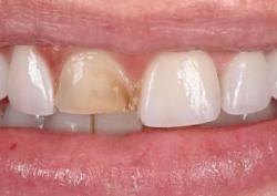
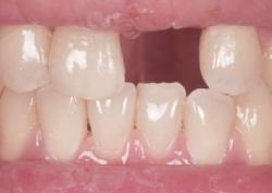
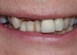
На первом приёме мы подробно оцениваем состояние полости рта, чтобы понять, какие решения подойдут именно вам.
- Врач осматривает зубы, десны и костную ткань, оценивает прикус и функциональность жевательного аппарата.
- Для всех видов протезирования проводятся рентген и, при необходимости, КТ для точной диагностики.
- Выполняется цифровое моделирование и фотопротокол: сканирование или снятие слепков для изготовления коронки, моста, микропротеза или винира.
- Составляется индивидуальный план лечения с учётом пожеланий пациента, состояния зубов и функциональных особенностей.
- Для протезирования на имплантах дополнительно оценивается объём костной ткани и необходимость предварительной костной пластики.




