Врач старается расположить маленького пациента к себе, показывает инструменты в безопасной форме и создает комфортную атмосферу.



Детский стоматолог — это врач, который специализируется на лечении и профилактике стоматологических заболеваний у детей с учетом возраста, особенностей развития и психологического комфорта маленького пациента.
Здоровье молочных зубов играет важную роль в формировании правильного прикуса, развитии речи, полноценном питании и общем состоянии ребенка. Поэтому обращаться к врачу стоит не только при боли, но и в рамках регулярных профилактических осмотров.
Во время консультации специалист оценивает состояние зубов и десен, особенности прорезывания, наличие кариеса, качество гигиены полости рта и возможные нарушения прикуса. Современный подход направлен на бережное лечение, спокойную адаптацию ребенка к приему и формирование положительного отношения к посещению врача.
Детский стоматолог — это врач, который занимается профилактикой, диагностикой и лечением заболеваний зубов и полости рта у детей. С момента от появления первых молочных зубов и до завершения формирования постоянного прикуса.
Специалист учитывает не только состояние зубов, но и возраст ребенка, особенности развития, эмоциональный настрой и способность спокойно переносить прием.
Детский стоматолог несколько отличается от стоматолога, которые лечит взрослых, он работает с молочными зубами, а также постоянным прикусом. Должен учитывать особенности психологии и поведения ребенка на приеме.
Специалист помогает диагностировать, лечить и предотвращать заболевания полости рта с раннего возраста. В его компетенции:
Врач помогает сохранить здоровье зубов ребенка и делает знакомство со стоматологией спокойным и позитивным мероприятием, без лишнего стресса.
Обращаться к детскому стоматологу нужно не только при боли. Многие проблемы у детей развиваются постепенно, а протекают бессимптомно. Их легче предупредить или устранить на ранней стадии, когда лечение проходит быстрее и спокойнее.
Основные показания к консультации следующие:
Есть и другие показания:
Чем раньше ребенок познакомится со стоматологом в спокойной обстановке, тем легче будут проходить визиты и лечение.
Детский стоматолог занимается диагностикой, лечением и профилактикой заболеваний зубов и полости рта у детей. Основные заболевания, которые лечит врач:
Кроме того, врач выявляет и помогает скорректировать и иные нарушения:
В арсенале врача множество инструментов. Помимо прочего детский стоматолог проводит профилактические осмотры и обучает ребенка и родителей правильному уходу за полостью рта. Если ситуация сложная, врач направляет ребенка к ортодонту или иным специалистам.
Многие стоматологические проблемы у детей развиваются быстро и на ранних стадиях протекают без боли. Регулярные осмотры помогут выявить изменения вовремя, устранить нарушения максимально щадящим способом.
Профилактические приемы дают возможность обнаружить нарушения, которые никак себя не проявляют, возможно:
И это лучший способ снизить риск сложного лечения в будущем.
Если говорить о детях, профилактические осмотры в раннем возрасте особенно важны. На то есть несколько причин. Эмаль молочных зубов более уязвима, кариес развивается и прогрессирует быстрее, чем у взрослых. Здоровье молочных зубов влияет на формирование постоянного прикуса и развитие челюстей.
Кроме того, профилактические визиты без боли помогают:
Во многих случаях рекомендуется показывать ребенка стоматологу каждые 6 месяцев, если врач не предложил другой график наблюдения. Однако все индивидуально.
Детский стоматолог поможет сохранить здоровье зубов ребенка, предотвратить развитие заболеваний и сделает посещение врача спокойным и комфортным. Лечение и профилактика подбираются с учетом возраста, особенностей развития и эмоционального состояния маленького пациента.
Результаты зависят от исходной проблемы, с которой родители и ребенок пришли на прием, это может быть:
Также стоматолог обучает ребенка правильной гигиене, консультирует родителей по уходу и питанию, помогает снизить страх перед стоматологом. Тем самым формирует положительный опыт посещения врача
Детский стоматолог помогает вылечить зубы сегодня, а также создать основу для здоровой улыбки в будущем.
Специальной подготовки к консультации детского стоматолога не требуется. Гораздо важнее психологический настрой ребенка и спокойная атмосфера перед визитом. Первый прием часто направлен на знакомство, осмотр и формирование доверия к врачу.
Что желательно сделать перед визитом:
Важно подготовить ребенка психологически:
Даже если лечение не потребуется, спокойный первый визит помогает ребенку привыкнуть к стоматологу и значительно облегчит будущие посещения.
Врач старается расположить маленького пациента к себе, показывает инструменты в безопасной форме и создает комфортную атмосферу.
Специалист уточняет:
Врач оценивает состояние молочных и постоянных зубов, наличие кариеса, состояние десен, а также особенности прикуса и развития челюстей.
При необходимости специалист назначает дополнительные исследования: прицельные снимки, панорамный снимок. Если нужно — направляет ребенка к другим врачам.
После осмотра врач объясняет родителям есть ли проблемы и насколько они выражены, требуется ли лечение сейчас и какое именно. Также — как ухаживать за зубами дома и когда прийти на следующий осмотр. Если нужно лечение врач подбирает щадящую и понятную тактику, ориентируется на возраст ребенка и его готовность к процедурам.
Страх перед стоматологом у ребенка — распространенная ситуация. Чаще всего он связан не с самим лечением, а с неизвестностью, тревогой родителей, неприятным прошлым опытом или рассказами окружающих. Однако такой страх можно постепенно уменьшить.
Рекомендуется начать с профилактического визита. Лучше знакомиться с врачом в спокойной обстановке, когда нет острых жалоб.
Важно говорить простыми и добрыми словами. Также сохранять спокойствие самим. Дети хорошо чувствуют настроение родителей.
Хвалите за смелость. Даже если ребенок просто зашел в кабинет — это уже успех.
Важно ослаблять страх постепенно. При сильной тревоге достаточно первого знакомства и осмотра без лечения.
Не стоит усугублять ситуацию, нельзя:
Если страх выраженный — полезно заранее сообщить врачу, что ребенок тревожится. Детский стоматолог выберет более мягкий темп знакомства и общения.
Если первые визиты проходят спокойно и без боли, у ребенка формируется доверие к врачу, дальнейшие посещения становятся значительно легче. Терпеливый, постепенный подход работает лучше давления и уговоров.
Стоимость зависит от нескольких факторов:
Лечение кариеса
7 000 ₽
6 000 ₽
Лечение пульпита
14 000 ₽
13 000 ₽
Итого за всё «под ключ»
3 500 ₽ 2 500 ₽
Лечение кариеса
9 500 ₽
8 500 ₽
Лечение пульпита
13 500 ₽
12 500 ₽
Итого за всё «под ключ»
3 500 ₽ 2 500 ₽
Удаление молочного зуба
6 000 ₽
5 000 ₽
Удаление подвижного зуба
2 000 ₽
1 800 ₽
Итого за всё «под ключ»
2 500 ₽ 2 000 ₽
Лучший способ сохранить здоровье зубов ребенка — не ждать боли и других жалоб. У детей стоматологические проблемы часто развиваются быстрее, чем у взрослых пациентов. Нередко начальный кариес за короткое время превращается в ситуацию, требующую серьезного лечения.
Детский стоматолог
Пациент:
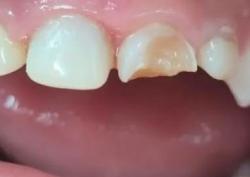
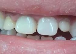
Егор, 7 лет
Жалобы пациента:
скол переднего зуба после падения на улице.
Что делали:
Результат:
зуб восстановлен, эстетика улыбки сохранена, ребёнок чувствует себя уверенно и комфортно.
Пациент:
Алина, 6 лет
Жалобы пациента:
скол на переднем зубе из-за кариеса, чувствительность при еде.
Что делали:
Результат:
зуб восстановлен и выглядит естественно, исчез дискомфорт при еде, проведена профилактика новых кариозных поражений.
Пациент:
Мария, 6 лет
Жалобы пациента:
профилактический осмотр, родители хотели защитить зубы от кариеса.
Что делали:
Результат:
молочные зубы защищены, риск кариеса снижен, ребёнок получил позитивный опыт визита к стоматологу.
Мы учитываем возраст, психологические особенности и состояние здоровья ребёнка, чтобы лечение прошло максимально комфортно.
Используем современные технологии и безопасные материалы, подходящие даже самым маленьким пациентам.
Регулярные осмотры помогают вовремя заметить проблемы и сформировать правильные привычки ухода за зубами.
Мы не только лечим зубы, но и помогаем сохранить их надолго, чтобы ребёнок рос с красивой и здоровой улыбкой.
В клинике «КДС» особое внимание уделяем качеству и безопасности детского лечения. Все процедуры проводят врачи с опытом работы с детьми под контролем главного врача. Мы используем щадящие методики, сертифицированные материалы и современное оборудование.
Звоните:
В клинике «КДС» у метро Ленинский проспект консультации проводят специалисты, которые умеют работать с детьми разного возраста. Создают спокойную, доброжелательную атмосферу на приеме. Мы понимаем, насколько важен первый опыт посещения стоматолога, поэтому уделяем внимание не только диагностике и лечению, но и психологическому комфорту ребенка.
Почему стоит обратиться в клинику «КДС» в Санкт-Петербурге:
Чтобы задать вопросы или записаться на прием к врачу — позвоните по телефону, который вы видите на нашем сайте.
Стоматолог-терапевт, детский стоматолог
пр.Народного Ополчения, 10
Этичный медицинский подход. Используем только те технологии и методики лечения, которые предложили бы своим близким.
Опытные врачи. Ваше здоровье в надёжных руках специалистов, которые не только постоянно повышают квалификацию, но и обучают коллег.
Прозрачные условия. Фиксированная стоимость лечения и понятная этапность без скрытых доплат.
Екатерина
+7-910-8ХХ-ХХ-ХХ
Долго искала клинику, где можно одновременно решить все проблемы с зубами — и кариес, и протезирование. В КДС составили полный план лечения, объяснили каждый шаг, а врачи сделали всё максимально комфортно. Здесь чувствуешь себя в надёжных руках.
Алексей
+7-917-5ХХ-ХХ-ХХ
Мне проводили имплантацию и протезирование «всё на 4». Сначала было страшно, но команда хирургов и ортопедов всё объяснила и оказала моральную поддержку. Результат превзошёл ожидания — чувствую себя прекрасно с новой улыбкой.
Марина
+7-916-8ХХ-ХХ-ХХ
Привела ребёнка на ортодонтическое лечение. Очень боялась, что будет трудно его убедить в необходимости установки брекетов, но врачи нашли индивидуальный подход: объясняли всё по шагам, использовали современные методы адаптации детей к осмотру. Сейчас сын спокойно носит брекеты, посещает приемы, а результат уже виден!
Сергей
+7-910-4ХХ-ХХ-ХХ
Долго откладывал лечение дисфункции височно-нижнечелюстного сустава, пока не обратился в КДС. В клинике провели комплексную диагностику, сделали сплинты, ортопедическую подготовку и протезирование. После курса лечения исчезли боли и щелчки, и я снова могу нормально жевать.
Алина
+7-906-6ХХ-ХХ-ХХ
Хочу поблагодарить команду КДС за профессионализм и честность. Когда предлагались методы, которые могли бы быть сомнительными, врачи честно объяснили риски и предложили лучшее решение. Чувствуется, что заботятся о пациентах, а не просто о доходе.
Иван
+7-915-5ХХ-ХХ-ХХ
Мне удаляли зубы мудрости под седацией. Процедура прошла абсолютно спокойно, а врачи всё объяснили ещё до наркоза. После лечения ни боли, ни неприятных ощущений. Очень удобно, что здесь комплексный подход — сразу делают всё, что нужно, без лишних визитов.