Врач уточняет:
- что именно беспокоит пациента;
- есть ли жалобы на внешний вид зубов;
- имеются ли трудности при жевании;
- было ли ранее проведено ортодонтическое лечение;
- есть ли щелчки в челюсти, напряжение мышц, стираемость зубов.



Неровное положение зубов, скученность, промежутки между зубами или неправильное смыкание челюстей приводят ко множеству проблем. К повышенной стираемости эмали, проблемам с гигиеной, перегрузке отдельных зубов и другим патологическим изменениям.
Ортодонт — это стоматолог, который занимается исправлением прикуса, выравниванием зубов и коррекцией нарушений развития зубочелюстной системы. К этому специалисту обращаются не только ради красивой улыбки, но и для сохранения здоровья зубов, десен и височно-нижнечелюстного сустава.
Консультация ортодонта помогает выявить нарушения на ранней стадии, определить необходимость лечения и подобрать подходящий способ коррекции. Современная ортодонтия позволяет проводить лечение как детям, так и взрослым. Добавиться не только косметического, но и функционального результата.
Ортодонт — это стоматолог, который специализируется на исправлении прикуса, выравнивании зубов и коррекции нарушений развития зубочелюстной системы. Перед врачом стоит ряд задач: сделать зубной ряд ровным, улыбку — эстетичной, а также обеспечить правильную работу всей системы: зубов, челюстей и жевательных мышц.
В отличие от стоматолога-терапевта, который лечит кариес и другие заболевания полости рта, ортодонт работает с положением зубов и соотношением челюстей.
Специалист помогает при множестве проблем, среди них:
Ортодонт оценивает прикус и положение зубов, анализирует симметрию лица и работу челюстей, назначает диагностику (снимки, слепки, сканирование). После обследования — объясняет возможные варианты лечения и составляет индивидуальный план коррекции.
К ортодонту приходят пациенты всех возрастов:
Правильное положение зубов помогает лучше очищать их, снижает риск стираемости и перегрузки, а также способствует здоровью всей зубочелюстной системы.
Основные показания к консультации ортодонта такие:
Если речь идет о детях, показания следующие:
Чем раньше будет выявлено нарушение прикуса, тем проще пройдет лечение.
К консультации ортодонта противопоказаний нет. Осмотр, диагностика и составление плана лечения безопасны. Если же говорить касательно самого ортодонтического лечения — строгие противопоказания встречаются редко. Чаще речь идет о временных ограничениях или необходимости дополнительной предварительной подготовки.
Лечение могут отложить при наличии проблем, среди которых:
Большинство ограничений можно устранить до начала лечения. Именно поэтому консультация ортодонта важна: врач оценит состояние зубов и десен, подберет подходящий момент для начала коррекции. Также безопасную тактику лечения.
Ортодонт занимается лечением нарушений положения зубов, прикуса и аномалий развития зубочелюстной системы. Его задача — восстановить правильное смыкание зубов, улучшить эстетику улыбки и создать условия для здоровья зубов и десен.
Ортодонт лечит группу нарушений:
Ортодонт также помогает при неправильном росте челюстей, нарушении прорезывания зубов, вредных привычках (сосание пальца, длительное использование пустышки). Кроме того — при ранней потере молочных зубов. Такие нарушения влияют не только на внешний вид улыбки, но и на гигиену, жевание, нагрузку на зубы и суставы.
Ортодонт лечит и исправляет всю систему прикуса и смыкания. Системный подход помогает сохранить зубы здоровыми и улучшить качество жизни.
Основные результаты лечения обычно следующие:
Также ортодонт помогает подготовить к имплантации или протезированию.
Специальной подготовки к консультации ортодонта не требуется. Прием проходит спокойно и включает осмотр, оценку прикуса и обсуждение возможных вариантов лечения. Однако несколько простых рекомендаций помогут сделать консультацию более полезной.
Что желательно сделать перед визитом:
Не нужно приходить натощак, не нужна специальная диета, также не нужно заранее выбирать систему лечения самостоятельно. Врач подберет оптимальный вариант коррекции и даст свои рекомендации.
Консультация ортодонта — это этап диагностики и планирования. Врач оценит ситуацию, объяснит возможные варианты лечения и поможет понять, когда лучше начинать коррекцию. Также, что немаловажно — какими методами.
Врач уточняет:
Проводится оценка:
При необходимости назначают дополнительные исследования:
Врач объясняет какие нарушения выявлены, нужна ли коррекция, когда лучше начинать лечение и какие варианты вмешательства подходят в вашем случае.
Пациент получает всю неободимую информацию:
Консультация проходит безболезненно и занимает минимум времени. Это важный шаг, который помогает понять реальные возможности лечения. Дает возможность выбрать оптимальный путь к здоровой и красивой улыбке.
Стоимость зависит от нескольких факторов:
Система на 1 челюсть
70 000 ₽
60 000 ₽
Система на 2 челюсти
140 000 ₽
120 000 ₽
Итого за всё «под ключ»
350 000 ₽ 320 000 ₽
Система на 1 челюсть
85 000 ₽
75 000 ₽
Система на 2 челюсти
170 000 ₽
150 000 ₽
Итого за всё «под ключ»
380 000 ₽ 370 000 ₽
Система на 1 челюсть
95 000 ₽
85 000 ₽
Система на 2 челюсти
190 000 ₽
170 000 ₽
Итого за всё «под ключ»
450 000 ₽ 420 000 ₽
Да, обратиться к ортодонту можно в любом возрасте. Ортодонтическое лечение давно перестало быть только подростковой темой — сегодня многие пациенты начинают коррекцию прикуса и выравнивание зубов во взрослом возрасте.
Взрослые обращаются к ортодонту в ряду случаев, когда наблюдаются:
Также в случае, если нужна подготовка к имплантации или протезированию или есть желание улучшить эстетику улыбки.
У взрослых рост челюстей уже завершен, поэтому лечение строится иначе, чем у детей и подростков. Оно требует точного планирования и учета состояния зубов, десен, суставов и ранее проведенного лечения.
Перед самим лечением ортодонт оценит важные параметры:
Возраст сам по себе не может считаться препятствием. Гораздо важнее состояние зубов и желание заняться лечением. Консультация ортодонта поможет понять реальные возможности и подобрать подходящий план коррекции.
Не откладывайте консультацию ортодонта. Нарушения прикуса и неровное положение зубов влияют не только на внешний вид улыбки, но и на здоровье всей зубочелюстной системы.
Важно иметь в виду:
Если беспокоит только эстетика — это тоже достаточная причина обратиться к врачу. Улыбка влияет на уверенность в себе и комфорт в общении.
Чем раньше выявлена проблема, тем больше вариантов лечения обычно доступно. Но даже во взрослом возрасте коррекция часто дает отличный результат.
Главное не ставьте себе диагноз самостоятельно и не ориентируйтесь только на фотографии из интернета. Консультация ортодонта позволяет увидеть реальную ситуацию, понять возможности лечения и принять спокойное, взвешенное решение.
Стоматолог-ортодонт
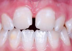
Пациент:
Анна, 28 лет
Жалобы пациента:
сильная стираемость зубов, эстетический дефект улыбки.
Что делали:
Результат:
нормализован прикус, восстановлена функция жевания, зубы выглядят ровно и эстетично.
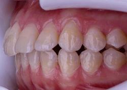
Пациент:
Дмитрий, 25 лет
Жалобы пациента:
неровный зубной ряд, затруднённая гигиена.
Что делали:
Результат:
зубы выровнены, восстановлена симметрия, улучшено положение челюсти.
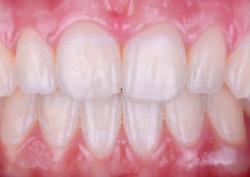
Пациент:
Мария, 15 лет
Жалобы пациента:
щель между зубами, нарушение дикции.
Что делали:
Результат:
устранён открытый прикус, улучшена речь, улыбка стала гармоничной.
Мы подбираем методику и систему брекетов с учётом особенностей прикуса.
Регулярные визиты к врачу позволяют отслеживать динамику, корректировать план.
Мы используем современные технологии и материалы.
После завершения лечения мы обеспечиваем ретенционный период.
Гарантия в КДС: мы отвечаем за результат, так как комплексно подходим к лечению патологий прикуса.
Звоните:
В клинике «КДС» у метро Ленинский проспект консультации проводят опытные ортодонты, которые занимаются диагностикой и коррекцией нарушений прикуса у детей, подростков и взрослых пациентов.
Мы уделяем внимание не только выравниванию зубов, но и правильной функции всей зубочелюстной системы. Врач подробно объясняет ситуацию, возможные варианты лечения и ожидаемые результаты.
Почему стоит обратиться в клинику «КДС» в Санкт-Петербурге:
Чтобы узнать подробности или записаться на прием к ортодонту — обратитесь по телефону, который вы видите на сайте.
Генеральный директор, стоматолог-ортодонт, врач высшей категории, к.м.н.
Коломяжский проспект, 20
ул.Коллонтай, 17 к.2
пр.Народного Ополчения, 10
Главный врач, стоматолог-ортодонт
пр.Народного Ополчения, 10
Главный врач, стоматолог-ортодонт
ул.Коллонтай, 17 к.2
пр.Народного Ополчения, 10
Этичный медицинский подход. Используем только те технологии и методики лечения, которые предложили бы своим близким.
Опытные врачи. Ваше здоровье в надёжных руках специалистов, которые не только постоянно повышают квалификацию, но и обучают коллег.
Прозрачные условия. Фиксированная стоимость лечения и понятная этапность без скрытых доплат.
Екатерина
+7-910-8ХХ-ХХ-ХХ
Долго искала клинику, где можно одновременно решить все проблемы с зубами — и кариес, и протезирование. В КДС составили полный план лечения, объяснили каждый шаг, а врачи сделали всё максимально комфортно. Здесь чувствуешь себя в надёжных руках.
Алексей
+7-917-5ХХ-ХХ-ХХ
Мне проводили имплантацию и протезирование «всё на 4». Сначала было страшно, но команда хирургов и ортопедов всё объяснила и оказала моральную поддержку. Результат превзошёл ожидания — чувствую себя прекрасно с новой улыбкой.
Марина
+7-916-8ХХ-ХХ-ХХ
Привела ребёнка на ортодонтическое лечение. Очень боялась, что будет трудно его убедить в необходимости установки брекетов, но врачи нашли индивидуальный подход: объясняли всё по шагам, использовали современные методы адаптации детей к осмотру. Сейчас сын спокойно носит брекеты, посещает приемы, а результат уже виден!
Сергей
+7-910-4ХХ-ХХ-ХХ
Долго откладывал лечение дисфункции височно-нижнечелюстного сустава, пока не обратился в КДС. В клинике провели комплексную диагностику, сделали сплинты, ортопедическую подготовку и протезирование. После курса лечения исчезли боли и щелчки, и я снова могу нормально жевать.
Алина
+7-906-6ХХ-ХХ-ХХ
Хочу поблагодарить команду КДС за профессионализм и честность. Когда предлагались методы, которые могли бы быть сомнительными, врачи честно объяснили риски и предложили лучшее решение. Чувствуется, что заботятся о пациентах, а не просто о доходе.
Иван
+7-915-5ХХ-ХХ-ХХ
Мне удаляли зубы мудрости под седацией. Процедура прошла абсолютно спокойно, а врачи всё объяснили ещё до наркоза. После лечения ни боли, ни неприятных ощущений. Очень удобно, что здесь комплексный подход — сразу делают всё, что нужно, без лишних визитов.