Врач уточняет жалобы, пожелания пациента Узнает особенности состояния здоровья. Обязательно учитывает ранее проведенное лечение.



Зубочелюстные аномалии есть у большинства людей. Если есть проблемы — их надо решать всегда. Не во всех случаях они требуют решения. Однако, в большинстве ситуаций помощь все же нужна. Если есть аномалии прикуса, даже не столь выраженные — растет вероятность проблем с височно-нижнечелюстными суставами, происходит перегрузка отдельных зубов. В результате развиваются проблемы: повышенная стираемость зубов, сколы и оголение шеек зубов (рецессии) и, как следствие — повышенная чувствительность зубов на различные раздражители.
Если у вас имеются проблемы или же вы подозреваете их у себя — вам показана консультация ортодонта. Врач оценит состояние зубов, зубочелюстной системы и найдет подходящее решение. Поможет без боли, дискомфорта вернуть зубы в анатомически верное положение и избежать негативных последствий.
Ортодонт — стоматолог узкого профиля. Он специализируется на диагностике, профилактике и исправлении нарушений прикуса. Также корректирует неправильное положение зубов. В его компетенции решение двух основных задач:
Ортодонт корректирует положение зубов. В этом его ключевое отличие от стоматолога-терапевта и хирурга. Он определяет, как должны располагаться зубы для равномерного распределения нагрузки, правильного жевания и сохранения здоровья полости рта.
Существует ряд целей лечения, специалист:
Неправильный прикус создает множество проблем. Без лечения он может привести к опасным осложнениям:
Если обратиться к врачу вовремя — есть все шансы восстановить работу зубочелюстной системы, замедлив или остановив патологические процессы. Ограничений для ортодонтического лечения по возрасту нет. Однако существуют ограничения по состоянию здоровья, а также костной ткани. Представление, что ортодонт работает только с детьми и подростками — большое заблуждение.
Прием ортодонта показан при заметных проблемах с прикусом и первых признаках неправильного расположения зубов в ряду. Чем раньше вы выявите проблему — тем проще и быстрее будет лечение.
Основные показания следующие:
Консультация ортодонта в детском возрасте — вопрос другой. Нельзя слишком спешить. Показать ребенка ортодонту рекомендуется в возрасте 5–7 лет, в период начала смены молочных зубов на постоянные. Умеренный подход позволит решить несколько вопросов:
Консультация ортодонта актуальна в любом возрасте. Часто к специалисту обращаются и взрослые. Есть ряд показаний:
Обратиться к врачу можно, если ранее лечение не проводилось или проводилось, но дало нестабильный результат Даже если нет явных жалоб — к ортодонту все равно направляют многих пациентов. Явка к ортодонту необходима хотя бы один раз в жизни для профессиональной оценки прикуса и выявления факторов, которые могут спровоцировать развитие патологических состояний и проблем в будущем. Это вопрос профилактики. Профилактические осмотры выявляют скрытые нарушения и предотвращают их развитие.
В большинстве случаев лечение возможно. Противопоказаний мало, хотя они и есть. В их числе:
Если есть такие противопоказания — их сначала устраняют. Только потом начинают ортодонтическое лечение. Ортодонт подбирает щадящие методы и составляет персональный план лечения.
Важно! Абсолютных противопоказаний к ортодонтическому лечению немного. В большинстве случаев проблему можно решить при правильной подготовке и совместной работе пациента и врача.
Ортодонт лечит аномалии прикуса и иные аномалии строения зубочелюстной системы. В его компетенции изменить эстетику лица и улыбки, нормализовать работу зубочелюстной системы
Такие проблемы развиваются постепенно. Долго остаются незамеченными. Однако без коррекции приводят к осложнениям. С какими же заболеваниями работает ортодонт.
Аномалии прикуса. Это наиболее распространенная группа проблем. Виды прикусов:
Все эти нарушения требуют коррекции.
Анатомически неверное расположение зубов, если точнее:
Промежутки, расположенные между зубами: диастемы и тремы. В части случаева достаточно эстетической терапевтической коррекции, но далеко не всегда.
Расстройства роста и развития челюстей:
Функциональные нарушения:
Лечение очень важно. Без коррекции ортодонтические нарушения приводят к многочисленным проблемам:
Ортодонтическое лечение — универсальное решение большинства проблем.
Ортодонт помогает восстановить правильную работу всей зубочелюстной системы. Его работа влияет на внешний вид улыбки и на здоровье зубов, десен и суставов. Результаты лечения обычно такие.
Нормализация прикуса. Врач корректирует положение челюстей и смыкание зубов. Нагрузка начинает распределяться равномерно.
Выравнивание зубов. Врач устраняет все возможные проблемы: скученность, наклоны, повороты зубов и промежутки между ними. Зубной ряд становится ровным и гармоничным.
Улучшение эстетики улыбки. После лечения улыбка выглядит более открытой и привлекательной. Кроме восстановления функций — это повышает уверенность в себе.
Снижение риска кариеса и заболеваний десен. Ровные зубы легче чистить. Поскольку гигиена улучшается — налета становится меньше, риск воспаления также снижается.
Предотвращение стираемости зубов. Правильный прикус снижает перегрузку отдельных зубов, защищает эмаль от преждевременного износа.
Снижение нагрузки на суставы. Коррекция прикуса помогает устранить щелчки, дискомфорт и напряжение в области челюсти. Это важная мера профилактики артрита и артроза.
Кроме того, есть и другие результаты лечения у ортодонта:
Ортодонт — часть команды. Именно комплексный подход позволяет добиться стабильного и надежного результата.
Специальная подготовка к консультации ортодонта не нужна. Вы можете записаться на прием в любое удобное время, однако есть несколько простых рекомендаций. Они сделают осмотр более информативным и комфортным.
Что желательно сделать перед приемом:
Если есть выраженные воспалительные процессы или кариес, другие проблемы — врач обязательно порекомендует перед началом лечения провести профессиональную гигиену и санировать полость рта. Только потом берется за ортодонтическое лечение. По этой причине ортодонт редко становится первым врачом. Как правило, к нему направляет стоматолог-терапевт, к которому пациент попадает с острыми жалобами.
Врач уточняет жалобы, пожелания пациента Узнает особенности состояния здоровья. Обязательно учитывает ранее проведенное лечение.
Специалист оценивает положение зубов, прикус, состояние десен, слизистой оболочки. Также важно оценить работу височно-нижнечелюстных суставов.
При необходимости врач назначает дополнительные исследования:
Составляют его персонально, в соответствии с запросом и проблемами конкретного пациента. Ортодонт объясняет проблемы, предлагает варианты их решения. Подробно описывает суть возможного вмешательства: брекеты или другая ортодонтическая аппаратура.
Пациент получает ориентиры по длительности лечения, этапам коррекции прикуса и бюджету. Это важно, поскольку обеспечивает прозрачность без рисков.
Для составления полного комплексного плана лечения.
После обследования вы получаете презентацию с подробным описанием имеющихся проблем и путей их решения.
Есть несколько методов ортодонтического лечения. Какой выбрать — зависит от клинической ситуации. Универсальных решений нет. Шире всего применяются следующие варианты.
Врачи ставят брекет-системы. Это классический и один из самых эффективных способов коррекции прикуса. Вот лишь некоторые особенности решения:
Применяют съемные конструкции — чаще всего у детей. Они помогают направить рост челюстей и могут использоваться на всех этапах роста и развития зубочелюстной системы.
Есть ретенционные, несъемные ортодонтические аппараты. Их устанавливают на внутреннюю поверхность передних зубов после снятия брекет-системы. Они закрепляют достигнутый результат и предотвращают возвращение зубов в исходное патологическое положение Выбор метода всегда индивидуален. Ортодонт подбирает оптимальное решение после диагностики.
Стоимость зависит от нескольких факторов:
Система на 1 челюсть
70 000 ₽
60 000 ₽
Система на 2 челюсти
140 000 ₽
120 000 ₽
Итого за всё «под ключ»
350 000 ₽ 320 000 ₽
Система на 1 челюсть
85 000 ₽
75 000 ₽
Система на 2 челюсти
170 000 ₽
150 000 ₽
Итого за всё «под ключ»
380 000 ₽ 370 000 ₽
Система на 1 челюсть
95 000 ₽
85 000 ₽
Система на 2 челюсти
190 000 ₽
170 000 ₽
Итого за всё «под ключ»
450 000 ₽ 420 000 ₽
Если у вас есть даже незначительные проблемы или вы предполагаете, что они имеются — не откладывайте консультацию ортодонта. На ранних этапах нарушения прикуса корректируются быстрее, проще и зачастую дешевле. Если взяться за коррекцию позже — возможны проблемы. Задача будет сложнее.
Успех лечения зависит не только от врача. Большую роль играет поведение пациента. Соблюдение рекомендаций, регулярная гигиена и посещение контрольных приемов — ключ к стабильному и долговечному результату, главное не бойтесь начинать лечение во взрослом возрасте. Технологии позволяют исправить прикус комфортно и эстетично в любом возрасте.
Стоматолог-ортодонт
Пациент:
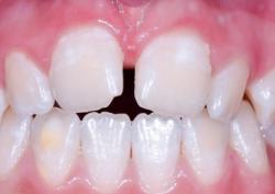
Анна, 28 лет
Жалобы пациента:
сильная стираемость зубов, эстетический дефект улыбки.
Что делали:
Результат:
нормализован прикус, восстановлена функция жевания, зубы выглядят ровно и эстетично.
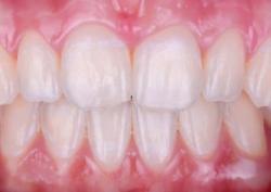
Пациент:
Дмитрий, 25 лет
Жалобы пациента:
неровный зубной ряд, затруднённая гигиена.
Что делали:
Результат:
зубы выровнены, восстановлена симметрия, улучшено положение челюсти.
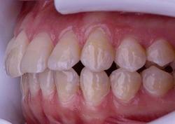
Пациент:
Мария, 15 лет
Жалобы пациента:
щель между зубами, нарушение дикции.
Что делали:
Результат:
устранён открытый прикус, улучшена речь, улыбка стала гармоничной.
Мы подбираем методику и систему брекетов с учётом особенностей прикуса.
Регулярные визиты к врачу позволяют отслеживать динамику, корректировать план.
Мы используем современные технологии и материалы.
После завершения лечения мы обеспечиваем ретенционный период.
Гарантия в КДС: мы отвечаем за результат, так как комплексно подходим к лечению патологий прикуса.
Звоните:
Врачи-ортодонты клиники «КДС» — это специалисты с большим практическим опытом. Наши врачи работают с клиническими случаями различной сложности: от незначительных эстетических нарушений до комплексных патологий прикуса. Они регулярно повышают квалификацию, владеют современными методиками лечения. Работают в тесном взаимодействии с другими специалистами.
Такой системный подход позволяет учесть все нюансы здоровья пациента. В конечном счете — добиться качественного, при этом предсказуемого результата.
Преимущества консультации ортодонта в нашем стоматологическом центре:
Чтобы узнать больше, задать вопросы, записаться к врачу — позвоните по телефону. Номер указан на сайте.
Генеральный директор, стоматолог-ортодонт, врач высшей категории, к.м.н.
Коломяжский проспект, 20
ул.Коллонтай, 17 к.2
пр.Народного Ополчения, 10
Главный врач, стоматолог-ортодонт
пр.Народного Ополчения, 10
Главный врач, стоматолог-ортодонт
ул.Коллонтай, 17 к.2
пр.Народного Ополчения, 10
Этичный медицинский подход. Используем только те технологии и методики лечения, которые предложили бы своим близким.
Опытные врачи. Ваше здоровье в надёжных руках специалистов, которые не только постоянно повышают квалификацию, но и обучают коллег.
Прозрачные условия. Фиксированная стоимость лечения и понятная этапность без скрытых доплат.
Екатерина
+7-910-8ХХ-ХХ-ХХ
Долго искала клинику, где можно одновременно решить все проблемы с зубами — и кариес, и протезирование. В КДС составили полный план лечения, объяснили каждый шаг, а врачи сделали всё максимально комфортно. Здесь чувствуешь себя в надёжных руках.
Алексей
+7-917-5ХХ-ХХ-ХХ
Мне проводили имплантацию и протезирование «всё на 4». Сначала было страшно, но команда хирургов и ортопедов всё объяснила и оказала моральную поддержку. Результат превзошёл ожидания — чувствую себя прекрасно с новой улыбкой.
Марина
+7-916-8ХХ-ХХ-ХХ
Привела ребёнка на ортодонтическое лечение. Очень боялась, что будет трудно его убедить в необходимости установки брекетов, но врачи нашли индивидуальный подход: объясняли всё по шагам, использовали современные методы адаптации детей к осмотру. Сейчас сын спокойно носит брекеты, посещает приемы, а результат уже виден!
Сергей
+7-910-4ХХ-ХХ-ХХ
Долго откладывал лечение дисфункции височно-нижнечелюстного сустава, пока не обратился в КДС. В клинике провели комплексную диагностику, сделали сплинты, ортопедическую подготовку и протезирование. После курса лечения исчезли боли и щелчки, и я снова могу нормально жевать.
Алина
+7-906-6ХХ-ХХ-ХХ
Хочу поблагодарить команду КДС за профессионализм и честность. Когда предлагались методы, которые могли бы быть сомнительными, врачи честно объяснили риски и предложили лучшее решение. Чувствуется, что заботятся о пациентах, а не просто о доходе.
Иван
+7-915-5ХХ-ХХ-ХХ
Мне удаляли зубы мудрости под седацией. Процедура прошла абсолютно спокойно, а врачи всё объяснили ещё до наркоза. После лечения ни боли, ни неприятных ощущений. Очень удобно, что здесь комплексный подход — сразу делают всё, что нужно, без лишних визитов.