


Консультация стоматолога — важный этап профилактики и лечения заболеваний полости рта. Даже если вас ничего не беспокоит — это не гарантия отсутствия проблем. Многие нарушения развиваются скрыто и долгое время не вызывают выраженных симптомов.
Во время консультации врач оценивает состояние зубов, десен, слизистой оболочки полости рта, прикуса. При необходимости назначает дополнительные исследования для более точной диагностики.
Консультация стоматолога помогает своевременно выявить нарушения: кариес, воспалительные процессы, аномалии прикуса, отсутствие зубов и другие состояния, которые проще и быстрее вылечить и устранить на ранних стадиях. Также это возможность получить профессиональные рекомендации по уходу за зубами, профилактике заболеваний.
Современная стоматология объединяет разные направления — терапию, хирургию, ортопедию, ортодонтию, имплантацию и профилактику. Консультация становится первым шагом к комплексному решению проблем со стороны полости рта.
Консультация стоматолога рекомендована не только при боли или явных жалобах. Многие заболевания полости рта развиваются постепенно и на ранних стадиях могут протекать почти незаметно.
Обращаться к врачу стоит всем, кто хочет сохранить здоровье зубов, десен. Среди показаний к консультации врача-стоматолога:
Даже при отсутствии жалоб рекомендуется посещать стоматолога 1–2 раза в год для профилактического осмотра. Регулярное посещение врача поможет выявить скрытые проблемы на ранней стадии, избежать сложного и дорогостоящего лечения, а также сохранить зубы здоровыми.
Если вы не уверены, к какому специалисту обратиться — начните с общей консультации стоматолога-терапевта. После осмотра врач при необходимости направит вас к профильному специалисту.
К консультации стоматолога противопоказаний, как правило, нет. Осмотр полости рта, сбор жалоб и обсуждение плана лечения — это безопасные процедуры, которые можно проводить в любом возрасте и независимо от состояния здоровья.
Консультация нужна именно для того, чтобы оценить ситуацию, выявить возможные ограничения и подобрать безопасную тактику лечения.
В некоторых случаях визит могут перенести. Например, при:
Противопоказания чаще относятся к лечению. Ограничения касаются не консультации, а отдельных стоматологических процедур. Например:
Даже если есть хронические заболевания — консультация остается полезным и важным этапом. Врач учтет все особенности и предложит безопасный план дальнейших действий. Поможет устранить противопоказания и пройти лечение.
Стоматология — обширная область. Она включает несколько направлений.
Стоматолог-терапевт — это специалист, к которому чаще всего обращаются при боли, чувствительности зубов, кариесе и других распространенных заболеваниях полости рта. Именно с его консультации нередко начинается лечение.
Во время приема врач:
К стоматологу-терапевту стоит обращаться при боли в зубе, реакции на холодное или горячее, сколе зуба, выпадении пломбы, неприятном запахе изо рта и для профилактического осмотра. Консультация помогает своевременно остановить развитие заболевания и сохранить зубы без сложного вмешательства.
Ортодонт занимается исправлением прикуса и выравниванием зубов. Консультация этого специалиста нужна не только ради красивой улыбки, но и для правильной работы всей зубочелюстной системы.
Во время консультации врач:
Записаться к ортодонту следует при неровных зубах, неправильном прикусе, стираемости эмали, дискомфорте в челюсти или при желании улучшить эстетику улыбки. Современное ортодонтическое лечение помогает улучшить не только внешний вид зубов. Оно помогает сохранить здоровье всей зубочелюстной системы.
Гнатолог — это стоматолог, который имеет ортодонтическую подготовку, но работает с более широким кругом задач. Специалист рассматривает зубочелюстную систему как единое целое: имеют значение положение зубов, прикус, работа мышц, височно-нижнечелюстного сустава (ВНЧС) и общее распределение нагрузки.
Если ортодонт в первую очередь фокусируется на выравнивании зубов и исправлении прикуса, то гнатолог уделяет особое внимание функции всей системы и причинам хронического дискомфорта.
Во время консультации врач:
Обратиться к гнатологу стоит при характерных жалобах:
Консультация гнатолога помогает найти не только симптом, но и первопричину проблемы, чтобы лечение было эффективным.
Стоматолог-хирург занимается лечением состояний, при которых требуется оперативное вмешательство в полости рта. Консультация этого специалиста необходима, когда зуб невозможно сохранить, есть воспалительные, гнойные процессы или требуется подготовка к дальнейшему лечению.
Во время приема врач:
Обращаться к стоматологу-хирургу стоит при:
Консультация хирурга помогает выбрать безопасный и максимально щадящий метод лечения.
Имплантолог — это стоматолог-хирург, который прошел дополнительную подготовку в области имплантации зубов. Он специализируется на восстановлении утраченных зубов с помощью имплантов.
Во время консультации имплантолог:
Обратиться к имплантологу стоит при:
Консультация имплантолога помогает понять, подходит ли имплантация именно в вашем случае, какие варианты коррекции существуют, и сколько времени займет лечение.
Пародонтолог — это стоматолог, который занимается диагностикой и лечением заболеваний десен и тканей, удерживающих зубы. От их состояния напрямую зависит устойчивость зубов и здоровье всей полости рта.
Во время консультации пародонтолог:
Обратиться к пародонтологу стоит при имеющихся жалобах, в том числе:
Также при частом образовании зубного камня. Консультация поможет вовремя остановить воспалительный процесс и сохранить зубы.
Гигиенист — это специалист по профилактике заболеваний зубов и десен. Его задача — поддерживать здоровье полости рта, предотвращая развитие кариеса и воспалительных процессов. Также он обучает пациентов грамотному уходу за ротовой полостью.
Во время консультации специалист:
Обратиться к гигиенисту стоит при:
Также в рамках профессиональной чистки — раз в 6 месяцев или чаще.
Консультация гигиениста поможет сохранить результаты лечения, снизить риск заболеваний и поддержать здоровье зубов.
Стоматолог-ортопед — это специалист, который занимается восстановлением разрушенных или утраченных зубов с помощью современных ортопедических конструкций. Его задача — вернуть пациенту комфорт при жевании, правильную функцию зубочелюстной системы и эстетичную улыбку.
Специалист в ходе консультации:
Обратиться к стоматологу-ортопеду стоит при:
Консультация стоматолога-ортопеда помогает выбрать оптимальный способ восстановления зубов с учетом клинической ситуации, ваших пожеланий и бюджета.
Современная стоматология включает разные направления, и каждый специалист решает свой круг задач. Есть несколько рекомендаций.
Если сомневаетесь — начните с общей консультации стоматолога-терапевта. После осмотра врач направит к нужному специалисту.
Не ждите появления сильной боли. Большинство стоматологических заболеваний начинается незаметно: кариес, воспаление десен, перегрузка зубов или проблемы с прикусом могут долго не давать выраженных симптомов. Но это не значит, что все в порядке. Стоить помнить несколько простых правил:
Простое правило: если вы заметили любые изменения, боль, чувствительность, запах изо рта, скол зуба, щелчки в челюсти или дискомфорт при жевании — лучше записаться на консультацию, чем ждать ухудшения.
Стоматолог-терапевт
Пациент:
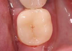
Ирина, 29 лет
Жалобы пациента:
повышенная чувствительность к холодному, потемнение на жевательной поверхности зуба.
Что делали:
Результат:
зуб полностью восстановлен, исчезла чувствительность, эстетика и жевательная функция сохранены.
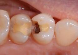
Пациент:
Алексей, 42 года
Жалобы пациента:
сильная пульсирующая боль в верхнем моляре, которая усиливалась ночью.
Что делали:
Результат:
боль полностью устранена, зуб сохранён, риск повторного воспаления минимизирован.
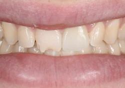
Пациент:
Мария, 35 лет
Жалобы пациента:
скол на переднем зубе после удара, нарушена форма и эстетика зубного ряда.
Что делали:
Результат:
зуб полностью восстановлен, форма и цвет естественные, эстетика улыбки возвращена.
В клинике «КДС» у метро Ленинский проспект консультации проводят врачи разных направлений: терапевты, хирурги, ортопеды, ортодонты и другие специалисты. Это позволяет быстро подобрать нужного врача и решить проблему комплексно. Мы уделяем внимание не только качеству лечения, но и понятному общению с пациентом — чтобы вы понимали ситуацию и спокойно принимали решение.
Почему стоит обратиться в клинику «КДС» в Санкт-Петербурге:
Чтобы задать вопросы или записаться на прием — обратитесь по номеру, который вы видите на нашем сайте.
Главный врач, стоматолог-ортодонт
пр.Народного Ополчения, 10
Старший стоматолог-ортопед, врач высшей категории
Коломяжский проспект, 20
пр.Народного Ополчения, 10
Стоматолог-терапевт, детский стоматолог
пр.Народного Ополчения, 10
Этичный медицинский подход. Используем только те технологии и методики лечения, которые предложили бы своим близким.
Опытные врачи. Ваше здоровье в надёжных руках специалистов, которые не только постоянно повышают квалификацию, но и обучают коллег.
Прозрачные условия. Фиксированная стоимость лечения и понятная этапность без скрытых доплат.
Екатерина
+7-910-8ХХ-ХХ-ХХ
Долго искала клинику, где можно одновременно решить все проблемы с зубами — и кариес, и протезирование. В КДС составили полный план лечения, объяснили каждый шаг, а врачи сделали всё максимально комфортно. Здесь чувствуешь себя в надёжных руках.
Алексей
+7-917-5ХХ-ХХ-ХХ
Мне проводили имплантацию и протезирование «всё на 4». Сначала было страшно, но команда хирургов и ортопедов всё объяснила и оказала моральную поддержку. Результат превзошёл ожидания — чувствую себя прекрасно с новой улыбкой.
Марина
+7-916-8ХХ-ХХ-ХХ
Привела ребёнка на ортодонтическое лечение. Очень боялась, что будет трудно его убедить в необходимости установки брекетов, но врачи нашли индивидуальный подход: объясняли всё по шагам, использовали современные методы адаптации детей к осмотру. Сейчас сын спокойно носит брекеты, посещает приемы, а результат уже виден!
Сергей
+7-910-4ХХ-ХХ-ХХ
Долго откладывал лечение дисфункции височно-нижнечелюстного сустава, пока не обратился в КДС. В клинике провели комплексную диагностику, сделали сплинты, ортопедическую подготовку и протезирование. После курса лечения исчезли боли и щелчки, и я снова могу нормально жевать.
Алина
+7-906-6ХХ-ХХ-ХХ
Хочу поблагодарить команду КДС за профессионализм и честность. Когда предлагались методы, которые могли бы быть сомнительными, врачи честно объяснили риски и предложили лучшее решение. Чувствуется, что заботятся о пациентах, а не просто о доходе.
Иван
+7-915-5ХХ-ХХ-ХХ
Мне удаляли зубы мудрости под седацией. Процедура прошла абсолютно спокойно, а врачи всё объяснили ещё до наркоза. После лечения ни боли, ни неприятных ощущений. Очень удобно, что здесь комплексный подход — сразу делают всё, что нужно, без лишних визитов.