


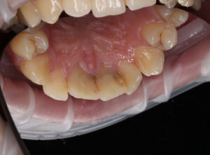
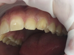
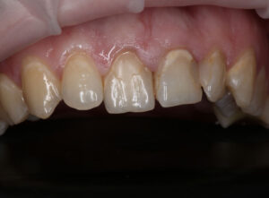
За время своей работы наши специалисты провели множество процедур, которые вернули пациентам красоту и уверенность в себе. Косметическая реставрация зубов, как правило, предполагает несколько этапов лечения, сколько – сказать точно сможет только лечащий врач. Наш центр эстетической стоматологии предлагает всем своим клиентам индивидуальный подход и гарантию лечения без боли на каждом этапе.
У нас вы сможете воспользоваться всем комплексом процедур эстетической реставрации зубов. Сразу после первичной консультации у специалиста, на которой вы узнаете, какие методы можно применить для решения проблемы, какое время займут все процедуры, вы сможете определиться, стоит ли вам заниматься дальнейшим лечением.
На этой консультации врач оценит состояние полости рта и назначит необходимые анализы
Компьютерные снимки и слепки зубов, которые помогают составить точный план лечения и комплексно оценить ситуацию
После комплексной оценки ситуации врач разъясняет оптимальный план лечения, а также предлагает альтернативные варианты

Этичный медицинский подход. Используем только те технологии и методики лечения, которые предложили бы своим близким.
Опытные врачи. Ваше здоровье в надёжных руках специалистов, которые не только постоянно повышают квалификацию, но и обучают коллег.
Прозрачные условия. Фиксированная стоимость лечения и понятная этапность без скрытых доплат.
Екатерина
+7-910-8ХХ-ХХ-ХХ
Долго искала клинику, где можно одновременно решить все проблемы с зубами — и кариес, и протезирование. В КДС составили полный план лечения, объяснили каждый шаг, а врачи сделали всё максимально комфортно. Здесь чувствуешь себя в надёжных руках.
Алексей
+7-917-5ХХ-ХХ-ХХ
Мне проводили имплантацию и протезирование «всё на 4». Сначала было страшно, но команда хирургов и ортопедов всё объяснила и оказала моральную поддержку. Результат превзошёл ожидания — чувствую себя прекрасно с новой улыбкой.
Марина
+7-916-8ХХ-ХХ-ХХ
Привела ребёнка на ортодонтическое лечение. Очень боялась, что будет трудно его убедить в необходимости установки брекетов, но врачи нашли индивидуальный подход: объясняли всё по шагам, использовали современные методы адаптации детей к осмотру. Сейчас сын спокойно носит брекеты, посещает приемы, а результат уже виден!
Сергей
+7-910-4ХХ-ХХ-ХХ
Долго откладывал лечение дисфункции височно-нижнечелюстного сустава, пока не обратился в КДС. В клинике провели комплексную диагностику, сделали сплинты, ортопедическую подготовку и протезирование. После курса лечения исчезли боли и щелчки, и я снова могу нормально жевать.
Алина
+7-906-6ХХ-ХХ-ХХ
Хочу поблагодарить команду КДС за профессионализм и честность. Когда предлагались методы, которые могли бы быть сомнительными, врачи честно объяснили риски и предложили лучшее решение. Чувствуется, что заботятся о пациентах, а не просто о доходе.
Иван
+7-915-5ХХ-ХХ-ХХ
Мне удаляли зубы мудрости под седацией. Процедура прошла абсолютно спокойно, а врачи всё объяснили ещё до наркоза. После лечения ни боли, ни неприятных ощущений. Очень удобно, что здесь комплексный подход — сразу делают всё, что нужно, без лишних визитов.