Врач устанавливает контакт с ребенком:
- общается в игровой форме;
- показывает кабинет и инструменты;
- помогает ребенку почувствовать себя спокойно.



Молочные зубы играют важную роль в развитии зубочелюстной системы: они участвуют в формировании прикуса, речи и правильного роста постоянных зубов. Поэтому их здоровье нельзя игнорировать.
Детский стоматолог — это специалист, который занимается лечением и профилактикой заболеваний зубов у детей, начиная с раннего возраста. Работа с маленькими пациентами требует не только профессиональных знаний, но и особого подхода. В том числе внимания, терпения и умения наладить контакт.
Консультация детского стоматолога помогает вовремя выявить кариес, нарушения развития зубов и другие проблемы. Также приучить ребенка к регулярным визитам к врачу в клинику без страха и стресса. Регулярные осмотры с раннего возраста — залог здоровой улыбки в будущем.
Детский стоматолог — это врач, который специализируется на лечении и профилактике заболеваний зубов у детей с учетом их возраста, особенностей развития и психологии.
В отличие от стоматолога, которые работает со взрослыми пациентами, он не только лечит зубы, но и помогает ребенку адаптироваться к приему, сформировать доверие и избавиться от страха перед лечением.
В сферу ответственности детского стоматолога входят:
Детский стоматолог работает не только с зубами, но и с эмоциональным состоянием ребенка. Главная задача — сделать так, чтобы визиты к врачу проходили спокойно, без стресса и формировали у ребенка правильное отношение к заботе о здоровье зубов.
Обращаться к детскому стоматологу стоит не только при жалобах, но и для профилактических осмотров, когда симптомов нет. Многие проблемы у детей развиваются быстро и могут долго оставаться незаметными.
Среди показаний к консультации врача:
Также важны регулярные осмотры. Даже если ребенка ничего не беспокоит, профилактический осмотр 1–2 раза в год необходим. Регулярное посещение врача помогает вовремя выявить проблемы и избежать сложного лечения, сформировать у ребенка спокойное отношение к стоматологу.
К консультации детского стоматолога противопоказаний нет. Осмотр полости рта — это безопасная, безболезненная процедура, которую можно проводить даже самым маленьким детям.
Консультация направлена на знакомство ребенка с врачом, оценку состояния зубов и формирование правильного отношения к лечению.
В редких случаях прием лучше отложить. Консультацию переносят в ряде случаев:
Иногда ребенок может бояться или не сразу идти на контакт — это нормально. В таких случаях врач действует постепенно:
Консультация помогает ребенку привыкнуть к стоматологу без страха. Даже если лечение не требуется, такой визит формирует спокойное отношение к врачу и помогает избежать проблем в будущем.
Детский стоматолог занимается лечением заболеваний зубов и полости рта у детей с учетом возраста и особенностей развития.
Основные заболевания и состояния, которые лечит врач, включают:
У детей заболевания зубов зачастую развиваются быстрее, чем у взрослых, поэтому откладывать лечение не стоит.
Консультация детского стоматолога позволяет вовремя выявить проблему и провести лечение максимально щадяще, а также эффективно.
Детский стоматолог помогает вылечить зубы, патологии полости рта и сформировать у ребенка правильное отношение к уходу и гигиене. Перед специалистом стоит ряд задач:
Здоровье молочных зубов напрямую влияет на формирование зубов постоянных. Своевременная помощь детского стоматолога позволяет избежать сложного лечения в будущем и сохранить здоровье полости рта.
Специальной подготовки к консультации детского стоматолога не требуется. Прием проходит в мягкой, адаптированной для ребенка форме. Чаще всего начинается с знакомства и осмотра.
Однако есть несколько простых рекомендаций, которые помогут сделать визит спокойным и комфортным. Желательно:
Что не стоит делать:
Первый визит часто носит ознакомительный характер: ребенок знакомится с врачом, кабинетом и привыкает к обстановке. Коррекция проводится в дальнейшем. Даже если лечение не требуется, такой опыт формирует доверие и помогает в будущем проходить приемы спокойно и без стресса.
Врач устанавливает контакт с ребенком:
Проводится бережно и безболезненно:
Если требуется, могут быть назначены дополнительные исследования, но только с учетом возраста ребенка.
Врач объясняет текущее состояние зубов, есть ли проблемы, нужно ли лечение. Родителям дают советы по уходу за зубами ребенка, по питанию и профилактике.
Консультация проходит без боли и занимает минимум времени.
Страх перед стоматологом — частая ситуация у детей. Важно помочь ребенку справиться с тревогой.
Что могут сделать родители:
Справиться ребенку с тревогой помогает и сам детский стоматолог. Специалист действует несколькими способами:
Если страх сильный — иногда требуется несколько адаптационных визитов без лечения. Только знакомство и осмотр. Поэтапный подход без спешки помогает ребенку привыкнуть и снизить тревожность.
Первый опыт у стоматолога во многом определяет отношение ребенка к лечению в будущем. Чем спокойнее и мягче проходит знакомство с врачом, тем проще будут последующие визиты.
Рекомендуется показать ребенка стоматологу при появлении первых зубов или не позднее 1 года.
Даже молочные зубы требуют внимания:
На первом приеме врач проводит бережный осмотр. Оценивает состояние зубов и десен, дает свои рекомендации по уходу, а также советы по питанию и профилактике патологий ротовой полости.
Посещение стоматолога в раннем возрасте требуется, чтобы родители получили подробные рекомендации по уходу. Тем самым снижается риск развития кариеса и других патологий полости рта. Ранний визит — вопрос профилактики и спокойного знакомство с врачом.
Стоимость зависит от нескольких факторов:
Лечение кариеса
7 000 ₽
6 000 ₽
Лечение пульпита
14 000 ₽
13 000 ₽
Итого за всё «под ключ»
3 500 ₽ 2 500 ₽
Лечение кариеса
9 500 ₽
8 500 ₽
Лечение пульпита
13 500 ₽
12 500 ₽
Итого за всё «под ключ»
3 500 ₽ 2 500 ₽
Удаление молочного зуба
6 000 ₽
5 000 ₽
Удаление подвижного зуба
2 000 ₽
1 800 ₽
Итого за всё «под ключ»
2 500 ₽ 2 000 ₽
Не ждите, пока ребенок пожалуется на боль. У детей кариес развивается быстрее, чем у взрослых. На ранних стадиях он может протекать практически незаметно, без выраженной симптоматики. Регулярные осмотры у детского стоматолога (1–2 раза в год или чаще, по усмотрению врача) помогают:
Есть несколько рекомендаций родителям:
От состояния молочных зубов зависит здоровье постоянных. Чем раньше сформируются правильные привычки ухода и спокойное отношение к стоматологу, тем проще ребенку будет поддерживать здоровье зубов в будущем. В том числе во взрослые годы.
Детский стоматолог
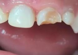
Пациент:
Егор, 7 лет
Жалобы пациента:
скол переднего зуба после падения на улице.
Что делали:
Результат:
зуб восстановлен, эстетика улыбки сохранена, ребёнок чувствует себя уверенно и комфортно.
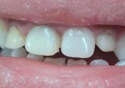
Пациент:
Алина, 6 лет
Жалобы пациента:
скол на переднем зубе из-за кариеса, чувствительность при еде.
Что делали:
Результат:
зуб восстановлен и выглядит естественно, исчез дискомфорт при еде, проведена профилактика новых кариозных поражений.
Пациент:
Мария, 6 лет
Жалобы пациента:
профилактический осмотр, родители хотели защитить зубы от кариеса.
Что делали:
Результат:
молочные зубы защищены, риск кариеса снижен, ребёнок получил позитивный опыт визита к стоматологу.
Мы учитываем возраст, психологические особенности и состояние здоровья ребёнка, чтобы лечение прошло максимально комфортно.
Используем современные технологии и безопасные материалы, подходящие даже самым маленьким пациентам.
Регулярные осмотры помогают вовремя заметить проблемы и сформировать правильные привычки ухода за зубами.
Мы не только лечим зубы, но и помогаем сохранить их надолго, чтобы ребёнок рос с красивой и здоровой улыбкой.
В клинике «КДС» особое внимание уделяем качеству и безопасности детского лечения. Все процедуры проводят врачи с опытом работы с детьми под контролем главного врача. Мы используем щадящие методики, сертифицированные материалы и современное оборудование.
Звоните:
В клинике «КДС» в Санкт-Петербурге прием ведут детские стоматологи с опытом работы с пациентами разного возраста — от малышей до подростков. Мы уделяем особое внимание не только лечению, но и психологическому комфорту ребенка. Первый визит проходит в формате знакомства: врач мягко устанавливает контакт, объясняет все в доступной форме. Помогает ребенку почувствовать себя спокойно.
Почему стоит обратиться в клинику «КДС» у метро Пионерская:
Чтобы задать дополнительные вопросы, узнать подробности или записаться на прием к специалисту — обратитесь по номеру, который вы видите на сайте.
Детский стоматолог
Коломяжский проспект, 20
ул.Коллонтай, 17 к.2
пр.Народного Ополчения, 10
Стоматолог-терапевт, детский стоматолог
Коломяжский проспект, 20
Этичный медицинский подход. Используем только те технологии и методики лечения, которые предложили бы своим близким.
Опытные врачи. Ваше здоровье в надёжных руках специалистов, которые не только постоянно повышают квалификацию, но и обучают коллег.
Прозрачные условия. Фиксированная стоимость лечения и понятная этапность без скрытых доплат.
Екатерина
+7-910-8ХХ-ХХ-ХХ
Долго искала клинику, где можно одновременно решить все проблемы с зубами — и кариес, и протезирование. В КДС составили полный план лечения, объяснили каждый шаг, а врачи сделали всё максимально комфортно. Здесь чувствуешь себя в надёжных руках.
Алексей
+7-917-5ХХ-ХХ-ХХ
Мне проводили имплантацию и протезирование «всё на 4». Сначала было страшно, но команда хирургов и ортопедов всё объяснила и оказала моральную поддержку. Результат превзошёл ожидания — чувствую себя прекрасно с новой улыбкой.
Марина
+7-916-8ХХ-ХХ-ХХ
Привела ребёнка на ортодонтическое лечение. Очень боялась, что будет трудно его убедить в необходимости установки брекетов, но врачи нашли индивидуальный подход: объясняли всё по шагам, использовали современные методы адаптации детей к осмотру. Сейчас сын спокойно носит брекеты, посещает приемы, а результат уже виден!
Сергей
+7-910-4ХХ-ХХ-ХХ
Долго откладывал лечение дисфункции височно-нижнечелюстного сустава, пока не обратился в КДС. В клинике провели комплексную диагностику, сделали сплинты, ортопедическую подготовку и протезирование. После курса лечения исчезли боли и щелчки, и я снова могу нормально жевать.
Алина
+7-906-6ХХ-ХХ-ХХ
Хочу поблагодарить команду КДС за профессионализм и честность. Когда предлагались методы, которые могли бы быть сомнительными, врачи честно объяснили риски и предложили лучшее решение. Чувствуется, что заботятся о пациентах, а не просто о доходе.
Иван
+7-915-5ХХ-ХХ-ХХ
Мне удаляли зубы мудрости под седацией. Процедура прошла абсолютно спокойно, а врачи всё объяснили ещё до наркоза. После лечения ни боли, ни неприятных ощущений. Очень удобно, что здесь комплексный подход — сразу делают всё, что нужно, без лишних визитов.