ул.Коллонтай, 17 к.2
    пр.Народного Ополчения, 10

    Овакимян Сурен Варданович

    Овакимян Сурен Варданович

    Стоматолог-ортопед

    Прием по адресу:

    ул.Коллонтай, 17 к.2

    Смотреть всех врачей

    Почему пациенты выбирают КДС

    Этичный медицинский подход. Используем только те технологии и методики лечения, которые предложили бы своим близким.

    Опытные врачи. Ваше здоровье в надёжных руках специалистов, которые не только постоянно повышают квалификацию, но и обучают коллег.

    Прозрачные условия. Фиксированная стоимость лечения и понятная этапность без скрытых доплат.

    Восстановление и реабилитация после синус-лифтинга

    Кобалия Васо Мерабович

    Грамотная реабилитация — ключ к успешному формированию костной ткани и надёжной установке импланта. Соблюдение рекомендаций врача помогает избежать осложнений и ускорить восстановление.

    стаж 10 лет

    Кобалия Васо Мерабович

    Стоматолог-хирург, имплантолог

    01

    Аккуратная гигиена полости рта

    Чистите зубы мягкой щёткой, избегая зоны операции первые дни, чтобы не травмировать ткани. Используйте антисептические ополаскиватели по рекомендации врача — это снижает риск воспаления и поддерживает чистоту вокруг операционной области. Ирригатор и флоссы временно исключаются, чтобы не создавать давление в зоне вмешательства.
    02

    Контроль питания

    Соблюдайте щадящую диету: избегайте горячей, острой, слишком холодной, твёрдой пищи, которая может повредить сформированный сгусток. Не жуйте на стороне операции до разрешения врача. Выбирайте мягкие блюда комфортной температуры — это облегчает заживление и снижает нагрузку на верхнюю челюсть.
    03

    Регулярные визиты к врачу

    Плановые осмотры и контрольные снимки позволяют оценить состояние мягких тканей, динамику восстановления кости и своевременно обнаружить возможные осложнения. Врач корректирует рекомендации, контролирует приём назначенных препаратов и отслеживает процесс заживления, обеспечивая безопасную подготовку к имплантации.

    Отзывы о КДС

    Часто задаваемые вопросы о лечении зубов

    01

    Можно ли ставить имплант без синус-лифтинга?

    Да, если высота костной ткани достаточна для надежной фиксации импланта. При выраженной атрофии операция необходима для долгосрочной стабильности.
    02

    В каких случаях нужен синус-лифтинг при имплантации зубов?

    Когда костной ткани недостаточно под синусом (гайморовой пазухой), чтобы безопасно установить имплант. Также операция показана при длительном отсутствии зуба, атрофии кости или необходимости восстановления жевательной функции.
    03

    Больно ли делать синус-лифтинг?

    Процедура проводится под местной анестезией или с седацией, поэтому пациенты практически не ощущают боли во время операции. После вмешательства возможен умеренный дискомфорт и отёк, который проходит в течение недели.
    04

    Какие риски и возможные осложнения связаны с процедурой синус-лифтинга?

    Редко встречаются кровотечение, инфицирование, повреждение слизистой синуса, отёк или временная болезненность. Соблюдение рекомендаций врача снижает риски до минимума.
    05

    Как долго длится процесс восстановления после синус-лифтинга?

    В среднем 10–14 дней, в течение которых важно соблюдать ограничения в питании, гигиене и физической активности. Полное формирование костной ткани занимает несколько месяцев перед установкой импланта.
    06

    Сколько времени пройдёт между синус-лифтингом и установкой имплантов?

    Зависит от объёма наращенной кости и метода операции: закрытый синус-лифтинг позволяет установить имплант сразу, открытый — обычно через 4–6 месяцев после заживления.
    07

    Каковы шансы успешного приживления имплантов после синус-лифтинга?

    При соблюдении всех рекомендаций и использовании качественных материалов вероятность успешной остеоинтеграции очень высокая — около 95–98%.
    08

    Как подготовиться к операции синус-лифтинга?

    Необходимо пройти КТ, консультацию врача, сдать анализы, исключить острые воспалительные процессы в полости рта. Врач даст рекомендации по питанию и приему препаратов перед процедурой.
    09

    Есть ли противопоказания для синус-лифтинга?

    Да, это острые воспалительные процессы (гайморит, пародонтит), серьёзные соматические заболевания, нарушения свертываемости крови, аллергия на материалы или анестезию. Все противопоказания оценивает врач при первичной консультации.
    010

    Сколько держится отёк и сохраняется дискомфорт после синус-лифтинга?

    Отёк и лёгкая болезненность обычно достигают пика на 2–3 день после операции и постепенно снижаются. Как правило, через 7–10 дней большинство симптомов проходят, особенно при соблюдении всех рекомендаций врача.

    Европейское качество по разумной цене!

    Коломяжский проспект, 20

    +7 (812) 561-03-37

    с 09:00 до 21:00

    без выходных

    ул.Коллонтай, 17 к.2

    +7 (812) 614-11-45

    с 09:00 до 21:00

    без выходных

    пр.Народного Ополчения, 10

    +7 (812) 270-30-68

    с 09:00 до 21:00

    без выходных

    Телефон: +7 (812) 250-99-31

    E-mail: ask@kdc-spb.ru

    Контакты Клиники Доброго Стоматолога