Перед началом лечения врач проводит:
- осмотр полости рта,
- рентгеновскую диагностику,
- оценку прикуса,
- анализ состояния корня зуба и десны.
Если лечение не проводилось — требуется коррекция кариеса, пломбирование корневых каналов.



Разрушение зубов — широко распространенная стоматологическая проблема. Поражения могут быть результатом запущенного кариеса или травм. При нарушении целостности даже одного зуба — страдает вся зубочелюстная система. Нарушается прикус, жевательная функция.
Стоматология предлагает ряд решений. При разрушении одного зуба — шире всего применяются коронки. Их изготавливают из различных материалов. Все они отличаются разными сроками службы, уровнем комфорта и эстетики.
Установка коронки из стеклокерамики E-max — один из современных способов, который позволяет восстановить разрушенный зуб. Применяют способ и для восстановления ослабленных зубов, которые невозможно реставрировать иными способами. Методика позволяет добиться качественного результата. После лечения в кабинете стоматолога, восстановления — зуб выглядит максимально естественно и служит долгие годы.
Если дефект существенный — обычной реставрации зачастую недостаточно. Коронка позволяет полностью «покрыть» зуб, восстановить его форму, цвет и функцию.
Коронки делают из стеклокерамики на основе дисиликата лития. Они отличаются хорошей эстетикой и устойчивостью к нагрузкам. Кроме того — плотно прилегают к собственным тканям зуба. Это важно — герметичность позволяет предотвратить развития кариеса под коронкой.
E-max почти не отличается от собственных зубов. Стеклокерамический материал хорошо пропускает свет, благодаря чему повторяет природную прозрачность эмали.
Коронки из стеклокерамического материала подходят для коррекции в большинстве ситуаций. Их широко используют для устранения дефектов как в зоне улыбки, так и в области жевательных зубов (в меньшей степени). Что немаловажно — они полностью безопасны, не содержат металла. Также не провоцируют изменения оттенка десны и нежелательных реакций.
Коронка E-max представляет собой безметалловую ортопедическую конструкцию. Ее изготавливают из стеклокерамики. Это современный, проверенный материал. Он сочетает высокую прочность и естественную светопроницаемость. Отличается хорошей эстетикой. Коронка хорошо выдерживает жевательную нагрузку, при этом выглядит как настоящий зуб.
Можно выделить несколько особенностей материала и ортопедических изделий из него:
Коронки из материала E-max позволяют восстановить зуб и все его функции, отличаются хорошей эстетикой. Однако плохо переносят слишком высокие жевательные нагрузки.
Перед началом лечения врач проводит:
Если лечение не проводилось — требуется коррекция кариеса, пломбирование корневых каналов.
Зуб осторожно препарируют. Врач стачивает небольшой слой эмали для дальнейшей фиксации коронки. Современный подход щадящий. Благодаря ему можно сохранить большой объем здоровых тканей.
Когда первичная подготовка закончена — стоматолог снимает слепок или назначает трехмерное сканирование. Коронку делают индивидуально, в зуботехнической лаборатории по анатомическим параметрам пациент и его зубочелюстной системы.
Пока изготавливается постоянная конструкция (обычно этот процесс занимает 5–10 дней), устанавливают временную коронку. Она защищает ткани и сохраняет эстетику, временно замещает функции зуба.
Готовую коронку примеряют, проверяют прикус, цвет и плотность прилегания. После согласования с пациентом коронка фиксируется на специальный стоматологический цемент.
E-max можно считать оптимальным выбором, когда нужно сочетание эстетики и долговечности, но есть определенные ограничения. Абсолютных противопоказаний к восстановлению (то есть таких, которые исключают установку коронки) не существует. Относительные противопоказания (ситуации, когда нужно сначала устранить проблему) существуют, но их не так много. После правильной подготовки лечение возможно.
Коронка E-max не требует сложного или особенного ухода. Главное — соблюдать базовые правила, которые помогают сохранить здоровье зубов и десен.
Показана ежедневная гигиена. Она включает ряд моментов.
Важен не только самостоятельный, но и профессиональный уход. Показаны:
Если есть привычка скрежетать зубами, наблюдается бруксизм — врач может рекомендовать ночную защитную капу. Ношение специальной конструкции значительно снижает нагрузку на коронку.
При соблюдении этих рекомендаций коронка E-max может служить 10–15 лет и более без потери эстетики и функций.
Цена установки коронок зависит от нескольких факторов:
Консультация
2 300 ₽
2 000 ₽
Коронка
45 000 ₽
40 000 ₽
Итого за всё «под ключ»
47 300 ₽ 42 000 ₽
Консультация
2 300 ₽
2 000 ₽
Коронка
50 000 ₽
47 000 ₽
Итого за всё «под ключ»
52 300 ₽ 49 000 ₽
Консультация
2 300 ₽
2 000 ₽
Коронка
50 000 ₽
47 000 ₽
Итого за всё «под ключ»
52 300 ₽ 49 000 ₽
Пациент:
Андрей, 45 лет
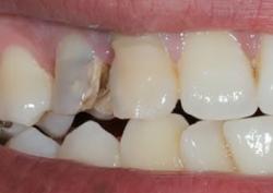
Жалобы пациента:
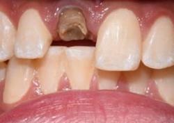
разрушение жевательного зуба.
Что делали:
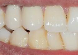
Результат:
восстановлена жевательная функция, коронка устойчива к нагрузкам.
Пациент:
Марина, 38 лет
Жалобы пациента:
старая коронка потемнела, появился дискомфорт при прикусе.
Что делали:
Результат:
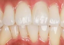
эстетика восстановлена, прикус корректен, пациент отмечает комфорт при жевании и улыбке.
Пациент:
Анна, 35 лет
Жалобы пациента:
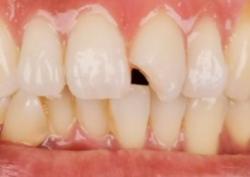
скол и потемнение переднего зуба после старого пломбирования, нарушение эстетики улыбки.
Что делали:
Результат:
полностью восстановлена форма и цвет зуба, коронка не отличается от естественных, пациентка отметила, что «улыбка снова выглядит естественно, как раньше».
Бесплатное сервисное обслуживание в течение 2 лет после процедуры.
Проведём замену коронки или протеза в случае повреждения.
Цена в договоре окончательная. Никаких скрытых платежей или неожиданных доплат.
Перед началом лечения вы получите подробный план с этапами работы и сроками – никаких неожиданностей.
В клинике «КДС» гарантируем качество на каждом этапе протезирования — от подбора материалов до установки коронки. Каждая коронка проходит тщательную проверку, чтобы результат был безупречным.
Звоните:
«КДС» предлагает грамотный подход к лечению и внимательное отношение к каждому пациенту. Мы верим, что бережное отношение и высокое качество стоматологической помощи имеют решающее значение. Среди преимуществ нашего стоматологического центра:
Кроме того, гарантируем полную безопасность, отсутствие рисков на всех этапах лечения.
Старший стоматолог-ортопед, врач высшей категории
Коломяжский проспект, 20
пр.Народного Ополчения, 10
Этичный медицинский подход. Используем только те технологии и методики лечения, которые предложили бы своим близким.
Опытные врачи. Ваше здоровье в надёжных руках специалистов, которые не только постоянно повышают квалификацию, но и обучают коллег.
Прозрачные условия. Фиксированная стоимость лечения и понятная этапность без скрытых доплат.
Екатерина
+7-910-8ХХ-ХХ-ХХ
Долго искала клинику, где можно одновременно решить все проблемы с зубами — и кариес, и протезирование. В КДС составили полный план лечения, объяснили каждый шаг, а врачи сделали всё максимально комфортно. Здесь чувствуешь себя в надёжных руках.
Алексей
+7-917-5ХХ-ХХ-ХХ
Мне проводили имплантацию и протезирование «всё на 4». Сначала было страшно, но команда хирургов и ортопедов всё объяснила и оказала моральную поддержку. Результат превзошёл ожидания — чувствую себя прекрасно с новой улыбкой.
Марина
+7-916-8ХХ-ХХ-ХХ
Привела ребёнка на ортодонтическое лечение. Очень боялась, что будет трудно его убедить в необходимости установки брекетов, но врачи нашли индивидуальный подход: объясняли всё по шагам, использовали современные методы адаптации детей к осмотру. Сейчас сын спокойно носит брекеты, посещает приемы, а результат уже виден!
Сергей
+7-910-4ХХ-ХХ-ХХ
Долго откладывал лечение дисфункции височно-нижнечелюстного сустава, пока не обратился в КДС. В клинике провели комплексную диагностику, сделали сплинты, ортопедическую подготовку и протезирование. После курса лечения исчезли боли и щелчки, и я снова могу нормально жевать.
Алина
+7-906-6ХХ-ХХ-ХХ
Хочу поблагодарить команду КДС за профессионализм и честность. Когда предлагались методы, которые могли бы быть сомнительными, врачи честно объяснили риски и предложили лучшее решение. Чувствуется, что заботятся о пациентах, а не просто о доходе.
Иван
+7-915-5ХХ-ХХ-ХХ
Мне удаляли зубы мудрости под седацией. Процедура прошла абсолютно спокойно, а врачи всё объяснили ещё до наркоза. После лечения ни боли, ни неприятных ощущений. Очень удобно, что здесь комплексный подход — сразу делают всё, что нужно, без лишних визитов.