Врач уточняет, что именно не нравится или беспокоит, когда вы заметили изменения, были ли удаления, травмы, ортодонтическое лечение в прошлом. Также спрашивает про привычки, которые влияют на прикус, и про ожидания от результата.



Стоматолог-ортодонт – это врач, который занимается положением зубов и прикусом, то есть тем, как зубные ряды смыкаются и как распределяется нагрузка при жевании. Если сказать проще, ортодонт помогает сделать улыбку ровнее и прикус стабильнее, чтобы зубы служили дольше и не «стирались» из-за перегрузки.
Ортодонт не лечит кариес и не ставит коронки как основную задачу, но часто работает в связке с терапевтом и ортопедом. Например, сначала нужно вылечить кариес и привести десны в порядок, потом – выровнять зубы, а уже после – поставить виниры или коронки, если они действительно нужны. Такой порядок обычно дает более надежный и спокойный результат, чем попытка «сразу сделать красиво» без выверенного прикуса.
В Санкт-Петербурге ортодонтические запросы давно перестали быть редкостью: люди приходят не только подростками, но и взрослыми – перед протезированием, имплантацией, сложными реставрациями, а иногда просто потому, что стало неудобно смыкать зубы.
Ортодонтическая консультация нужна не только тем, кто хочет ровные зубы «для фото». Врач смотрит шире: как зубы стоят в дуге, как смыкаются, нет ли перегрузки отдельных зон, как себя ведут десны и есть ли место для правильного движения зубов.
Чаще всего ортодонт помогает при следующих ситуациях:
Иногда человек приходит с одной жалобой – «кривой резец», а ортодонт видит, что причина глубже: зубу просто не хватает места, и если выровнять один, сместится другой. Поэтому консультация – это не быстрый вердикт, а понятный разбор ситуации.
Если вам удобно добираться до метро Проспект Большевиков, проще пройти диагностику рядом с домом, чем откладывать из-за дальних поездок. Филиал КДС в СПб подходит тем, кто живет и работает рядом с улицей Коллонтай, проспектом Большевиков, проспектом Пятилеток, улицей Подвойского, Российским проспектом, Дальневосточным проспектом, а также тем, кто часто бывает в районе Веселого Поселка и рядом с Кудрово.
Ортодонт помогает не только «выровнять зубы». На практике врач:
Если у человека уже были пломбы, коронки или планируются виниры, ортодонт обычно оценивает, как сделать так, чтобы будущие реставрации не ломались из-за неправильной нагрузки.
Методы подбирают под возраст, прикус, состояние зубов и задачи. Врач может предложить:
Хорошая ортодонтия – это регулярный контроль, корректировки и дисциплина по уходу. В этом смысле консультация важна еще и тем, что врач заранее рассказывает, как будет устроена жизнь на лечении: что можно, что нельзя, как чистить, как часто приходить.
Врач уточняет, что именно не нравится или беспокоит, когда вы заметили изменения, были ли удаления, травмы, ортодонтическое лечение в прошлом. Также спрашивает про привычки, которые влияют на прикус, и про ожидания от результата.
Ортодонт оценивает положение зубов, состояние десен и слизистой, симметрию улыбки, ширину зубных дуг, прикус и контакты при смыкании. Врач смотрит не один зуб, а всю систему.
По показаниям назначают рентгенологические снимки и исследования: ортопантомограмму, КТ, телерентгенографию, фотопротокол, цифровое сканирование. Если у вас уже есть рентген-снимки, врач анализирует их и говорит, достаточно ли данных для точного плана.
Врач объясняет, какие варианты подойдут именно вам, сколько времени займет лечение, какой этап будет первым и почему. На этом шаге обсуждают брекеты или элайнеры, возможные дополнительные элементы, а также этапы подготовки, если они нужны.
Вы получаете понятное сравнение: что даст каждый вариант, в чем разница по срокам, комфорту и уходу. Врач отвечает на вопросы, помогает выбрать стратегию и, при необходимости, предлагает связанный план с терапевтом или ортопедом.
Если во рту много кариеса или воспаление десен, это не запрет на ортодонтию, но обычно сначала приводят полость рта в порядок. Так лечение идет ровнее и безопаснее.
Стоимость зависит от нескольких факторов:
Система на 1 челюсть
70 000 ₽
60 000 ₽
Система на 2 челюсти
140 000 ₽
120 000 ₽
Итого за всё «под ключ»
350 000 ₽ 320 000 ₽
Система на 1 челюсть
85 000 ₽
75 000 ₽
Система на 2 челюсти
170 000 ₽
150 000 ₽
Итого за всё «под ключ»
380 000 ₽ 370 000 ₽
Система на 1 челюсть
95 000 ₽
85 000 ₽
Система на 2 челюсти
190 000 ₽
170 000 ₽
Итого за всё «под ключ»
450 000 ₽ 420 000 ₽
Самая частая ошибка – оценивать прикус только по внешнему виду. Бывает, что зубы визуально ровные, но смыкание перегружает один участок, и там постоянно крошатся пломбы или появляется чувствительность. И наоборот: зубы могут быть чуть неровными, но прикус стабильный и проблем не дает. Поэтому на консультации лучше сразу говорить не только «хочу ровно», но и про ощущения: устает ли челюсть, есть ли стираемость, щелчки, боли. Второй момент – ожидания по срокам. Ортодонтия любит спокойный темп: иногда лучше идти чуть дольше, но сохранить корни и десны в хорошем состоянии. Особенно у взрослых пациентов, у которых ткани уже не такие «податливые», как в подростковом возрасте. Если вы живете рядом с Проспектом Большевиков, вам проще соблюдать график приемов. А в ортодонтии регулярность – это реально половина успеха.
Стоматолог-ортодонт
Пациент:
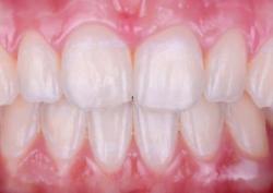
Анна, 28 лет
Жалобы пациента:
сильная стираемость зубов, эстетический дефект улыбки.
Что делали:
Результат:
нормализован прикус, восстановлена функция жевания, зубы выглядят ровно и эстетично.
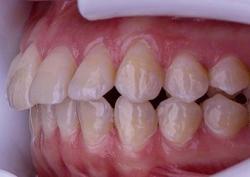
Пациент:
Дмитрий, 25 лет
Жалобы пациента:
неровный зубной ряд, затруднённая гигиена.
Что делали:
Результат:
зубы выровнены, восстановлена симметрия, улучшено положение челюсти.
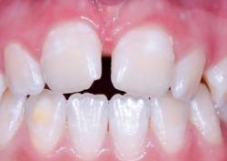
Пациент:
Мария, 15 лет
Жалобы пациента:
щель между зубами, нарушение дикции.
Что делали:
Результат:
устранён открытый прикус, улучшена речь, улыбка стала гармоничной.
Мы подбираем методику и систему брекетов с учётом особенностей прикуса.
Регулярные визиты к врачу позволяют отслеживать динамику, корректировать план.
Мы используем современные технологии и материалы.
После завершения лечения мы обеспечиваем ретенционный период.
Гарантия в КДС: мы отвечаем за результат, так как комплексно подходим к лечению патологий прикуса.
Звоните:
В КДС у метро Проспект Большевиков (Санкт-Петербург) ортодонты планируют лечение так, чтобы оно было предсказуемым по срокам и удобным в быту:
Генеральный директор, стоматолог-ортодонт, врач высшей категории, к.м.н.
Коломяжский проспект, 20
ул.Коллонтай, 17 к.2
пр.Народного Ополчения, 10
Главный врач, стоматолог-ортодонт
ул.Коллонтай, 17 к.2
пр.Народного Ополчения, 10
Этичный медицинский подход. Используем только те технологии и методики лечения, которые предложили бы своим близким.
Опытные врачи. Ваше здоровье в надёжных руках специалистов, которые не только постоянно повышают квалификацию, но и обучают коллег.
Прозрачные условия. Фиксированная стоимость лечения и понятная этапность без скрытых доплат.
Екатерина
+7-910-8ХХ-ХХ-ХХ
Долго искала клинику, где можно одновременно решить все проблемы с зубами — и кариес, и протезирование. В КДС составили полный план лечения, объяснили каждый шаг, а врачи сделали всё максимально комфортно. Здесь чувствуешь себя в надёжных руках.
Алексей
+7-917-5ХХ-ХХ-ХХ
Мне проводили имплантацию и протезирование «всё на 4». Сначала было страшно, но команда хирургов и ортопедов всё объяснила и оказала моральную поддержку. Результат превзошёл ожидания — чувствую себя прекрасно с новой улыбкой.
Марина
+7-916-8ХХ-ХХ-ХХ
Привела ребёнка на ортодонтическое лечение. Очень боялась, что будет трудно его убедить в необходимости установки брекетов, но врачи нашли индивидуальный подход: объясняли всё по шагам, использовали современные методы адаптации детей к осмотру. Сейчас сын спокойно носит брекеты, посещает приемы, а результат уже виден!
Сергей
+7-910-4ХХ-ХХ-ХХ
Долго откладывал лечение дисфункции височно-нижнечелюстного сустава, пока не обратился в КДС. В клинике провели комплексную диагностику, сделали сплинты, ортопедическую подготовку и протезирование. После курса лечения исчезли боли и щелчки, и я снова могу нормально жевать.
Алина
+7-906-6ХХ-ХХ-ХХ
Хочу поблагодарить команду КДС за профессионализм и честность. Когда предлагались методы, которые могли бы быть сомнительными, врачи честно объяснили риски и предложили лучшее решение. Чувствуется, что заботятся о пациентах, а не просто о доходе.
Иван
+7-915-5ХХ-ХХ-ХХ
Мне удаляли зубы мудрости под седацией. Процедура прошла абсолютно спокойно, а врачи всё объяснили ещё до наркоза. После лечения ни боли, ни неприятных ощущений. Очень удобно, что здесь комплексный подход — сразу делают всё, что нужно, без лишних визитов.