Врач осматривает зубы и десны, обсуждает пожелания пациента, проводит фотопротокол, цифровое сканирование и оценивает прикус. В КДС именно диагностика и планирование улыбки вынесены в обязательный первый этап перед установкой виниров.



Ультратонкие виниры – это тонкие накладки для передних зубов, которые применяют в эстетической стоматологии для мягкой коррекции улыбки. Их задача – скрыть небольшие дефекты цвета, формы, края зуба или промежутки между зубами, не перегружая улыбку избыточным объемом. Виниры обычно имеют очень небольшую толщину и могут устанавливаться с минимальной или нулевой обточкой в подходящих клинических случаях. Толщина ультратонких виниров может доходить до 0,1–0,3 мм, а основная идея метода – деликатное вмешательство с высоким эстетическим результатом.
Для пациентов такой вариант особенно интересен тогда, когда хочется улучшить улыбку без грубого препарирования зубов. Но важно понимать: ультратонкие виниры подходят не всем подряд. Хороший результат зависит от исходного цвета зубов, прикуса, наличия старых пломб и того, насколько выражены дефекты. Именно поэтому в КДС сначала проводят диагностику, а уже потом предлагают конкретный вариант виниров.
Главное отличие – в толщине и объеме вмешательства. Классические виниры чаще позволяют перекрывать более выраженные эстетические дефекты, сильнее менять форму зубов и закрывать более темный исходный оттенок. Ультратонкие виниры работают деликатнее: они тоньше, естественно смотрятся в улыбке и в подходящих случаях требуют меньшего препарирования. Именно поэтому они особенно ценятся за естественность и аккуратный переход к собственным тканям зуба.
Есть и второе важное отличие. Из-за небольшой толщины ультратонкие виниры не всегда могут перекрыть выраженную пигментацию, крупные старые пломбы, сильную кривизну или серьезные дефекты положения зубов. В таких случаях врач может рекомендовать классические керамические виниры или другой метод эстетического восстановления. Поэтому выбирать между ультратонкими и классическими винирами нужно не по названию, а по показаниям.
Это наиболее востребованный и эстетически сильный вариант. Такие виниры изготавливают в лаборатории, тщательно подбирают по форме, оттенку и прозрачности. Именно керамика чаще всего ассоциируется с ультратонкими реставрациями, потому что она хорошо передает цвет, долго сохраняет внешний вид и позволяет получить очень естественный результат.
Композитный вариант обычно рассматривают как более доступную и более быструю альтернативу. Он может использоваться для точечной коррекции формы и цвета, особенно если задача небольшая и ее можно решить прямой реставрацией. Однако по стойкости цвета и долговечности керамика обычно выигрывает.
Срок службы зависит от материала, точности фиксации, состояния прикуса, привычки скрежетать зубами и качества ухода. Керамические виниры в среднем служат 10–15 лет и дольше при правильном уходе.
Пациентам важно понимать: виниры не стареют строго по календарю. На их состояние влияют привычка открывать зубами упаковки, любовь к очень твердой пище, бруксизм, качество домашней гигиены и регулярность осмотров. Поэтому правильнее говорить не только о сроке службы, но и о грамотном наблюдении после установки.
В КДС виниры устанавливают по цифровому протоколу с предварительной диагностикой, фотопротоколом, моделированием улыбки и оценкой прикуса. Клиника акцентирует внимание на минимальном препарировании, современных керамических системах, примерке будущей формы до начала основной работы и полном ведении пациента внутри одной команды.
Преимущества КДС:
Врач осматривает зубы и десны, обсуждает пожелания пациента, проводит фотопротокол, цифровое сканирование и оценивает прикус. В КДС именно диагностика и планирование улыбки вынесены в обязательный первый этап перед установкой виниров.
На этом этапе согласовывают форму, длину, оттенок и общий образ будущих реставраций. В КДС используют цифровое моделирование улыбки, а также предварительную примерку будущей формы до финального изготовления.
В зависимости от клинической ситуации проводится щадящее препарирование или работа без выраженной обточки. Именно этот этап особенно важен при ультратонких винирах, потому что здесь нужно сохранить максимум тканей и при этом подготовить зуб к точной фиксации.
После подготовки зубов снимают цифровые данные, а затем изготавливают реставрации. Перед окончательной фиксацией врач проверяет посадку, форму, симметрию и то, как виниры выглядят в улыбке.
Готовые виниры фиксируют с применением адгезивных технологий, после чего проверяют контакты, эстетику и комфорт смыкания. Пациент получает рекомендации по уходу и графику контрольных осмотров.
Важно. Ультратонкие виниры ценят именно за щадящий подход. Но это не значит, что их можно ставить всегда. Иногда более правильным решением будут классические керамические виниры, ортодонтическое лечение или другая реставрация. Гораздо лучше честно выбрать подходящий метод, чем пытаться решить сложную задачу слишком тонкой конструкцией.
Стоимость установки виниров зависит от нескольких факторов:
12 000 ₽
10 000 ₽
Итого за всё «под ключ»
12 000 ₽ 10 000 ₽
53 000 ₽
49 500 ₽
Итого за всё «под ключ»
53 000 ₽ 49 500 ₽
Не выбирайте ультратонкие виниры только потому, что они звучат как самый щадящий вариант. Для одной улыбки это действительно идеальное решение, а для другой – слишком деликатное. Намного правильнее сначала понять, что именно вы хотите изменить: цвет, форму, промежутки, длину зубов или всю линию улыбки. Лучший результат обычно получается тогда, когда сначала идет диагностика, а уже потом выбор метода.
Стоматолог-ортопед
Пациент:
Максим, 34 года
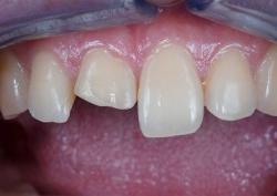
Жалобы пациента:
скол на резце, высокая стираемость, матовый тусклый цвет эмали.
Что делали:
Результат:
восстановлена высота зубов, устранены сколы, улучшена функция и эстетика.
Пациент:
Марина, 28 лет
Жалобы пациента:
потемневшие пломбы, неровный цвет и контур зубов, неэстетичная форма резцов
Что делали:
Результат:
получена ровная, натуральная и светлая линия улыбки, улучшена форма зубов и симметрия, полностью устранена проблема тёмных пломб.
Пациент:
Елена, 34 года
Жалобы пациента:
неоднородный цвет эмали, небольшая скученность зубов.
Что делали:
Результат:
зубы приобрели натуральную форму, улыбка стала более гармоничной.
Используем только премиальные керамические системы.
Каждый этап проходит под контролем опытных специалистов.
Используем цифровое 3D-сканирование, фотопротокол и моделирование улыбки.
При соблюдении рекомендаций по уходу виниры служат 10–15 лет и дольше.
Гарантия в КДС в 2 раза выше, чем требует Минздрав РФ
Звоните:
В КДС установкой виниров занимаются стоматологи-ортопеды, которые работают в связке с зубным техником и планируют результат не только по цвету, но и по прикусу, форме лица и общей гармонии улыбки. В клинике практикуется полный цикл работы: от диагностики и цифрового планирования до окончательной фиксации.
Для пациента из Санкт-Петербурга это удобно тем, что основные этапы лечения проходят внутри одной клиники. Не нужно отдельно искать врача для консультации, затем техника, а потом еще одну площадку для фиксации. Такой формат особенно важен в эстетической стоматологии, где результат зависит от точности на каждом этапе.
Старший стоматолог-ортопед, врач высшей категории
Коломяжский проспект, 20
пр.Народного Ополчения, 10
Этичный медицинский подход. Используем только те технологии и методики лечения, которые предложили бы своим близким.
Опытные врачи. Ваше здоровье в надёжных руках специалистов, которые не только постоянно повышают квалификацию, но и обучают коллег.
Прозрачные условия. Фиксированная стоимость лечения и понятная этапность без скрытых доплат.

После установки ультратонких виниров важно сохранить результат надолго. Несколько простых правил действительно помогают продлить срок службы реставраций.
Окунев Павел Юрьевич
старший стоматолог-ортопед, врач высшей категории
Екатерина
+7-910-8ХХ-ХХ-ХХ
Долго искала клинику, где можно одновременно решить все проблемы с зубами — и кариес, и протезирование. В КДС составили полный план лечения, объяснили каждый шаг, а врачи сделали всё максимально комфортно. Здесь чувствуешь себя в надёжных руках.
Алексей
+7-917-5ХХ-ХХ-ХХ
Мне проводили имплантацию и протезирование «всё на 4». Сначала было страшно, но команда хирургов и ортопедов всё объяснила и оказала моральную поддержку. Результат превзошёл ожидания — чувствую себя прекрасно с новой улыбкой.
Марина
+7-916-8ХХ-ХХ-ХХ
Привела ребёнка на ортодонтическое лечение. Очень боялась, что будет трудно его убедить в необходимости установки брекетов, но врачи нашли индивидуальный подход: объясняли всё по шагам, использовали современные методы адаптации детей к осмотру. Сейчас сын спокойно носит брекеты, посещает приемы, а результат уже виден!
Сергей
+7-910-4ХХ-ХХ-ХХ
Долго откладывал лечение дисфункции височно-нижнечелюстного сустава, пока не обратился в КДС. В клинике провели комплексную диагностику, сделали сплинты, ортопедическую подготовку и протезирование. После курса лечения исчезли боли и щелчки, и я снова могу нормально жевать.
Алина
+7-906-6ХХ-ХХ-ХХ
Хочу поблагодарить команду КДС за профессионализм и честность. Когда предлагались методы, которые могли бы быть сомнительными, врачи честно объяснили риски и предложили лучшее решение. Чувствуется, что заботятся о пациентах, а не просто о доходе.
Иван
+7-915-5ХХ-ХХ-ХХ
Мне удаляли зубы мудрости под седацией. Процедура прошла абсолютно спокойно, а врачи всё объяснили ещё до наркоза. После лечения ни боли, ни неприятных ощущений. Очень удобно, что здесь комплексный подход — сразу делают всё, что нужно, без лишних визитов.