+7 (812) 426-00-00
Записаться на приём
Записаться на приём

    Записаться на прием
    Как к Вам обращаться?
    Контактный телефон
    Какая клиника предпочтительней?
    Ваша заявка принята
    Спасибо за обращение в клинику "КДС".
    Администратор клиники перезвонит вам после получения заявки в течении 1 часа

    Костная пластика

    Восстановление объёма кости даже в самых сложных случаях

    Применяем качественное обезболивание и седацию во время операции

    Используем проверенные остеопластические материалы последнего поколения: Bio-Oss, Bio-Gide и другие

    Направленная костная регенерация — от 65 000 ₽
    Расщепление альвеолярного гребня — от 62 000 ₽

    Костная пластика
    Медицинская
    информация
    достоверна!
    Кобалия Васо Мерабович
    Опубликовано
    2026-03-11
    На чтение
    11 мин
    Обновлено
    2026-04-20
    Просмотров
    577

    Остеопластика в КДС

    Восстановим объём костной ткани перед имплантацией для надёжной фиксации импланта

    Костная пластика (остеопластика) — это процедура по увеличению или восстановлению объёма кости в тех случаях, когда её недостаточно для установки импланта. Атрофия костной ткани — частое последствие травматичного удаления зуба, наличия очагов хронической одонтогенной инфекции или длительного ношения съёмных протезов. Если в течение 3-6 месяцев не установлен имплант, то в связи отсутствием правильной нагрузки во время жевания, происходит уменьшение объема костной ткани до 30-50% и дальнейшая имплантация без костной пластики невозможна.

    Костная пластика позволяет восстановить необходимый объём кости, создать правильную анатомическую форму альвеолярного гребня и подготовить место для имплантации. Чтобы точно оценить состояние костной ткани, мы проводим компьютерную томографию — её можно пройти прямо в клинике. На основе КТ врач определяет тип дефекта, толщину и высоту кости, выбирает метод восстановления и объём материалов. Процедура проводится под местной анестезией, седацией или наркозом. Используемые остеопластические материалы безопасны, биосовместимы и постепенно замещаются собственной костной тканью пациента. В результате формируется прочный, естественный костный массив, который обеспечивает долгосрочную стабильность импланта.

    Как проходит костная пластика в КДС

    Мы работаем по современному протоколу регенерации кости, где каждый этап контролируется хирургом и подтверждается диагностикой.

    1. Предварительная диагностика — точная оценка костной ткани в области отсутствующих зубов. Врач проводит осмотр, выполняет КТ. Это позволяет определить толщину, высоту и плотность костной ткани, выявить дефекты и спланировать вмешательство так, чтобы оно было максимально безопасным и предсказуемым.
    2. Составление индивидуального плана лечения. План подбирается персонально: учитываются анатомия, выраженность атрофии, будущая позиция импланта, сроки, комфорт пациента и его пожелания. Мы заранее обсуждаем объём вмешательства, количество материала, сроки восстановления и полную стоимость.
    3. Проведение костной пластики. В зависимости от клинической ситуации применяются разные методики: направленная костная регенерация (НКР); увеличение ширины гребня (расщепление); вертикальная и горизонтальная аугментация; восстановление кости в области удалённого зуба (заполнение лунки костным материалом); использование мембран, блоков, остеопластических материалов. Мы применяем только сертифицированные, полностью биосовместимые материалы — Bio-Oss, Bio-Gide и их аналоги. Процедура проходит под местной анестезией или седацией.
    4. Формирование новой костной ткани. Материал постепенно интегрируется и замещается собственной костью. Процесс регенерации обычно занимает от 3 до 6 месяцев. После достижения нужного объёма выполняется имплантация. В ряде случаев возможно одномоментное проведение костной пластики и установки импланта.

    Мы сопровождаем пациента на протяжении всего периода восстановления, проводим контрольные осмотры и КТ, чтобы убедиться, что кость сформировалась правильно и полностью готова к имплантации. Мы не просто «наращиваем кость» — мы создаём надёжный, биологически полноценный фундамент для качественной и долгосрочной имплантации. Такой подход обеспечивает предсказуемый результат, безопасную регенерацию кости.

    Почему пациенты выбирают костную пластику в КДС

    • Полное ведение «под ключ». Диагностика, костная пластика и имплантация проходят в одной клинике, под контролем единой команды специалистов.
    • Хирурги-имплантологи с опытом более 15 лет. Наши врачи ежедневно выполняют костные реконструкции, включая сложные случаи выраженной атрофии.
    • Современные биосовместимые материалы. Используем проверенные остеопластические системы с высокой степенью приживления — безопасные, гипоаллергенные и предсказуемые.
    • Минимум боли и стресса. Точные хирургические техники и современная анестезия обеспечивают комфорт во время операции. Пациенты отмечают отсутствие боли во время и после процедуры.
    • Цифровой контроль на каждом этапе КТ. Позволяет заранее рассчитать объём костной ткани и разместить имплант идеально.
    • Прозрачная стоимость. Перед началом лечения мы составляем полную смету и фиксируем стоимость.
    • Возможность восстановления даже при тяжёлой атрофии. Мы успешно проводим костную пластику при всех типах дефектов — от небольших до комплексных, включая случаи, когда пациентам ранее отказывали в имплантации.

    Методы костной пластики

    В нашей клинике костная пластика проводится только после тщательной диагностики: мы выполняем КТ, оцениваем объём, плотность и форму кости, определяем тип дефекта и возможность одномоментной установки импланта. Метод восстановления подбирается индивидуально — с учётом анатомии, степени атрофии, будущей позиции импланта и особенностей прикуса.
    Костная пластика необходима, когда собственная кость не может обеспечить надёжную фиксацию импланта. Атрофия может возникать после удаления зуба, хронического воспаления, кисты, траумы или длительного отсутствия жевательной нагрузки. Современные остеопластические материалы биосовместимы, безопасны и полностью интегрируются с собственными тканями. Они формируют прочную костную структуру, которую невозможно отличить от естественной.

    Направленная костная регенерация (НКР)

    Направленная костная регенерация (НКР)

    Направленная костная регенерация применяется, когда необходимо восстановить небольшой объём кости — либо в ширину, либо в высоту. Врач очищает область, устанавливает остеопластический материал и фиксирует его под специальной мембраной (резорбируемой или титаново-армированной), которая удерживает форму и предотвращает прорастание мягких тканей.

    Подходит, если:

    • требуется восстановить локальный дефект;
    • не хватает 1–3 мм кости; – планируется установка импланта в стандартной позиции;
    • нужно сгладить неровности или заполнить полость после удаления зуба.

    Преимущества:

    • малотравматичная техника;
    • быстрая регенерация кости;
    • возможность одномоментной имплантации в ряде случаев;
    • высокая предсказуемость результата.

    Особенности:

    • проводится под местной анестезией или седацией;
    • мембрана удерживает форму и предотвращает смещение материала;
    • период регенерации — 3–4 месяца.

    Увеличение ширины альвеолярного гребня (расщепление гребня)

    Увеличение ширины альвеолярного гребня (расщепление гребня)

    Метод применяется, когда кость слишком узкая для установки импланта. Врач аккуратно расщепляет гребень, создаёт пространство и заполняет его остеопластическим материалом. После этого кость расширяется до необходимой для имплантации толщины.

    Подходит, если:

    • высота кости достаточная, но ширина менее 3–4 мм;
    • требуется установить имплант стандартного диаметра;
    • важна возможность одномоментной имплантации.

    Преимущества:

    • создание оптимальной ширины кости за один визит;
    • минимальная травматичность;
    • высокая стабильность результата;
    • часто можно установить имплант сразу.

    Особенности:

    • процедура под местной анестезией или седацией;
    • занимает 30–40 минут;
    • восстановление  составляет 3–6 месяцев при раздельном проведении.

    Костная пластика лунки после удаления зуба

    Костная пластика лунки после удаления зуба

    Метод применяется сразу после удаления зуба, чтобы предотвратить потерю объёма кости (которая может составить до 30–50% за первые месяцы). Врач заполняет лунку остеопластическим материалом и закрывает мембраной. Это сохраняет анатомию гребня и обеспечивает оптимальные условия для дальнейшей имплантации.

    Подходит, если:

    • зуб удаляется из-за кисты, инфекции или травмы;
    • планируется имплантация в ближайшие 3–6 месяцев;
    • важно сохранить естественную форму гребня.

    Преимущества:

    • предотвращает атрофию кости;
    • сокращает сроки подготовки к имплантации;
    • обеспечивает идеальную позицию будущего импланта.

    Особенности:

    • проводится одновременно с удалением;
    • реабилитация — 2–3 месяца;
    • позволяет избежать более сложных методик в будущем.

    Костная пластика формирует надёжный фундамент для импланта — плотный, стабильный и анатомически правильный. Это повышает долговечность конструкции, улучшает эстетику и обеспечивает предсказуемый результат на десятилетия.

    Как проходит костная пластика

    1. Консультация, диагностика и подготовка
    2. Проведение костной пластики
    3. Контроль и дальнейшие этапы имплантации
    1 этап 1–1,5 часа

    Консультация, диагностика и подготовка

    • На первичном приёме хирург-имплантолог оценивает объём, плотность и анатомию костной ткани, положение нервных структур, особенности прикуса и планируемой имплантации.
    • Проводится рентген-диагностика и КТ для точного определения объёма потерь и выбора оптимальной методики: НКР, аугментация, расщепление гребня или пластика лунки.
    • После диагностики врач определяет, какой вид костной пластики необходим, какие материалы и мембраны подойдут лучше всего, какие сроки регенерации ожидаются.
    • Пациенту предоставляется индивидуальный план лечения с поэтапным описанием, сроками восстановления и предварительной сметой.
    • Пациент получает рекомендации по подготовке: сдача анализов, исключение воспалений, санация полости рта, меры профилактики и режим перед процедурой (еда, приём препаратов, ограничения).
    1–1,5 часа
    2 этап 45–90 минут

    Проведение костной пластики

    • После анестезии или седации хирург аккуратно создаёт доступ и выполняет выбранный метод костной пластики: установка остеопластического материала под мембрану; расширение узкого гребня и формирование пространства для материала; восстановление больших объёмов кости; пластика лунки.
    • В подготовленную область помещается остеопластический материал (Bio-Oss, Cerabone, мембраны Bio-Gide и др.), который формирует будущую кость. Если объём позволяет — имплант устанавливается одномоментно. Если исходной ткани недостаточно — имплантация планируется после формирования собственной кости.
    • После завершения процедуры пациент получает рекомендации по уходу: режим нагрузки, ограничения, правила гигиены, назначение противовоспалительных и антисептических препаратов, питание в первые дни.
    45–90 минут
    3 этап 15–30 минут

    Контроль и дальнейшие этапы имплантации

    • После костной пластики проводятся регулярные контрольные осмотры для оценки процесса регенерации и стабильности кости.
    • На визитах врач отслеживает динамику восстановления по клинической картине и снимкам, при необходимости корректирует рекомендации и график нагрузок.
    • После формирования необходимого объёма кости (обычно 3–6 месяцев) согласовывается дата установки импланта, если имплантация не была проведена сразу.
    • После установки импланта начинается этап остеоинтеграции, затем — планирование и изготовление ортопедической конструкции.
    15–30 минут

    Цены на костную пластику

    Стоимость костной пластики зависит от нескольких факторов:

    1. Индивидуальной клинической картины
    2. Метода и материалов
    3. Возможности одномоментной имплантации
    Костная пластика

    Костная пластика

    • Аксессуары
    • Анестезия
    • Наложение швов
    • Лиопласт спонгиозный
    • Мембрана ТМО
    • Подсадка костной ткани
    • КТ-снимок

    Консультация

    2 500 ₽

    2 000 ₽

    НКР

    72 600 ₽

    68 600 ₽

    Итого за всё «под ключ»

    75 100 ₽ 70 600 ₽

    Расщепление гребня

    Расщепление гребня

    • Аксессуары
    • Анестезия
    • Наложение швов
    • Расщепление гребня
    • Лиопласт спонгиозный
    • Мембрана ТМО
    • КТ-снимок

    Консультация

    2 500 ₽

    2 000 ₽

    Расщепление гребня

    66 400 ₽

    62 400 ₽

    Итого за всё «под ключ»

    68 900 ₽ 64 400 ₽

    Пластика лунки

    Пластика лунки

    • Аксессуары
    • Анестезия
    • Наложение швов
    • КТ-снимок
    • Лиопласт спонгиозный
    • Удаление зуба
    • Мембрана ТМО

    Консультация

    2 500 ₽

    2 000 ₽

    НКР

    44 100 ₽

    42 100 ₽

    Итого за всё «под ключ»

    44 600 ₽ 44 100 ₽

    Подробнее о ценах

    Плюсы костной пластики в КДС

    Комфорт с первого визита

    • Вас встречает администратор, помогает с документами и сопровождает до кабинета. При необходимости сразу выполняем КТ, чтобы не тратить время на дополнительные визиты. Вся диагностика и лечение проходят в одной клинике — удобно и без ожиданий.
    • Чёткий, понятный план лечения: вы заранее знаете, какие этапы предстоят: диагностика, выбор метода костной пластики, сроки регенерации и когда можно установить имплант. Врач подробно объясняет ход процедуры, объём вмешательства и прогноз результата.
    • Прозрачная стоимость: на консультации хирург-имплантолог озвучивает стоимость лечения, объясняет, какие материалы понадобятся, и формирует точную смету без скрытых платежей.

    Что ещё важно?

    • Мы используем навигационные хирургические шаблоны, 3D-планирование и цифровую диагностику — это обеспечивает максимальную точность позиционирования будущего импланта и прогнозируемый результат.
    • Работаем только сертифицированными остеопластическими материалами премиум-класса, которые обладают высокой биосовместимостью и предсказуемо формируют прочную кость.
    • После операции вы получаете персональные рекомендации, план реабилитации и бесплатные плановые контрольные осмотры.
    • Все вмешательства проводятся строго по международным протоколам, с использованием оборудования экспертного класса и малотравматичных хирургических техник.

    Основные показания к костной пластике

    • Недостаток костной ткани для установки импланта

    При длительном отсутствии зубов кость истончается и теряет объём. Костная пластика позволяет восстановить её ширину и высоту так, чтобы имплант был стабильно зафиксирован. Подходит как при единичных дефектах, так и при восстановлении нескольких зубов подряд.

    • Выраженная атрофия кости

    После удаления зубов, воспалений или травм костная ткань может уменьшиться критически. В таких случаях костная пластика — единственный способ подготовить зону к последующей имплантации и избежать смещения или отторжения импланта.

    • Дефекты кости после удаления или воспалительных процессов

    Если в лунке была киста, гранулёма или гнойное воспаление, объём костной ткани часто нарушен. Пластика позволяет восстановить её структуру и создать оптимальные условия для приживления импланта.

    Терапияв КДС

    Получите консультацию у экспертов КДС


    Позвонить в клинику
    Получите консультацию у экспертов КДС КДС

    Какие материалы мы используем при костной пластике

    В клинике КДС выбор остеопластического материала проводится индивидуально — с учётом анатомии, степени атрофии кости, планируемого объёма восстановления и нагрузки на будущий имплант.
    Главная задача — сформировать прочный, стабильный и безопасный костный объём, который обеспечит надёжную фиксацию имплантов и долговечный результат лечения.

    Аутокость (собственная кость пациента)

    Аутокость (собственная кость пациента)

    Золотой стандарт в костной пластике, используемый в случаях значительного дефицита.

    • Материал берётся из собственных участков пациента — чаще со стороны нижней челюсти в зоне зубов мудрости.
    • Обладает максимальной биосовместимостью и лучшими показателями приживления.
    • Активно стимулирует формирование новой костной ткани.
    • Применяется в сложных случаях с выраженной атрофией.
    • Срок формирования: 3–5 месяцев.

    Синтетические материалы (биокерамика: фосфаты кальция, гидроксиапатит)

    Синтетические материалы (биокерамика: фосфаты кальция, гидроксиапатит)

    Современная альтернатива натуральной кости с высокой предсказуемостью результата.

    • Состоят из минералов, входящих в состав естественной костной ткани — кальция и фосфора.
    • Полностью биосовместимы, не вызывают аллергии.
    • Имеют стабильную форму и структуру, обеспечивая равномерное восстановление.
    • Подходят для умеренной атрофии и локальных дефектов.
    • Срок интеграции: 4–6 месяцев.

    Ксеногенная кость (натуральный костный матрикс)

    Ксеногенная кость (натуральный костный матрикс)

    Эффективна при необходимости увеличить объём кости и укрепить область имплантации.

    • Получается из костной ткани крупного рогатого скота, проходит многоэтапную очистку и стерилизацию.
    • Сохраняет природную пористость, что усиливает образование собственной костной ткани.
    • Обеспечивает стабильный и долговременный объём. Часто применяется при значительном дефиците костной ткани.
    • Срок ремоделирования: 6–9 месяцев.

    Коллагеновая мембрана

    Коллагеновая мембрана

    Неотъемлемая часть остеопластики в большинстве случаев.

    • Представляет собой тонкую защитную плёнку биосовместимого происхождения.
    • Изолирует область операции от мягких тканей и способствует правильному формированию кости.
    • Ускоряет процесс регенерации и повышает предсказуемость результата.

    Показания и противопоказания

    Костная пластика — это хирургический метод восстановления утраченного объёма кости для последующей установки имплантов. Процедура позволяет сформировать прочную и стабильную костную основу, необходимую для надёжной фиксации имплантов и долгосрочного результата лечения. Перед планированием важно учитывать показания и возможные ограничения.

    Показания

    • Недостаточный объём костной ткани для установки импланта. Если кости не хватает по высоте или ширине, имплант невозможно установить безопасно без предварительного увеличения объёма.
    • Атрофия кости после удаления зуба. Со временем костная ткань уменьшается — особенно если зуб был удалён давно. Костная пластика восстанавливает утраченный объём.
    • Подготовка к установке нескольких имплантов. При протезировании больших дефектов требуется достаточный и равномерный объём кости, чтобы обеспечить устойчивость конструкции.
    • Травматические дефекты кости. Травмы, операции или кисты могут привести к потере костной ткани — её можно восстановить остеопластикой.
    • Нарушение анатомии после длительного воспаления. Пародонтит, кисты, хронические инфекции могут приводить к истончению кости.

    Противопоказания

    • Острые воспалительные процессы в полости рта. Пародонтит, периодонтит, абсцессы, кисты — сначала проводится лечение, затем пластика.
    • Обострение хронических заболеваний и тяжёлые соматические состояния. Некоторые системные патологии повышают риск хирургического вмешательства — решение принимается совместно с профильным врачом.
    • Нарушения свертываемости крови. Могут осложнить проведение операции — требуется коррекция и консультация специалиста.
    • Аллергическая реакция на материалы или анестетики. В таких случаях подбираются альтернативные растворы и остеопластические материалы.
    • Недостаточная гигиена полости рта. Высокий риск инфицирования может стать временным противопоказанием до восстановления порядка.

    В клинике КДС костная пластика проводится на основе данных КТ и цифрового моделирования. Мы подбираем оптимальный вид остеопластики — от малых объёмов до сложных реконструкций — с учётом анатомии, степени атрофии и плана имплантации.

    Преимущества и ограничения костной пластики

    Костная пластика — это полноценная хирургическая процедура, направленная на восстановление утраченного объёма кости перед имплантацией. После вмешательства возможно появление умеренного отёка — это естественная реакция организма. Обычно он достигает пика на 2–3 день, а затем постепенно уменьшается. Через 7–10 дней большая часть припухлости исчезает. Период восстановления занимает 10–14 дней, в течение которых важно соблюдать рекомендации врача, чтобы обеспечить правильное заживление, исключить инфицирование и предотвратить смещение тканей. Все ограничения временные и направлены на безопасность и предсказуемый результат.

    Преимущества

    • Возможность установить импланты там, где раньше это было невозможно. Остеопластика восстанавливает объём кости даже при выраженной атрофии — это открывает возможность полной имплантации.
    • Создание прочной и устойчивой опоры для имплантов. Качественно сформированный объём кости улучшает фиксацию и увеличивает срок службы импланта.
    • Предотвращение расшатывания и потери импланта. Достаточная плотность и высота кости обеспечивают стабильную остеоинтеграцию.
    • Эстетика и правильное протезирование. Благодаря достаточному объёму кости врач может установить имплант в анатомически верной позиции — это влияет на симметрию, линию улыбки и внешний вид коронки.
    • Сохранность соседних зубов. Нет необходимости обтачивать здоровые зубы, как при установке мостов.
    • Правильное распределение жевательной нагрузки. После имплантации восстанавливается полноценная функция жевания и комфорт в быту.
    • Высокий процент успешного приживления имплантов. Костная пластика повышает прогнозируемость результата и снижает риск осложнений.

    Ограничения

    • Нельзя чихать с закрытым ртом. Важно не задерживать воздух, чтобы избежать давления на зону операции.
    • Исключить питьё через трубочку. Создание вакуума может нарушить целостность тканей.
    • Отказ от интенсивных физических нагрузок на 3–4 недели. Активность повышает кровоток и может вызвать кровотечение.
    • Запрет на баню, сауну, бассейн и погружение под воду. Высокая температура и влажность увеличивают риск воспаления.
    • Под запретом авиаперелёты в течение первых недель. Перепады давления могут негативно повлиять на процесс восстановления.
    • Все ограничения краткосрочные — они позволяют ткани зажить правильно и обеспечивают стойкий результат.

    Стандарты проведения костной пластики в нашей клинике

    • Прозрачная диагностика и прогнозируемый результат до начала лечения. Пациент получает чёткий план, расчёт сроков и этапов.
    • Отсутствие рисков осложнений благодаря тщательной подготовке. Используем КТ, цифровое планирование и комплексную оценку здоровья.
    • Применяем современную анестезию, микрохирургические инструменты и щадящие методики.
    • Формируем устойчивый костный объём, необходимый для надёжной имплантации и эстетического протезирования.
    • Уверенность в выборе клиники и врача. Опыт хирургов и высокоточное оборудование позволяют получать стабильные результаты.

    Совет врача:

    Не откладывайте восстановление кости после удаления зуба — чем раньше выполнена костная пластика, тем проще и быстрее приживётся имплант. Обязательно проходите КТ для точной диагностики и строго соблюдайте рекомендации после операции: избегайте нагрузок, вакуума во рту и перепадов давления. Выбирайте клинику с современными материалами и методиками — это повышает прогнозируемость результата и долговечность имплантов.

    Кобалия Васо Мерабович

    Кобалия Васо Мерабович

    Стоматолог-хирург, имплантолог

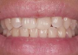
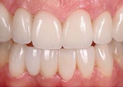
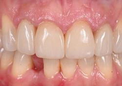
    Примеры работ костной пластики

    Ежедневно мы восстанавливаем улыбку и уверенность в себе 5–7 пациентам.

    Гарантии в КДС

    Работаем строго по договору, соблюдаем все условия, гарантируем результат лечения и выдаем чеки на всю сумму.

    Гарантия до 100 лет

    На импланты от производителя

    Сервисное 
обслуживание до 2-х лет

    На работу врача

    Сервисное 
обслуживание до 2-х лет

    На коронки и протезы

    Гарантия честной цены

    Стоимость указана в договоре

    В клинике «КДС» гарантируем качество на каждом этапе протезирования — от подбора материалов до установки коронки. Каждая коронка проходит тщательную проверку, чтобы результат был безупречным.

    Гарантии в Клинике Доброго Стоматолога
    Консультация – первый шаг на пути к решению проблем с зубами!

    Консультация – первый шаг на пути к решению проблем с зубами!

    Звоните:

    +7 (812) 426-00-00

    Наши врачи-хирурги

    В КДС работают опытные челюстно-лицевые хирурги и имплантологи, регулярно повышающие квалификацию и владеющие современными методиками костной пластики любой сложности. Мы заботимся не только о точной установке имплантов, но и о безопасном восстановлении объёма кости для долгосрочной стабильности.

    Почему пациенты выбирают нас

    • Опыт и практика. Каждый врач ежегодно проводит десятки операций по наращиванию костной ткани, включая сложные случаи с выраженной атрофией.
    • Только сертифицированные материалы. Мы используем проверенные биосовместимые остеопластические составы, которые гарантируют прогнозируемое приживление и формирование необходимого объёма кости.
    • Индивидуальный расчёт объёма материала. Хирург заранее оценивает состояние кости, анатомию челюсти и подбирает оптимальный метод восстановления.
    • Полный контроль на всех этапах. От подготовки и диагностики до наблюдения после операции — мы сопровождаем пациента на каждом этапе, чтобы процесс восстановления прошёл комфортно и безопасно.
    • Сотни успешных случаев. Наши пациенты отмечают высокий уровень комфорта во время всего лечения.
    • Индивидуальный подход к каждому пациенту. Каждая челюсть уникальна — мы тщательно оцениваем толщину костной ткани, степень атрофии, расположение соседних зубов и другие особенности. Это позволяет точно определить необходимость костной пластики и выбрать метод, который обеспечит стабильную опору для импланта.

    Мы учитываем:

    • состояние мягких тканей и слизистой;
    • объём оставшейся кости; наличие воспалений;
    • особенности прикуса и линии улыбки;
    • пожелания пациента по срокам и виду имплантации.

    Такой подход обеспечивает безопасное лечение и максимально подготовленную зону для установки импланта.

    Современные технологии — точность и безопасность

    Мы используем передовые методы диагностики и хирургии, чтобы нарастить костную ткань максимально бережно и предсказуемо.

    • 3D-диагностика (КТ) позволяет увидеть точную высоту кости и анатомию челюсти, снижая риски во время операции.
    • Цифровое планирование. Хирург моделирует объём костной ткани и этапы вмешательства, что делает операцию более безопасной и сокращает время процедуры.
    • Навигационные технологии. При необходимости применяются хирургические шаблоны, обеспечивающие точное позиционирование импланта.
    • Минимально инвазивные методики. Костная пластика может выполняться через имплантационный канал без разрезов — это уменьшает дискомфорт и ускоряет восстановление.
    • Современные биоматериалы. Обеспечивают быстрое формирование новой костной ткани и надёжную фиксацию импланта.
    Кобалия Васо Мерабович

    Кобалия Васо Мерабович

    Стоматолог-хирург, имплантолог

    Прием по адресу:

    ул.Коллонтай, 17 к.2

    Овакимян Сурен Варданович

    Овакимян Сурен Варданович

    Стоматолог-ортопед

    Прием по адресу:

    ул.Коллонтай, 17 к.2

    Аблов Федор Петрович

    Аблов Федор Петрович

    Стоматолог-хирург, имплантолог

    Прием по адресу:

    Коломяжский проспект, 20
    ул.Коллонтай, 17 к.2
    пр.Народного Ополчения, 10

    Смотреть всех врачей

    Почему пациенты выбирают КДС

    Этичный медицинский подход. Используем только те технологии и методики лечения, которые предложили бы своим близким.

    Опытные врачи. Ваше здоровье в надёжных руках специалистов, которые не только постоянно повышают квалификацию, но и обучают коллег.

    Прозрачные условия. Фиксированная стоимость лечения и понятная этапность без скрытых доплат.

    Восстановление и реабилитация после костной пластики

    Аблов Федор Петрович

    Правильная реабилитация играет решающую роль для успешного формирования новой костной ткани и надёжной установки импланта. Следование рекомендациям врача снижает риск осложнений и ускоряет процесс заживления.

    стаж 10 лет

    Аблов Федор Петрович

    Стоматолог-хирург, имплантолог

    01

    Аккуратная гигиена полости рта

    Чистите зубы мягкой щёткой, избегая зоны операции в первые дни после вмешательства. Используйте антисептические ополаскиватели по назначению врача — это помогает поддерживать чистоту и предотвращает воспаление. На время восстановления стоит отказаться от ирригаторов и зубной нити, чтобы не создавать давление на область вмешательства.
    02

    Контроль питания

    Следуйте щадящей диете: исключите горячие, острые, слишком холодные или твёрдые продукты, которые могут повредить сгусток или раздражать ткани. Не жуйте на стороне операции до разрешения врача. Предпочтение отдавайте мягкой пище комфортной температуры — это облегчает заживление и снижает нагрузку на кость.
    03

    Регулярные осмотры у врача

    Плановые визиты и контрольные снимки позволяют отслеживать динамику восстановления костной ткани и состояние мягких тканей. Врач корректирует рекомендации по уходу, контролирует приём назначенных препаратов и обеспечивает безопасную подготовку к последующей имплантации.

    Отзывы о КДС

    Часто задаваемые вопросы о лечении зубов

    01

    Что такое костная пластика и зачем она нужна?

    Костная пластика — это хирургическое вмешательство для восстановления объёма костной ткани. Она необходима для надёжной установки импланта и долгосрочной стабильности протезирования.
    02

    Насколько безопасна процедура?

    Современные методики и биосовместимые материалы делают костную пластику безопасной. Все этапы контролируются хирургом, проводится точная диагностика и последующий мониторинг.
    03

    Сколько длится восстановление после операции?

    Период заживления обычно занимает 10–14 дней. Полное формирование костной ткани происходит за 3–6 месяцев, в зависимости от объёма и выбранного метода.
    04

    Какие материалы используются для наращивания кости?

    Возможны аутокость (собственная кость пациента), ксеногенные материалы (обработанная кость животных), синтетические составы на основе гидроксиапатита и комбинированные материалы.
    05

    Можно ли сразу установить имплант после костной пластики?

    Это зависит от объёма и состояния кости. В некоторых случаях имплант ставится одномоментно, а при значительном дефиците — после формирования костной ткани.
    06

    Больно ли проходить процедуру?

    Операция проводится под местной анестезией или седацией. Пациенты обычно ощущают только лёгкий дискомфорт после вмешательства, который проходит через несколько дней.
    07

    Какие ограничения после операции?

    Следует избегать интенсивных нагрузок, бань, саун, бассейнов, ныряния и авиаперелётов первые 2–4 недели. Не использовать трубочки для напитков и не жевать на стороне операции до разрешения врача.
    08

    Как ухаживать за ротовой полостью после процедуры?

    Чистить зубы мягкой щёткой, избегая зоны операции, использовать антисептические ополаскиватели. Ирригатор и зубную нить в первые недели лучше временно не применять.
    09

    Сколько стоит процедура костной пластики?

    Стоимость зависит от метода (открытый, закрытый, НКР), объёма кости и выбранного материала. Точную смету врач рассчитывает индивидуально после диагностики.
    010

    Какие результаты можно ожидать?

    После успешной костной пластики формируется прочная костная ткань, которая обеспечивает надёжную фиксацию импланта, долговечность конструкции и восстановление жевательной функции.

    Европейское качество по разумной цене!

    Коломяжский проспект, 20

    +7 (812) 426-00-01

    с 09:00 до 21:00

    без выходных

    ул.Коллонтай, 17 к.2

    +7 (812) 426-00-02

    с 09:00 до 21:00

    без выходных

    пр.Народного Ополчения, 10

    +7 (812) 426-00-03

    с 09:00 до 21:00

    без выходных

    Телефон: +7 (812) 426-00-00

    E-mail: ask@kdc-spb.ru

    Контакты Клиники Доброго Стоматолога