Врач уточняет жалобы, смотрит рентгеновский снимок, объясняет ход процедуры и подписывает информированное согласие.



Удаление зуба в стоматологии – это плановое или срочное вмешательство, которое выполняет стоматолог-хирург. Цель процедуры: устранить проблему, которую уже нельзя решить лечением или восстановлением. В большинстве случаев удаление занимает мало времени, а неприятные ощущения сводятся к минимуму за счет анестезии и аккуратной работы с тканями.
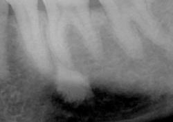
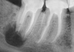
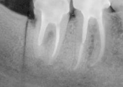
Зуб удаляют не только при сильной боли. Иногда пациент почти не предъявляет жалоб, но на рентгеновском снимке видно воспаление у корня, трещину, разрушение ниже десны или риск осложнений для соседних зубов. В таких ситуациях врач предлагает удаление как безопасный выход и заранее объясняет, какие варианты восстановления подойдут после заживления.
Метод выбирают по рентгеновскому снимку и осмотру. Врач учитывает форму корней, объем разрушения, состояние кости и мягких тканей. В практике применяются:
Удаление рассматривают как вариант, когда сохранение зуба не дает надежного результата или может ухудшить ситуацию. В клинику КДС в Санкт-Петербурге пациенты часто приходят с острой болью, но есть и другие причины, когда удаление планируют заранее. Частые ситуации:
Без диагностики качественно удалить зуб сложно. В КДС перед вмешательством врач проводит осмотр, оценивает состояние десны, соседних зубов и прикуса. Далее выполняют рентгеновский снимок, чтобы увидеть корни, форму каналов, состояние кости и возможные воспалительные изменения.
Что может входить в диагностику:
Диагностика помогает выбрать тактику и снизить риск осложнений. Врач заранее понимает, потребуется ли разделение корней, наложение швов, дополнительная обработка лунки, а также прогнозирует сроки заживления.
Подготовка простая, но она помогает перенести процедуру спокойнее и снижает риск неприятных реакций. Рекомендации перед приемом:
Если планируется сложное удаление, врач может заранее назначить дополнительные обследования и согласовать прием препаратов. Это особенно важно для пациентов с диабетом, гипертонией и заболеваниями сердца.
После удаления важно не только пережить первые сутки, но и правильно спланировать дальнейшее лечение. Если зуб удален из-за инфекции, нужно закрыть проблему до конца, чтобы не пострадали соседние зубы и кость. Что помогает восстановлению:
В КДС в Санкт-Петербурге пациенты часто совмещают удаление с планированием последующего восстановления. Это удобно, так как сразу понятны сроки и этапы.
Осложнения встречаются редко, но знать о них полезно, чтобы вовремя обратиться к врачу. Возможные ситуации:
При любых сомнениях лучше прийти на осмотр. Проще решить проблему в первые дни, чем лечить осложнение позже.
Врач уточняет жалобы, смотрит рентгеновский снимок, объясняет ход процедуры и подписывает информированное согласие.
Вводят анестетик, ждут, пока уйдет чувствительность. Боль во время удаления не является нормой, поэтому при необходимости добавляют анестезию.
В зависимости от ситуации выполняют простое или сложное удаление. При сложном варианте зуб могут разделить на части, чтобы убрать его аккуратно и без лишней травмы.
Лунку очищают, при необходимости проводят обработку антисептиком, ставят гемостатический материал, иногда накладывают швы.
Врач проверяет состояние лунки, выдает памятку, при необходимости назначает препараты и дату контрольного осмотра.
Важно! Противопоказания не всегда означают запрет. Чаще это повод перенести удаление на более безопасный день или провести его после подготовки. Врач собирает анамнез, уточняет лекарства, давление, хронические болезни и подбирает план, который снижает риск кровотечения и осложнений.
Ограничения не являются отказом в помощи. Чаще они нужны, чтобы сделать удаление безопасным и заранее спланировать восстановление.
Самая частая причина проблем после удаления – активные полоскания и горячая пища в первые часы. Важно сохранить сгусток, отказаться от курения хотя бы на сутки и не откладывать контрольный осмотр, если боль усиливается на третий день. При плановой имплантации важно заранее обсудить сроки и подготовку.
Стоматолог-хирург, имплантолог
Пациент:
Анна, 34 года
Жалобы пациента:
боль и отёк в области нижнего зуба мудрости, затруднённое открывание рта, давление на соседний зуб.
Что делали:
Результат:
болевой синдром и отёк купированы, заживление прошло без осложнений, соседние зубы и костная ткань сохранены.
Пациент:
Михаил, 41 год
Жалобы пациента:
периодическая боль, дискомфорт при накусывании, выявленная на снимке киста у корня зуба.
Что делали:
Результат:
киста полностью удалена, зуб сохранён и продолжает выполнять жевательную функцию, восстановление прошло без осложнений.
Пациент:
Олег, 52 года
Жалобы пациента:
резкая боль, выраженный отёк щеки, повышение температуры, невозможность жевать.
Что делали:
Результат:
инфекция купирована, болевой синдром устранён, общее состояние пациента нормализовано, удалось избежать осложнений и сохранить зуб.
На импланты от производителя
На работу врача
На коронки и протезы
Стоимость указана в договоре
КДС — клиника высоких гарантий.
Звоните:
Удаление зубов выполняют стоматологи-хирурги. Команда КДС ведет пациентов в Санкт-Петербурге от диагностики до восстановления зуба. Что получает пациент:
Стоматолог-хирург, имплантолог
Коломяжский проспект, 20
ул.Коллонтай, 17 к.2
пр.Народного Ополчения, 10
Этичный медицинский подход. Используем только те технологии и методики лечения, которые предложили бы своим близким.
Опытные врачи. Ваше здоровье в надёжных руках специалистов, которые не только постоянно повышают квалификацию, но и обучают коллег.
Прозрачные условия. Фиксированная стоимость лечения и понятная этапность без скрытых доплат.
Екатерина
+7-910-8ХХ-ХХ-ХХ
Долго искала клинику, где можно одновременно решить все проблемы с зубами — и кариес, и протезирование. В КДС составили полный план лечения, объяснили каждый шаг, а врачи сделали всё максимально комфортно. Здесь чувствуешь себя в надёжных руках.
Алексей
+7-917-5ХХ-ХХ-ХХ
Мне проводили имплантацию и протезирование «всё на 4». Сначала было страшно, но команда хирургов и ортопедов всё объяснила и оказала моральную поддержку. Результат превзошёл ожидания — чувствую себя прекрасно с новой улыбкой.
Марина
+7-916-8ХХ-ХХ-ХХ
Привела ребёнка на ортодонтическое лечение. Очень боялась, что будет трудно его убедить в необходимости установки брекетов, но врачи нашли индивидуальный подход: объясняли всё по шагам, использовали современные методы адаптации детей к осмотру. Сейчас сын спокойно носит брекеты, посещает приемы, а результат уже виден!
Сергей
+7-910-4ХХ-ХХ-ХХ
Долго откладывал лечение дисфункции височно-нижнечелюстного сустава, пока не обратился в КДС. В клинике провели комплексную диагностику, сделали сплинты, ортопедическую подготовку и протезирование. После курса лечения исчезли боли и щелчки, и я снова могу нормально жевать.
Алина
+7-906-6ХХ-ХХ-ХХ
Хочу поблагодарить команду КДС за профессионализм и честность. Когда предлагались методы, которые могли бы быть сомнительными, врачи честно объяснили риски и предложили лучшее решение. Чувствуется, что заботятся о пациентах, а не просто о доходе.
Иван
+7-915-5ХХ-ХХ-ХХ
Мне удаляли зубы мудрости под седацией. Процедура прошла абсолютно спокойно, а врачи всё объяснили ещё до наркоза. После лечения ни боли, ни неприятных ощущений. Очень удобно, что здесь комплексный подход — сразу делают всё, что нужно, без лишних визитов.
Сразу после удаления в лунке формируется кровяной сгусток. Он нужен для защиты и заживления. Главная задача пациента – сохранить сгусток и не травмировать лунку.
Первые часы:
В первые сутки:
На 2–3 день:
Сроки восстановления зависят от сложности. После простого удаления обычно становится легче за 2–3 дня. После сложного вмешательства дискомфорт может держаться дольше, а швы снимают через 7–10 дней.