Записаться на прием
Как к Вам обращаться?
Контактный телефон
Какая клиника предпочтительней?
Ваша заявка принята
Спасибо за обращение в клинику "КДС".
Администратор клиники перезвонит вам после получения заявки в течении 1 часа

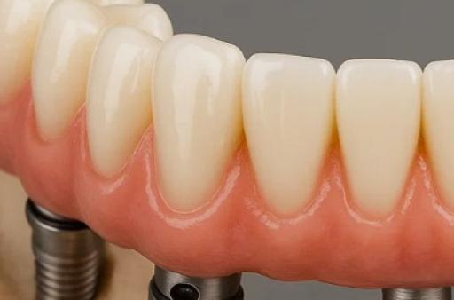
Имплантация All-on-4

Восстановим все зубы на 4 имплантах без костной пластики

Пожизненная гарантия на импланты

Приживаемость имплантов в 99,8% случаев

Импланты Nobel под ключ -
от 400 000 ₽

Постоянный протез -
от 260 000 ₽

Имплантация All-on-4

Что такое имплантация All-on-4

Имплантация All-on‑4 — это возможность восстановить все зубы на одной челюсти с опорой всего на 4 импланта. Метод позволяет установить временный протез очень быстро после операции, без костной пластики и длительной реабилитации. Это удобно, быстро и комфортно: вы сможете улыбаться и жевать без ограничений.

Все этапы — от диагностики до фиксации протеза — проходят в одной клинике, под наблюдением опытной команды. Вы заранее знаете план лечения, его длительность и стоимость. Метод подойдёт при полном отсутствии зубов, а также при сильной атрофии кости, где невозможна классическая имплантация. Используем сертифицированные системы Nobel и Nobel Speedy groovy — надёжные решения с высокой приживаемостью.

Преимущества All‑on‑4 в КДС

  • одна процедура — сразу 4 импланта;
  • подходит даже при выраженной атрофии костной ткани;
  • подробное 3D‑планирование и точная установка по шаблону;
  • комфортная анестезия и бережное хирургическое вмешательство;
  • фиксированная цена и понятный план лечения.

Не нужно ждать месяцами: импланты и временный протез устанавливаются в короткий промежуток времени. Через несколько месяцев — финальный протез, точно подобранный по прикусу и эстетике. Всё лечение проходит под контролем наших врачей с гарантией результата, вниманием к вашим ощущениям.

Восстановление всей челюсти — за один визит

Без боли, без сложных операций, без скрытых затрат.

Имплантация All-on-4: стоимость всё на 4 имплантатах в СПб в КДС в СПб

Что входит в имплантацию All‑on‑4?

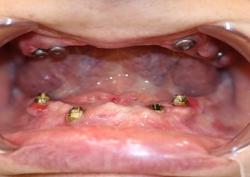
  • Консультация врача и 3D‑диагностика (КТ, цифровые слепки).
  • Подбор имплантов и точное планирование по хирургическим шаблонам.
  • Установка 4 имплантов на челюсть, изготовление и фиксация временного протеза.

Почему пациенты выбирают КДС?

  • Используем сертифицированные системы: Nobel, Straumann, Osstem, Astra Tech.
  • Восстановление всей челюсти — за один визит.
  • Без костной пластики даже при атрофии кости.

Варианты имплантации «Всё на 4»

Дентальная имплантация сегодня — это не просто замена утраченного зуба искусственным корнем. Это продуманный комплекс решений, в котором каждая деталь подбирается индивидуально: от оценки качества костной ткани и количества отсутствующих зубов — до учёта общего состояния полости рта.

В клинике мы используем как классические методики имплантации, так и новейшие протоколы с немедленной нагрузкой. Но именно All-on-4 часто становится оптимальным решением для пациентов, которые хотят в кратчайшие сроки вернуть уверенность в улыбке и комфорт в повседневной жизни.

Имплантация All‑on‑4 на Nobel Biocare

Имплантация All‑on‑4 на Nobel Biocare - Клиника Доброго Стоматолога

Это метод, при котором все зубы на челюсти восстанавливаются с опорой на 4 импланта Nobel. Эти импланты имеют особую форму и поверхность, обеспечивающую стабильность даже при ограниченном объёме кости. Временный протез устанавливается в день операции или на следующий, а спустя 3–6 месяцев — постоянный.

Подходит, если:

  • требуется быстрая и надёжная реабилитация без наращивания кости;
  • вы хотите использовать оригинальную систему, разработанную под All‑on‑4;
  • важны долговечность, эстетика и минимальные риски.

Преимущества:

  • высокая приживаемость и первичная стабильность;
  • точная адаптация под челюсть;
  • долговечность — от 20 лет и выше;
  • подходит даже для сложных случаев с выраженной атрофией.

Особенности:

Оригинальная шведская система, с которой и был разработан протокол All‑on‑4. Подходит для пациентов, которые хотят надёжный и проверенный результат с минимальной нагрузкой на организм.

Имплантация All‑on‑4 на Nobel Speedy Groovy

Имплантация All‑on‑4 на Nobel Speedy Groovy - Клиника Доброго Стоматолога

Имплантация All‑on‑4 на Nobel Speedy Groovy

Это импланты с уникальной резьбой и формой, которые обеспечивают отличную фиксацию даже в мягкой кости. Благодаря высокой первичной стабильности, можно сразу установить временный протез и не ждать месяцами. Постоянный протез фиксируется через 3–6 месяцев.

Подходит, если:

  • костная ткань снижена, но вы хотите избежать костной пластики;
  • требуется немедленная нагрузка;
  • нужен предсказуемый результат в короткие сроки.

Преимущества:

  • импланты «захватывают» кость и обеспечивают плотное удержание;
  • высокая надёжность при установке под углом;
  • идеальны для All‑on‑4 с немедленной нагрузкой;
  • комфортная реабилитация и быстрая адаптация.

Особенности:

Speedy Groovy — это особая модель Nobel, разработанная для протокола All‑on‑4. Позволяет безопасно и точно устанавливать импланты даже в сложных анатомических условиях.

Имплантация All‑on‑4 за 4 приёма

  1. Диагностика и подготовка
  2. Установка имплантов
  3. Фиксация временного протеза
  4. Установка постоянного протеза
1 приём 1,5 часа

Диагностика и подготовка

  • Осмотр и консультация имплантолога.
  • Компьютерная томография (КТ).
  • Снятие цифровых слепков.
  • Подбор системы имплантов и создание 3D-плана операции.
  • Определение цвета и формы будущего протеза.
  • После приёма вы точно знаете, сколько будет стоить лечение и как оно пройдёт.
diagnostika-i-podgotovka
2 приём 2-3 часа

Установка имплантов

  • Установка 4 имплантов в челюсть.
  • Операция проводится с использованием хирургических шаблонов.
  • Щадящая техника и комфортная анестезия.
  • Подготовка к протезированию.
  • Операция проходит быстро и с минимальной нагрузкой на организм.
ustanovka-implantov
3 приём 30–60 минут

Фиксация временного протеза (в день операции или на следующий день)

  • Установка временного несъёмного протеза.
  • Коррекция прикуса и проверка удобства.
  • Рекомендации по уходу и приёму пищи.
  • Вы получаете функциональные зубы сразу после имплантации — без долгого ожидания.
fiksaciya-vremennogo-proteza
4 приём 1 час

Установка постоянного протеза

  • Замена временной конструкции на постоянную.
  • Точная подгонка по прикусу, цвету и эстетике.
  • Проверка приживления имплантов.
  • Итоговые рекомендации и контроль.
  • Полноценные зубы, которые выглядят естественно и служат долго.
ustanovka-postoyannogo-proteza

Плюсы имплантации All‑on‑4

Комфорт с первого визита

  • Вас сопровождает администратор, оформляются все документы, при необходимости сразу проводится КТ и консультация хирурга. Не нужно искать специалистов по отдельности — всё в одном месте.
  • Чёткий план лечения и пошаговое объяснение этапов.
  • Врач сразу оценивает возможность установки по протоколу All‑on‑4, объясняет альтернативы и прогноз результата. Вы заранее знаете сроки, количество визитов и цену.

Что ещё важно?

  • Устанавливаем временный протез сразу или на следующий день после операции — без длительного ожидания.
  • Применяем цифровое планирование и хирургические шаблоны для высокой точности.
  • Используем оригинальные системы Nobel и другие проверенные бренды.
  • Работаем строго по протоколу All‑on‑4 — быстро, безопасно, с минимальной травматичностью.

Перечислим основные показания для имплантации All‑on‑4:

Полное отсутствие зубов (адентия)

Метод подходит для восстановления всей челюсти при полной утрате зубов. Позволяет установить несъёмный протез на 4 импланта без костной пластики — быстро и надёжно.

Подвижность и разрушение зубов

Когда зубы подлежат удалению из-за пародонтита, сильного кариеса или травм — All‑on‑4 позволяет провести удаление и имплантацию за 1 визит, без временного протеза.

Недостаточный объём костной ткани

Метод особенно эффективен при выраженной атрофии челюсти, так как позволяет избежать наращивания кости за счёт наклонной установки задних имплантов.

Плюсы имплантации All‑on‑4 - КДС
Имплантация All-on-4 в КДС

Запишитесь по телефону и получите консультацию от ведущих специалистов

Позвонить в клинику
Запишитесь по телефону и получите консультацию от ведущих специалистов КДС

Какие импланты и протезы мы используем при All-on-4

Мы подбираем импланты и протезы индивидуально — с учётом состояния костной ткани, прикуса, эстетических задач и бюджета пациента. 

Для одних достаточно установить один имплант с коронкой, для других — нужна полная реабилитация челюсти с несъёмным протезом на имплантах. Во всех случаях мы используем только проверенные мировые бренды и современные технологии.

Импланты

Nobel Biocare

Импланты отличаются по форме, материалу, покрытию и конструкции резьбы. Некоторые системы лучше приживаются при дефиците кости, другие подходят для мгновенной нагрузки. В нашей практике применяются импланты:

  • Nobel Biocare

Признанный лидер в имплантологии с гарантией качества и долговечности.

  • Nobel Speedy Groovy

Линейка имплантов Nobel Biocare с особой резьбой для сверхбыстрого и надёжного приживления даже в сложных клинических случаях.

Протезы

All-on-4

Для восстановления жевательной функции и эстетики мы изготавливаем несъёмные протезы, опирающиеся на импланты. Материал и конструкция подбираются индивидуально:

  • Протезы на титановом основании с композитным или акриловым облицовыванием

Надёжные и лёгкие, устойчивые к нагрузкам — идеальный вариант для протоколов All-on-4 и All-on-6.

  • Протезы с циркониевым каркасом

Максимальная прочность и высокая эстетика. Применяются при необходимости добиться безупречного внешнего вида и отличной функциональности.

Почему это важно

Мы используем только оригинальные импланты с официальной гарантией от производителей. Каждый пациент получает паспорт на установленную систему — это необходимо для контроля и возможных повторных вмешательств в будущем.

Наша собственная лаборатория и команда ортопедов работают в тесной связке, обеспечивая точную посадку протезов, естественную улыбку и правильное распределение жевательной нагрузки. Все конструкции проектируются в цифровом формате с учётом анатомии и прикуса пациента. В сложных случаях мы применяем 3D-моделирование и печать хирургических шаблонов для максимально точной установки имплантов.

Показания и противопоказания

All-on-4 — это современный протокол имплантации, при котором весь зубной ряд восстанавливается всего на четырёх имплантах. Включает диагностику, планирование, установку имплантов и фиксацию несъёмного протеза, позволяя сразу вернуть полноценную улыбку и жевательную функцию.

Совет врача когда необходима имплантация All-on-4

Когда необходима имплантация All-on-4

Показания

  • Полная или почти полная потеря зубов на верхней и/или нижней челюсти.
  • Значительное истончение или резорбция костной ткани, при которой классическая имплантация требует костной пластики.
  • Наличие съёмных протезов, вызывающих дискомфорт или неудобства.
  • Желание пациента получить быстрое и надёжное восстановление жевательной функции и эстетики без длительного ношения временных конструкций.
  • Хорошее общее состояние здоровья, позволяющее пройти хирургическое вмешательство.
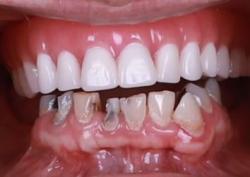
временный протез

Противопоказания

  • Острые воспалительные заболевания в области предполагаемой имплантации.
  • Серьёзные системные заболевания в стадии декомпенсации.
  • Заболевания костной ткани, влияющие на приживление имплантов.
  • Нарушения свертываемости крови или приём препаратов, влияющих на кровотечение.
  • Беременность и период лактации (оперативное вмешательство откладывается).
  • Психические расстройства или зависимость.
  • Курение в больших количествах.

Имплантация по методу All-on-4 — эффективный способ восстановления зубного ряда

Благодаря минимальному количеству имплантов и возможности обходиться без костной пластики, этот метод позволяет быстро вернуть функциональность и эстетику улыбки. 

Важно учитывать противопоказания, чтобы минимизировать риски и обеспечить надёжное приживление имплантов. Наши специалисты проводят всестороннее обследование и составляют индивидуальный план лечения, чтобы гарантировать максимально комфортный и безопасный результат для каждого пациента.

Преимущества и недостатки

Перед тем как выбрать имплантацию All-on-4, важно понимать, какие преимущества она даёт по сравнению с другими методами восстановления зубного ряда — и что важно заранее обсудить с врачом.

Преимущества

  • Отсутствие необходимости костной пластики: импланты устанавливаются под углом, что позволяет обходиться без наращивания костной ткани даже при её дефиците.
  • Быстрое восстановление: установка временного несъёмного протеза в день операции или в короткие сроки.
  • Высокая стабильность и долговечность: импланты обеспечивают прочную опору для протезов, восстанавливая жевательную функцию.
  • Улучшение эстетики и качества жизни: пациент получает красивую улыбку и возможность полноценно питаться.
  • Экономия времени и средств: в сравнении с классической имплантацией с костной пластикой и множественными этапами.

Ограничения

  • Ограничения по показаниям: метод подходит не всем, например, при крайне сложных анатомических условиях или тяжёлых системных заболеваниях.
  • Риск перегрузки имплантов: при неправильной нагрузке возможны осложнения, поэтому важно точное планирование и грамотное изготовление протеза.
  • Не всегда возможно использовать для верхней челюсти: из-за особенностей строения может потребоваться иное решение.
  • Временные ограничения по уходу: первые месяцы после операции требуется бережный режим и соблюдение рекомендаций врача.
  • Возможность осложнений: как и при любой хирургической процедуре, существует риск воспаления, отторжения имплантов, хотя при грамотном подходе он минимален.

Несмотря на некоторые ограничения и риски, метод All-on-4 остаётся одним из самых востребованных и эффективных способов комплексной имплантации. При правильном подходе и профессиональном исполнении он обеспечивает долговременный результат и значительно улучшает качество жизни пациентов. Наши специалисты готовы помочь вам на каждом этапе лечения — от консультации до полной реабилитации.

Совет врача:

Имплантация All-on-4 — отличное решение для восстановления зубов при значительной их потере. Но чтобы добиться устойчивого результата и избежать осложнений, важно внимательно относиться к подготовке и соблюдению рекомендаций врача.

Перед операцией обязательно пройдите полное обследование и лечите все воспалительные процессы в полости рта. После установки имплантов уделяйте особое внимание гигиене и регулярно посещайте специалиста для контроля приживления.

Не забывайте, что успех лечения во многом зависит от вашего ответственного отношения и своевременной профессиональной поддержки.

Совет врача Кобалия Васо Мерабович - Клиника Доброго Стоматолога

Кобалия Васо Мерабович

стоматолог-хирург, имплантолог

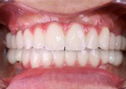
Примеры работ тотальной имплантации

Ежедневно мы восстанавливаем улыбку и уверенность в себе 5–7 пациентам.

Гарантии в Клинике Доброго Стоматолога

Работаем строго по договору, соблюдаем все условия, гарантируем результат лечения и выдаем чеки на всю сумму.

Гарантия до 100 лет

На импланты от производителя

Сервисное 
обслуживание до 2-х лет

На работу врача

Сервисное 
обслуживание до 2-х лет

На коронки и протезы

Гарантия честной цены

Стоимость указана в договоре

При имплантации по протоколу All-on-4 используются только оригинальные импланты с пожизненной гарантией производителя. Каждый имплант имеет сертификат подлинности и соответствует международным стандартам качества.

Гарантии в Клинике Доброго Стоматолога
Консультация – первый шаг на пути к решению проблем с зубами!

Консультация – первый шаг на пути к решению проблем с зубами!

Звоните:

+7 (812) 220-28-24

Наши врачи-ортопеды и имплантологи

Подобрали для вас опытных специалистов с многолетней практикой и высоким уровнем квалификации. Мы доверяем здоровье наших пациентов только тем, кто работает с полной отдачей и владеет современными методами восстановления зубов.

Почему нам доверяют

  • Врачи с опытом от 15 лет и постоянным обучением.
  • Работаем по международным протоколам лечения.
  • Используем индивидуальный подход к каждому случаю.
  • Сопровождаем пациента на всех этапах восстановления.
  • Высокий процент успешной приживаемости имплантов.

Работаем с учётом особенностей

Каждое лечение начинается с подробной диагностики, после чего врач составляет персональный план с учётом анатомии, состояния полости рта и пожеланий пациента.

Изготовление проводим в цифровой зуботехнической лаборатории. Каждый этап контролируется с высокой точностью — от 3D-диагностики до установки коронки.

Современные технологии — точный результат
  1. Диагностика и 3D-снимок.
  2. Разработка точного плана.
  3. Установка импланта.
  4. Фиксация временной/постоянной коронки.
  5. Надёжно и комфортно.
Врачи работают по международным протоколам, регулярно проходят обучение и сопровождают пациента от консультации до полного восстановления

Гарантируем результат и качество.

Конищев Виталий Константинович челюстно-лицевой хирург, стоматолог-имплантолог - КДС

Конищев Виталий Константинович

челюстно-лицевой хирург, стоматолог-имплантолог

Прием по адресу:

Коломяжский проспект, 20

пр.Народного Ополчения, 10

Кобалия Васо Мерабович стоматолог-хирург, имплантолог - КДС

Кобалия Васо Мерабович

стоматолог-хирург, имплантолог

Прием по адресу:

ул.Коллонтай, 17 к.2

Окунев Павел Юрьевич старший стоматолог-ортопед, врач высшей категории - КДС

Окунев Павел Юрьевич

старший стоматолог-ортопед, врач высшей категории

Прием по адресу:

Коломяжский проспект, 20

пр.Народного Ополчения, 10

Смотреть всех врачей

Имплантация All-on-4: восстановление зубного ряда

Минимальное вмешательство при высоком результате.

Подходит пациентам с недостаточным объёмом кости.

Универсальность метода.

Рекомендации после имплантации All-on-4

Рекомендации врача Конищев Виталий Константинович - Клиника Доброго Стоматолога

Важно понимать, что импланты требуют бережного отношения и регулярного контроля. Только совместные усилия врача и пациента обеспечивают долговечность и комфорт протезирования.

стаж 20 лет

Конищев Виталий Константинович

челюстно-лицевой хирург, стоматолог-имплантолог

0 1

Соблюдайте гигиену полости рта

 Регулярно и тщательно чистите зубы, используйте ирригатор и антисептические ополаскиватели по назначению врача.

0 2

Избегайте сильных нагрузок на протезы

 В первые месяцы старайтесь не пережёвывать слишком твёрдую пищу, чтобы не допустить микроподвижек имплантов.

0 3

Посещайте контрольные приёмы

 Регулярные осмотры у врача помогут вовремя выявить и устранить возможные проблемы.

Имплантация All-on-4 под ключ

Имплантация по протоколу All-on-4 — это современный и эффективный способ восстановления зубного ряда при полной адентии (отсутствии всех зубов) всего за один день. Метод позволяет установить несъёмный протез сразу после установки четырёх имплантов, без необходимости длительного ожидания приживления. Благодаря цифровому планированию, проведению КТ и 3D-моделированию, имплантация All-on-4 выполняется быстро, точно и безопасно. Все этапы — от диагностики до фиксации постоянной конструкции — происходят под контролем специалистов в одной клинике.

Почему это удобно и эффективно:

  • Позволяет восстановить полный зубной ряд за 1 день — даже при полной потере зубов.
  • Минимальное количество имплантов — всего 4 на одну челюсть.
  • Протезирование возможно сразу — не нужно ждать 3–6 месяцев.
  • Подходит при выраженной атрофии кости.
  • Один договор, фиксированная стоимость, полный комплекс услуг.

 

Технологичное лечение

Имплантация All-on-4 проводится с применением цифровых протоколов. На этапе подготовки используется 3D-диагностика и компьютерное моделирование будущего протеза. Изготовление временной конструкции проходит в собственной зуботехнической лаборатории.

Преимущества

  1. Достаточно 4-х имплантов для восстановления всей челюсти — это снижает травматичность, риск осложнений и общую стоимость.
  2. Импланты устанавливаются под углом, что позволяет обойтись без костной пластики.
  3. Временная конструкция фиксируется в этот же день или на следующий — пациент уходит из клиники с новыми зубами и может полноценно жевать и улыбаться.
  4. Подходит при полном отсутствии зубов, после неудачного протезирования, при возрастных изменениях и хронических заболеваниях (сахарный диабет, остеопороз и др.).

Имплантация All-on-4 на одну челюсть

Современное решение для полной замены зубов без костной пластики. Быстрое восстановление жевательной функции и эстетики.

All-on-4 при полной адентии

Идеальный выбор при полном отсутствии зубов. Протезирование на 4 имплантах обеспечивает надёжную фиксацию, естественный внешний вид и комфорт.

Цифровое планирование и 3D-моделирование

Перед установкой имплантов проводится тщательная диагностика, моделирование прикуса и будущей улыбки, что повышает точность и предсказуемость результата.

Имплантация All-on-4 под ключ - КДС

Каждый случай восстановления зубов по методике All-on-4 индивидуален. Лечение начинается с консультации хирурга-имплантолога и комплексного обследования. Уже в день установки имплантов вы получаете несъёмный протез, который возвращает вам уверенность, эстетику и привычный образ жизни.

Отзывы о Клинике Доброго Стоматолога на независимых площадках

Вопросы и ответы

0 1

Сколько времени занимает установка имплантов по протоколу All-on-4?

Сама операция занимает около 2–3 часов на одну челюсть. В большинстве случаев в этот же день или в ближайшие дни устанавливается временный несъёмный протез.

0 2

Нужно ли наращивать кость перед имплантацией?

Как правило, нет. Метод All-on-4 разработан специально для случаев с дефицитом костной ткани. Импланты устанавливаются под углом, что позволяет обойтись без костной пластики.

0 3

Больно ли это?

Операция проводится под местной анестезией, при необходимости с применением седации. После установки возможен лёгкий дискомфорт, но он обычно легко купируется обезболивающими и проходит в течение нескольких дней.

0 4

Насколько прочны такие протезы?

Несъёмные протезы на имплантах выдерживают полноценную жевательную нагрузку. Мы используем надёжные материалы — титан, цирконий, композит — с высокой прочностью и эстетикой.

0 5

Как ухаживать за протезами на имплантах?

Важно соблюдать ежедневную гигиену: чистить зубы 2 раза в день, использовать ирригатор и антисептики. Также рекомендуются регулярные профосмотры и профессиональная гигиена в клинике 2 раза в год.

0 6

Как долго служат импланты и протезы?

Импланты при правильном уходе служат 15–20 лет и дольше. Протезы могут потребовать замены или коррекции через 7–10 лет в зависимости от материала и условий эксплуатации.

Европейское качество по разумной цене!

Коломяжский проспект, 20

+7 (812) 426-00-01

с 09:00 до 21:00

без выходных

ул.Коллонтай, 17 к.2

+7 (812) 426-00-02

с 09:00 до 21:00

без выходных

пр.Народного Ополчения, 10

+7 (812) 426-00-03

с 09:00 до 21:00

без выходных

Телефон: +7 (812) 426-00-00

E-mail: ask@kdc-spb.ru

Контакты Клиники Доброго Стоматолога
Стоимость
Название услуги
Стоимость, Р
Лечение кариеса пломбированием светоотверждаемым композитом, 1 поверхности
от 8500
Лечение кариеса пломбированием светоотверждаемым композитом, 2 поверхности
от 11000
Лечение кариеса пломбированием светоотверждаемым композитом, 3 поверхности
от 14000
Лечение кариеса в стадии пятна методом Icon
от 5500
Лечение клиновидного дефекта, путем пломбирования светоотверждаемым композитом
от 7000
Лечение корневых каналов (пульпит, периодонтит) - в зависимости от количества каналов и посещений
от 15000 до 45000
Название услуги
Стоимость, Р
Консультация стоматолога-ортопеда
2000
Коронка металлокерамическая
от 40000
Коронка из диоксида циркония
от 47000
Коронка керамическая, винир
от 47000
Вкладка внутрикорневая
от 4500
Временная коронка
от 5000
Временная коронка на имплантате
от 9000
Коронка металлокерамическая на имплантате
от 50000
Коронка из диоксида циркония на имплантате
от 56000
Частичный съемный протез
от 40000
Полный съемный протез
от 70000
Бюгельный съемный протез
от 130000
Нейлоновый (гибкий) протез
от 95000
Название услуги
Стоимость, Р
Консультация детского терапевта
2000
Повторный осмотр стоматолога- специалиста по детской стоматологии
1000
Лечение молочных зубов
Лечение кариеса молочного зуба
от 6000
Лечение пульпита молочного зуба
от 12000
Герметизация фиссур молочного зуба
2500
Лечение постоянных зубов
Лечение кариеса постоянного зуба
от 8500
Лечение пульпита постоянного зуба
от 12500
Герметизация фиссур постоянного зуба
3500
Подростковое протезирование (коронка)
от 23000
Профилактика
Профессиональная гигиена полости рта с ремотерапией
5200
Детская хирургия
Удаление молочного зуба
5000
Удаление подвижного зуба
1800
Название услуги
Стоимость, Р
Кабинетное аппаратное отбеливание
36000
Название услуги
Стоимость, Р
Консультация стоматолога-хирурга, хирурга имплантолога
2000
Имплантация зубов
Хирургическое лечение путем проведения операции имплантации ("OSSTEM")
от 45000
Хирургическое лечение путем проведения операции имплантации ("Nobel")
от 62000
Хирургическое лечение путем проведения операции имплантации ("ASTRA")
от 60000
Хирургическое лечение путем проведения операции имплантации ("Straumann")
от 62000
Хирургическое лечение путем проведения операции имплантации ("Nobel Speedy groovy")
от 79000(для All-on-4)
Удаление зубов
Удаление зуба простое
от 6500
Удаление зуба сложное
от 8500
Удаление ретинированного зуба
от 10000
Травма
Первичный прием врача специалиста по травме
1200
Повторный прием врача специалиста по травме, контрольный осмотр после травмы (входит фриз тест)
1000
Фиксация отломка зуба при травме
6500
Фиксация отломка и работа с пульпой
9500
Восстановление скола зуба, если нет отломка
8500
Лечение вывиха зуба
от 7000
Название услуги
Стоимость, Р
Профессиональная гигиена с покрытием фторсодержащего препарата
8450
Профессиональная гигиена без покрытия фторсодержащего препарата
7200
Профессиональная гигиена с покрытием фторсодержащего препарата
8450
5200
по адресу пр. Н.Ополчения
С покрытием или без покрытия, решение принимает специалист.
Если пациенту необходима чистка менее 10 зубов, то счет выставляется по количеству зубов.
Название услуги
Стоимость, Р
Консультация ортодонта
2000
Ортодонтические лечение пациентов в постоянном прикусе
Диагностическое обследование с составлением плана лечения (ортодонтические аппаратики)
17500
Диагностическое обследование с составлением плана лечения (брекет-система)
от18500 до 25000
Фиксация металлической самолигирующей брекет – системы H4, Pitts21 - 1 челюсть
75000
Фиксация керамической брекет – системе Clear21 - 1 челюсть
95000
Фиксация металлической брекет – системы Mini Diamond, BioMim - 1 челюсть
60000
Фиксация керамической брекет – системе Symetri - 1 челюсть
85000
Активация вестибулярной брекет-системы (1 челюсть)
3500-4500
Функциональная диагностика заболеваний ВНЧС (аксиография оптическая)
35000
Программа "Здоровые зубы, красивая улыбка"(H4, Pitts21 – метал, самолигирующая) - 2 челюсти
350000
Беспроцентная рассрочка на 16 месяцев
Программа "Здоровые зубы, красивая улыбка"(металл + керам., самолигирующая) - 2 челюсти
420000
Беспроцентная рассрочка на 16 месяцев
Программа "Здоровые зубы, красивая улыбка"(метал) - 2 челюсти
320000
Беспроцентная рассрочка на 16 месяцев
Программа "Здоровые зубы, красивая улыбка" (металл + керам.) - 2 челюсти
380000
Беспроцентная рассрочка на 16 месяцев
Ортодонтические лечение пациентов в сменном прикусе
Изготовление и припасовка одночелюстного аппарата
26500
Изготовление и припасовка двучелюстного аппарата
35200
Окклюзионные накладки для коррекции роста ЧЛО
18000
Фиксация металлической брекет – системы 2*4 – 1 челюсть
35200
Активация брекет-системы 2*4 – 1 челюсть
2200
Лечение и изготовление на одном аппарате (1 степень сложности)
95000
Лечение и изготовление на двух аппаратах (2 степень сложности)
120000
Лечение и изготовление на трех аппаратах (3 степень сложности)
150000
Название услуги
Стоимость, Р
Компьютерная диагностика
500
Компьютерная диагностика с распечаткой
550
Ортопантомограмма
1500
Трехмерное рентгенологическое исследование ортодонтическое
5000
Трехмерное рентгенологическое исследования одной челюсти
2900
Трехмерное рентгенологическое исследования двух челюстей
3600
Название услуги
Стоимость, Р
Общая анестезия, за каждый час работы
16500
Название услуги
Стоимость, Р
Консультация стоматолога-пародонтолога
2000
Пластика уздечки
от 7500
Вскрытие пародонтального абсцесса
от 3000
Гингивэктомия
от 3000
Лоскутная операция
от 15000
Кюретаж (в области 1 зуба)
от 5500
Пластика десны
от 7000
Удлинение коронковой части зуба
от 8500
* Указанные на сайте цены не являются публичной офертой. Определить точную стоимость лечения возможно только на приеме у врача. Цены на услуги ведущих специалистов клиник отличаются от цен, указанных на сайте.