Врач объясняет, что будет происходить, помогает ребенку расслабиться. Адаптация позволяет сократить время на прием и настраивает на правильный лад.



Заболевания зубов и полости рта у детей создают риски для развития всей зубочелюстной системы. Молочные зубы рушатся быстрее, есть вероятность повреждения зачатков постоянных. Неправильный прикус — не менее распространенное нарушение. Он провоцирует целый ряд проблем: нарушения дикции, расстройства жевательной функции. Также он сказывается на развитии всего зубного ряда.
Заболевания полости рта в ранние годы требует ничуть не меньшего внимания по сравнению со взрослым периодом. Если у ребенка имеются проблемы — показана консультация детского стоматолога.
Детский стоматолог помогает диагностировать нарушения, назначает лечение по персональному плану. Также обращаться к нему нужно в рамках профилактических осмотров. Как часто — определит врач. Профилактика столь же важна, как и лечение уже имеющихся нарушений.
Детский стоматолог — это профильный врач. Он обследует пациентов раннего возраста и вплоть до 18 лет, лечит выявленные патологии. Также разрабатывает и реализует меры профилактики. Специалист учитывает не только характер патологии зубочелюстной системы, но и психологию ребенка, потому как многие дети боятся стоматологов. Найти подход к юному пациенту — отдельная и очень непростая задача.
Специалист не только лечит зубы, заболевания ротовой полости. Важная задача, которая стоит перед врачом — сформировать у ребенка спокойное отношение к стоматологу, а также привить правильные привычки ухода за полостью рта.
Детский стоматолог решает группу задач:
Кроме того, стоматолог не только лечит, но и помогает создать необходимый настрой.
Основные показания, при которых ребенка нужно показать детскому стоматологу, следующие:
Обращаться к врачу нужно не только когда есть проблема и жалобы. Консультация показана и тогда, когда жалоб нет — в рамках профилактики:
Ранние визиты важны, они помогают:
Регулярные консультации и профилактические осмотры — залог правильного развития зубочелюстной системы и гармоничной улыбки.
Чаще всего стоматолог выявляет следующие патологические процессы и изменения.
Раннее обнаружение проблем позволяет:
В компетенции детского стоматолога — первичный осмотр и оценка клинической ситуации. Если это нужно, врач назначает дополнительные исследования и направляет к другим, узкопрофильным специалистам.
Подготовка в первую очередь психологическая. Пренебрегать ей нельзя. Во многом именно от первого опыта зависит дальнейший настрой, а также то, будет ли ребенок бояться лечения в будущем.
Есть несколько простых рекомендаций родителям.
Дети чувствуют настроение родителей. Если вы спокойны и уверены, ребенку будет проще адаптироваться.
Врач объясняет, что будет происходить, помогает ребенку расслабиться. Адаптация позволяет сократить время на прием и настраивает на правильный лад.
Если ребенок не может четко рассказать о проблеме — врач опрашивает родителей.
Стоматолог оценивает состояние зубов и десен. Выявляет кариес, налет, изучает особенности прикуса и развития зубов. Все, чтобы оценить суть клинической ситуации.
Ее проводят при необходимости. Врач назначает дополнительные исследования по показаниям, в их числе рентген, КТ и прочие, что требуется по ситуации.
Врач объясняет, есть ли проблемы, и дает советы по уходу, питанию и профилактике. Если нужно лечение — рассказывает, какое именно, какие варианты коррекции существуют. Подсказывает оптимальные решения.
Ребенку показывают, как правильно чистить зубы, в доступной форме.
Первый прием чаще всего проходит без лечения. Это знакомство с врачом и формирование положительного опыта. Если требуется лечение, оно проводится с учетом возраста ребенка. К терапии детские стоматологи подходят максимально бережно.
Методы лечения детский стоматолог подбирает персонально, опирается на клиническую ситуацию и ее особенности. Чаще всего показаны следующие меры.
Современная стоматология использует щадящие подходы:
Лечение молочных зубов так же важно, как и постоянных. Они участвуют в формировании прикуса и удерживают место для будущих зубов. Оставлять проблемы без внимания, полагая, что зубы выпадут и с ними уйдут все проблемы — нельзя. Это неверный и рискованный подход.
Страх перед стоматологом встречается довольно часто. Особенно велики риски, если у ребенка уже был неприятный опыт или он слышал пугающие истории. Игнорировать страх не стоит, с ним нужно работать.
Основная ответственность ложится на родителей. Что можно сделать.
Столь же серьезную роль играет и врач. Он действует по-другому, дополняет помощь родителей. Специалист использует ряд подходов.
Постепенное привыкание, спокойная атмосфера и доверие к врачу помогают сформировать положительный опыт. Это важно не только в моменте, но и для будущего лечения, посещения стоматолога.
Стоимость зависит от нескольких факторов:
Лечение кариеса
7 000 ₽
6 000 ₽
Лечение пульпита
14 000 ₽
13 000 ₽
Итого за всё «под ключ»
3 500 ₽ 2 500 ₽
Лечение кариеса
9 500 ₽
8 500 ₽
Лечение пульпита
13 500 ₽
12 500 ₽
Итого за всё «под ключ»
3 500 ₽ 2 500 ₽
Удаление молочного зуба
6 000 ₽
5 000 ₽
Удаление подвижного зуба
2 000 ₽
1 800 ₽
Итого за всё «под ключ»
2 500 ₽ 2 000 ₽
Игнорировать стоматологические проблемы у ребенка нельзя. Любая патология в ранние годы чревата осложнениями сейчас и в будущем. Если не решить проблемы сразу, многие из них потребуют сложного и длительного лечения в подростковые или взрослые годы. Откладывать визит к врачу или игнорировать нарушения не стоит.
Не стоит пренебрегать и профилактическими осмотрами. Если ничего не беспокоит — это ни о чем не говорит. Многие патологии протекают без симптомов до того момента, пока не разовьются осложнения. Профилактические посещения стоматолога — залог раннего выявления и лечения болезней. Сохранения здоровья ротовой полости, эстетики и правильного развития зубочелюстной системы.
Детский стоматолог
Пациент:
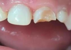
Егор, 7 лет
Жалобы пациента:
скол переднего зуба после падения на улице.
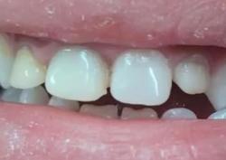
Что делали:
Результат:
зуб восстановлен, эстетика улыбки сохранена, ребёнок чувствует себя уверенно и комфортно.
Пациент:
Алина, 6 лет
Жалобы пациента:
скол на переднем зубе из-за кариеса, чувствительность при еде.
Что делали:
Результат:
зуб восстановлен и выглядит естественно, исчез дискомфорт при еде, проведена профилактика новых кариозных поражений.
Пациент:
Мария, 6 лет
Жалобы пациента:
профилактический осмотр, родители хотели защитить зубы от кариеса.
Что делали:
Результат:
молочные зубы защищены, риск кариеса снижен, ребёнок получил позитивный опыт визита к стоматологу.
Мы учитываем возраст, психологические особенности и состояние здоровья ребёнка, чтобы лечение прошло максимально комфортно.
Используем современные технологии и безопасные материалы, подходящие даже самым маленьким пациентам.
Регулярные осмотры помогают вовремя заметить проблемы и сформировать правильные привычки ухода за зубами.
Мы не только лечим зубы, но и помогаем сохранить их надолго, чтобы ребёнок рос с красивой и здоровой улыбкой.
В клинике «КДС» особое внимание уделяем качеству и безопасности детского лечения. Все процедуры проводят врачи с опытом работы с детьми под контролем главного врача. Мы используем щадящие методики, сертифицированные материалы и современное оборудование.
Звоните:
В клинике «КДС» в Санкт-Петербурге прием ведут детские стоматологи с большим опытом работы. Наши врачи работают пациентами разного возраста — от малышей до подростков. Специалисты учитывают не только клиническую картину, но и психологические особенности ребенка, умеют выстраивать доверительный контакт, проводят прием в максимально спокойной и дружелюбной атмосфере.
Преимущества консультации в клинике «КДС»:
Чтобы узнать больше или записаться на консультацию — обратитесь по номеру нашей клиники в СПб. Номер указан на сайте.
Стоматолог-терапевт, детский стоматолог
пр.Народного Ополчения, 10
Этичный медицинский подход. Используем только те технологии и методики лечения, которые предложили бы своим близким.
Опытные врачи. Ваше здоровье в надёжных руках специалистов, которые не только постоянно повышают квалификацию, но и обучают коллег.
Прозрачные условия. Фиксированная стоимость лечения и понятная этапность без скрытых доплат.
Екатерина
+7-910-8ХХ-ХХ-ХХ
Долго искала клинику, где можно одновременно решить все проблемы с зубами — и кариес, и протезирование. В КДС составили полный план лечения, объяснили каждый шаг, а врачи сделали всё максимально комфортно. Здесь чувствуешь себя в надёжных руках.
Алексей
+7-917-5ХХ-ХХ-ХХ
Мне проводили имплантацию и протезирование «всё на 4». Сначала было страшно, но команда хирургов и ортопедов всё объяснила и оказала моральную поддержку. Результат превзошёл ожидания — чувствую себя прекрасно с новой улыбкой.
Марина
+7-916-8ХХ-ХХ-ХХ
Привела ребёнка на ортодонтическое лечение. Очень боялась, что будет трудно его убедить в необходимости установки брекетов, но врачи нашли индивидуальный подход: объясняли всё по шагам, использовали современные методы адаптации детей к осмотру. Сейчас сын спокойно носит брекеты, посещает приемы, а результат уже виден!
Сергей
+7-910-4ХХ-ХХ-ХХ
Долго откладывал лечение дисфункции височно-нижнечелюстного сустава, пока не обратился в КДС. В клинике провели комплексную диагностику, сделали сплинты, ортопедическую подготовку и протезирование. После курса лечения исчезли боли и щелчки, и я снова могу нормально жевать.
Алина
+7-906-6ХХ-ХХ-ХХ
Хочу поблагодарить команду КДС за профессионализм и честность. Когда предлагались методы, которые могли бы быть сомнительными, врачи честно объяснили риски и предложили лучшее решение. Чувствуется, что заботятся о пациентах, а не просто о доходе.
Иван
+7-915-5ХХ-ХХ-ХХ
Мне удаляли зубы мудрости под седацией. Процедура прошла абсолютно спокойно, а врачи всё объяснили ещё до наркоза. После лечения ни боли, ни неприятных ощущений. Очень удобно, что здесь комплексный подход — сразу делают всё, что нужно, без лишних визитов.