В начале встречи врачи уточняют, что именно беспокоит пациента. Обсуждают жалобы и симптомы, ранее проведенное лечение. Исследуют хронические заболевания, учитывают, какие препараты принимает пациент. Это помогает понять общую клиническую картину.



Клинические ситуации бывают разными. В части случаев обычной консультации стоматолога для лечения недостаточно. Так бывает, например, если случай нестандартный или если лечение с самого начала требует комплексного и междисциплинарного подхода (как в случае с имплантацией или протезированием).
В таких ситуациях показана совместная консультация нескольких врачей — консилиум. Его задача — рассмотреть задачу с разных сторон, определить оптимальную тактику вмешательства.
Речь идет о совместной консультации стоматологов нескольких профилей. В консилиуме участвуют разные специалисты, например:
Такой формат особенно полезен в сложных случаях, когда лечение требует участия нескольких специалистов.
Основные показания для проведения консилиума обычно следующие.
Сложные клинические случаи. Консилиум показан, если проблема затрагивает несколько областей стоматологии. Например, когда требуется последовательное лечение зубов, восстановление прикуса и протезирование.
Потеря нескольких или всех зубов. Если нет множества или всех зубов — нужна консультация нескольких специалистов: имплантолога, ортопеда и хирурга. Все для планирования комплексного восстановления зубного ряда.
Подготовка к имплантации или протезированию. Перед лечением необходимо оценить состояние костной ткани, десен. Также прикуса и, в некоторых случаях — опорных зубов. Консультация поможет определить оптимальную стратегию вмешательства.
Нарушение прикуса и положения зубов. В таком случае нужно ортодонтическое лечение и, нередко, восстановление зубов.
Повторное лечение, когда были осложнения. Консилиум нужен, если проведенное лечение не дало ожидаемого результата или же возникли непредвиденные последствия.
Эстетическая помощь. Когда основная задача — вернуть красоту улыбки.
Консилиум нужен далеко не всегда. В типичных случаях совместная консультация избыточна. Когда же консилиум не нужен.
Если проблемы типичные. Кариес, чувствительность зубов и прочие типичные нарушения относятся к сфере ответственности терапевта.
Если нужно вылечить один зуб и ситуация достаточно простая. Чаще всего обсуждать вопрос с другими специалистами не требуется (хотя бывают исключения).
Если пациент приходит на профилактический осмотр. Консилиум проводится только при наличии сложных клинических задач. Профосмотры в эту категорию обычно не входят.
Если нужны другие стандартные процедуры:
Консилиум требуется, если задача междисциплинарная, непростая. В каждом случае решение о том, проводить его или нет, принимают персонально.
В консилиуме могут участвовать разные специалисты. Чье мнение нужно — зависит от конкретной клинической ситуации.
Терапевт оценивает состояние ротовой пациента. Он выявляет заболевания десен и зубов, которые нужно вылечить до более сложного лечения.
Если говорить про основные задачи врача подробнее — они такие:
Также лечение зубов перед протезированием или имплантацией.
Ортопед восстанавливает отдельные зубы и зубной ряд в целом. Он отвечает за этап лечения после завершения терапевтической и хирургической коррекции.
В рамках консилиума специалист решает несколько задач:
Ортопед также отвечает за эстетику улыбки.
Хирург изучает, нужно ли оперативное вмешательство, также планирует оперативный этап лечения.
Основные задачи врача:
Хирург помогает правильно спланировать оперативный этап.
Ортодонт исправляет прикус и положение зубов. Его участие важно, если проблемы с прикусом могут повлиять на дальнейшее лечение.
В рамках консилиума ортодонт решает свои задачи:
Участие ортодонта требуется в значительном числе случаев.
Эндодонт занимается лечением корневых каналов и глубоких структур зуба. Это не всегда отдельный специалист, часто им становится стоматолог-терапевт или хирург с дополнительной подготовкой.
Эндодонт помогает решить вопрос, можно ли сохранить зуб. Основные задачи специалиста:
Нередко именно эндодонтическое лечение позволяет сохранить зуб без удаления.
Имплантолог отвечает за восстановление утраченных зубов с помощью имплантов. Специалист оценивает:
Далее он определяет возможность установки имплантов, выбирает подходящий протокол лечения.
В рамках консилиума имплантолог выполняет свою роль:
Имплантолог делает лечение прогнозируемыми и непредсказуемыми
Пародонтолог лечит заболевания десен и пародонта. Основные задачи специалиста:
Также профилактика осложнений.
В консилиуме могут участвовать и другие специалисты — все зависит от ситуации. Участие нескольких специалистов позволяет более точно оценить состояние пациента. Без этого невозможно разработать комплексный план лечения.
Другие специалисты, которые могут участвовать в консилиуме, это:
Какие специалисты необходимы — зависит от ситуации. Единого перечня нет.
Специальной подготовки к консилиуму стоматологов обычно не требуется, однако, чтобы сделать консультацию более информативной — рекомендуется следовать нескольким простым правилам.
Подготовьте результаты обследований. Если вы уже проходили обследования, желательно взять результаты с собой. Это могут быть:
Подробная информация помогает специалистам быстрее оценить ситуацию.
Составьте список жалоб и вопросов. Полезно заранее подумать о том, что именно вас беспокоит. Также можно подготовить вопросы о возможных вариантах лечения и сроках восстановления.
Сообщите врачам о состоянии здоровья. Имеет значение все: хронические болезни, препараты, которые вы принимаете и т.д.
Проведите гигиену полости рта. Перед визитом желательно почистить зубы. Это облегчит осмотр и позволит врачам более точно оценить состояние зубов и десен.
В начале встречи врачи уточняют, что именно беспокоит пациента. Обсуждают жалобы и симптомы, ранее проведенное лечение. Исследуют хронические заболевания, учитывают, какие препараты принимает пациент. Это помогает понять общую клиническую картину.
Далее проводится клинический осмотр. Врачи оценивают состояние зубов и десен, количество разрушенных зубов. Осматривают старые пломбы, коронки, протезы. Также исследуют особенности прикуса. Каждый специалист обращает внимание на те аспекты, которые относятся к его сфере компетенции.
Если есть результаты исследований — их подробно изучают. Врачи обсуждают состояние костной ткани, корней зубов и мягких тканей. Если диагностику пациент еще не проходил — врачи назначают конкретные исследования.
Специалисты обсуждают возможные методы лечения. Часто есть сразу несколько вариантов восстановления зубов, каждый из них рассматривают с точки зрения эффективности и долговечности.
В завершение консилиума формируется единый план лечения. Врачи определяют последовательность этапов лечения, роль и объем участия каждого специалиста. Также специалисты называют примерные сроки лечения.
Консилиум помогает добиться нескольких результатов.
Когда вы не знаете, нужен ли вам консилиум — запишитесь к стоматологу-терапевту. Врач оценит ситуацию. Если совместное обсуждение вопроса действительно нужно — стоматолог скажет об этом прямо. Подскажет, как действовать дальше.
Стоматолог-терапевт
Пациент:
Ирина, 29 лет
Жалобы пациента:
повышенная чувствительность к холодному, потемнение на жевательной поверхности зуба.
Что делали:
Результат:
зуб полностью восстановлен, исчезла чувствительность, эстетика и жевательная функция сохранены.
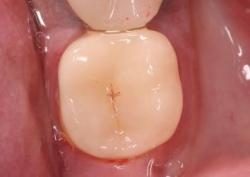
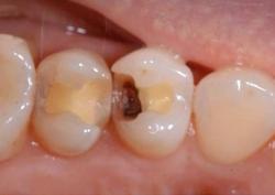
Пациент:
Алексей, 42 года
Жалобы пациента:
сильная пульсирующая боль в верхнем моляре, которая усиливалась ночью.
Что делали:
Результат:
боль полностью устранена, зуб сохранён, риск повторного воспаления минимизирован.
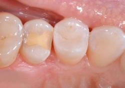
Пациент:
Мария, 35 лет
Жалобы пациента:
скол на переднем зубе после удара, нарушена форма и эстетика зубного ряда.
Что делали:
Результат:
зуб полностью восстановлен, форма и цвет естественные, эстетика улыбки возвращена.
В клинике «КДС» консилиум проводится с участием специалистов разных направлений. Врачи нашей клиники оценивают клиническую ситуацию максимально подробно, разрабатывают согласованный план лечения.
Стоматологи клиники имеют опыт комплексного лечения пациентов с различными проблемами. Берутся даже за самые сложные случаи: от коррекции отдельных зубов до полного восстановления зубного ряда.
Преимущества консультации у нас:
Чтобы задать вопросы или записаться к врачам — позвоните по телефону, который указан на сайте.
Стоматолог-терапевт, детский стоматолог
пр.Народного Ополчения, 10
Стоматолог-терапевт, детский стоматолог
ул.Коллонтай, 17 к.2
Этичный медицинский подход. Используем только те технологии и методики лечения, которые предложили бы своим близким.
Опытные врачи. Ваше здоровье в надёжных руках специалистов, которые не только постоянно повышают квалификацию, но и обучают коллег.
Прозрачные условия. Фиксированная стоимость лечения и понятная этапность без скрытых доплат.
Екатерина
+7-910-8ХХ-ХХ-ХХ
Долго искала клинику, где можно одновременно решить все проблемы с зубами — и кариес, и протезирование. В КДС составили полный план лечения, объяснили каждый шаг, а врачи сделали всё максимально комфортно. Здесь чувствуешь себя в надёжных руках.
Алексей
+7-917-5ХХ-ХХ-ХХ
Мне проводили имплантацию и протезирование «всё на 4». Сначала было страшно, но команда хирургов и ортопедов всё объяснила и оказала моральную поддержку. Результат превзошёл ожидания — чувствую себя прекрасно с новой улыбкой.
Марина
+7-916-8ХХ-ХХ-ХХ
Привела ребёнка на ортодонтическое лечение. Очень боялась, что будет трудно его убедить в необходимости установки брекетов, но врачи нашли индивидуальный подход: объясняли всё по шагам, использовали современные методы адаптации детей к осмотру. Сейчас сын спокойно носит брекеты, посещает приемы, а результат уже виден!
Сергей
+7-910-4ХХ-ХХ-ХХ
Долго откладывал лечение дисфункции височно-нижнечелюстного сустава, пока не обратился в КДС. В клинике провели комплексную диагностику, сделали сплинты, ортопедическую подготовку и протезирование. После курса лечения исчезли боли и щелчки, и я снова могу нормально жевать.
Алина
+7-906-6ХХ-ХХ-ХХ
Хочу поблагодарить команду КДС за профессионализм и честность. Когда предлагались методы, которые могли бы быть сомнительными, врачи честно объяснили риски и предложили лучшее решение. Чувствуется, что заботятся о пациентах, а не просто о доходе.
Иван
+7-915-5ХХ-ХХ-ХХ
Мне удаляли зубы мудрости под седацией. Процедура прошла абсолютно спокойно, а врачи всё объяснили ещё до наркоза. После лечения ни боли, ни неприятных ощущений. Очень удобно, что здесь комплексный подход — сразу делают всё, что нужно, без лишних визитов.