


Ортодонт — это специалист, который работает над нормализацией прикуса и возвращением зубов в верное анатомическое положение. Многие пациенты обращаются к нему из-за эстетики, однако неправильное положение зубов — это не только косметическая проблема. Это еще и фактор, который сказывается на здоровье всей зубочелюстной системы.
Нарушения прикуса могут привести к осложнениям. В том числе к повышенной стираемости зубов, проблемам с деснами, перегрузке отдельных участков челюсти и даже к болям в височно-нижнечелюстном суставе, артриту и артрозу ВНЧС.
Консультация ортодонта позволяет выявить нарушения, оценить необходимость лечения и подобрать наиболее подходящий способ коррекции. Современные методы ортодонтического лечения позволяют исправить прикус в любом возрасте. Как у подростков, так и у взрослых пациентов.
Ортодонтия — одно из направлений стоматологии. Ортодонт занимается исправлением прикуса и выравниванием зубов, возвращением их в анатомически верное положение. Его задача, с одной стороны сделать улыбку эстетически привлекательной, а с другой — восстановить правильную работу зубочелюстной системы.
Врач анализирует положение зубов, соотношение челюстей и нагрузку при жевании. На основе результатов проведенной диагностики он подбирает метод лечения. Шире всего используются брекет-системы, которые позволяют скорректировать аномалии прикуса даже в сложных клинических случаях.
Работа ортодонта направлена на решение нескольких задач:
Ортодонтическое лечение позволяет добиться эстетики и здоровья всей полости рта, а также ВНЧС.
Обращаться к ортодонту стоит при любых нарушениях положения зубов или прикуса, даже если они кажутся незначительными.
Основные показания следующие:
Также консультация ортодонта рекомендуется детям и подросткам для своевременного выявления нарушений и более простого исправления патологических изменений на ранней стадии. Чем раньше обнаружена проблема, тем легче и быстрее проходит лечение.
К консультации ортодонта противопоказаний нет. Осмотр, диагностика и составление плана лечения — это безопасные процедуры, которые можно проводить в любом возрасте, независимо от состояния здоровья.
Что касается ортодонтического лечения — в большинстве случаев оно также возможно. Однако иногда требуется предварительная подготовка или перенос вмешательства на более поздний срок.
Лечение могут отложить, если у пациента имеются факторы риска:
Также к противопоказаниям относятся тяжелые формы пародонтита, серьезные системные заболевания (лечение возможно только по согласованию с врачом).
Сказывается на качестве и возможности коррекции и низкая мотивация пациента (важно соблюдать рекомендации по гигиене и уходу в период коррекции).
В большинстве случаев ортодонтическое лечение возможно после подготовки — санации полости рта, профессиональной гигиены и стабилизации состояния десен. Консультация ортодонта позволяет оценить все риски, определить оптимальное время для начала терапии и подобрать наиболее безопасную, эффективную тактику.
Ортодонт помогает выровнять зубы и восстановить правильную работу всей зубочелюстной системы. Основные задачи врача такие:
Кроме того, ортодонтическое лечение часто необходимо перед протезированием или имплантацией.
Исправление прикуса — это постепенный процесс. Ортодонт постепенно перемещает зубы в правильное положение с помощью специальных конструкций. Для этого используются проверенные и эффективные методы — в первую очередь применяют брекет-системы.
Как проходит лечение — зависит от ситуации. Как правило, коррекция проводится в несколько этапов.
Диагностика и планирование. Перед началом лечения врач проводит осмотр, назначает снимки и проводит расчеты, чтобы точно определить положение зубов и составить план коррекции.
Установка брекет-системы. На зубы фиксируются специальные замочки (брекеты), которые соединяются дугой. Именно дуга создает мягкое, постоянное давление, перемещает зубы в нормальное положение.
Постепенное выравнивание. В процессе лечения ортодонт регулярно корректирует систему — меняет дуги, регулирует натяжение. Это позволяет контролировать движение зубов и направлять их в нужное положение.
Формирование правильного прикуса. Помимо выравнивания зубов, врач добивается правильного смыкания челюстей, чтобы нагрузка распределялась равномерно.
Закрепление результата. После снятия брекетов устанавливают ретенционные конструкции, которые фиксируют зубы в новом положении и предотвращают их смещение в прежнее аномальное положение.
Брекет-системы позволяют точно контролировать движение каждого зуба. Дают возможность работать даже с самыми сложными клиническими случаями. Результат — это не только ровные зубы, но и правильная работа всей зубочелюстной системы, что важно для долгосрочного поддержания здоровья.
Срок ортодонтического лечения зависит от сложности случая, возраста пациента и индивидуальных особенностей организма. В среднем процесс занимает от 1 до 2 лет, но в некоторых ситуациях продолжительность может быть другой. Порой требуется больше или, наоборот, меньше времени.
Длительность лечения зависит от ряда факторов, среди которых:
Примерные сроки следующие:
После основного этапа лечения обязательно следует ретенционный период — время, когда результат закрепляют с помощью специальных конструкций (ретейнеров). Этот этап может длиться еще несколько лет, так как зубам нужно время, чтобы окончательно закрепиться в новом положении.
Точные сроки всегда определяются на консультации ортодонта после диагностики. Прием специалиста позволяет спрогнозировать результат и заранее понять, сколько времени займет лечение.
Да, обращаться к ортодонту можно и нужно в любом возрасте. Исправление прикуса эффективно не только у детей и подростков, но и у взрослых пациентов. Современные методы лечения позволяют корректировать положение зубов даже при полностью сформированной зубочелюстной системе.
Важно, однако, учитывать несколько нюансов:
Результаты идентичны в любом возрасте:
Возраст не считается ограничением. Гораздо важнее состояние зубов и десен, а также готовность пациента следовать рекомендациям врача. Консультация ортодонта поможет оценить ситуацию и понять, каких результатов можно добиться именно в вашем случае.
Стоимость зависит от нескольких факторов:
Система на 1 челюсть
70 000 ₽
60 000 ₽
Система на 2 челюсти
140 000 ₽
120 000 ₽
Итого за всё «под ключ»
350 000 ₽ 320 000 ₽
Система на 1 челюсть
85 000 ₽
75 000 ₽
Система на 2 челюсти
170 000 ₽
150 000 ₽
Итого за всё «под ключ»
380 000 ₽ 370 000 ₽
Система на 1 челюсть
95 000 ₽
85 000 ₽
Система на 2 челюсти
190 000 ₽
170 000 ₽
Итого за всё «под ключ»
450 000 ₽ 420 000 ₽
Не откладывайте консультацию ортодонта, даже если проблема кажется незначительной. Небольшая скученность или неправильное смыкание зубов со временем могут привести к стираемости эмали, заболеваниям десен и дополнительной нагрузке на челюстной сустав. Выраженным осложнениям, которые потребуют куда более сложного лечения.
Чем раньше выявлено нарушение прикуса, тем проще и быстрее проходит лечение. Причем даже во взрослом возрасте можно добиться отличного результата — главное, начать.
Во время лечения важно строго соблюдать рекомендации врача:
Конкретные рекомендации даст специалист.
Стоматолог-ортодонт
Пациент:
Анна, 28 лет
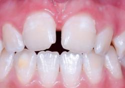
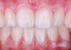
Жалобы пациента:
сильная стираемость зубов, эстетический дефект улыбки.
Что делали:
Результат:
нормализован прикус, восстановлена функция жевания, зубы выглядят ровно и эстетично.
Пациент:
Дмитрий, 25 лет
Жалобы пациента:
неровный зубной ряд, затруднённая гигиена.
Что делали:
Результат:
зубы выровнены, восстановлена симметрия, улучшено положение челюсти.
Пациент:
Мария, 15 лет
Жалобы пациента:
щель между зубами, нарушение дикции.
Что делали:
Результат:
устранён открытый прикус, улучшена речь, улыбка стала гармоничной.
Мы подбираем методику и систему брекетов с учётом особенностей прикуса.
Регулярные визиты к врачу позволяют отслеживать динамику, корректировать план.
Мы используем современные технологии и материалы.
После завершения лечения мы обеспечиваем ретенционный период.
Гарантия в КДС: мы отвечаем за результат, так как комплексно подходим к лечению патологий прикуса.
Звоните:
В клинике «КДС» консультацию проводят опытные ортодонты, которые специализируются на исправлении прикуса и выравнивании зубов различной сложности. Мы подходим к лечению комплексно. Учитываем не только эстетику, но и функциональность зубочелюстной системы.
Перед началом лечения проводится тщательная диагностика. Детальное обследование позволяет точно спланировать процесс и спрогнозировать результат.
Почему стоит обратиться в «КДС»:
Узнать подробности, задать вопросы или записаться на консультацию к ортодонту можно по номеру нашей клиники в Санкт-Петербурге. Телефон указан на сайте.
Генеральный директор, стоматолог-ортодонт, врач высшей категории, к.м.н.
Коломяжский проспект, 20
ул.Коллонтай, 17 к.2
пр.Народного Ополчения, 10
Главный врач, стоматолог-ортодонт
ул.Коллонтай, 17 к.2
пр.Народного Ополчения, 10
Этичный медицинский подход. Используем только те технологии и методики лечения, которые предложили бы своим близким.
Опытные врачи. Ваше здоровье в надёжных руках специалистов, которые не только постоянно повышают квалификацию, но и обучают коллег.
Прозрачные условия. Фиксированная стоимость лечения и понятная этапность без скрытых доплат.
Екатерина
+7-910-8ХХ-ХХ-ХХ
Долго искала клинику, где можно одновременно решить все проблемы с зубами — и кариес, и протезирование. В КДС составили полный план лечения, объяснили каждый шаг, а врачи сделали всё максимально комфортно. Здесь чувствуешь себя в надёжных руках.
Алексей
+7-917-5ХХ-ХХ-ХХ
Мне проводили имплантацию и протезирование «всё на 4». Сначала было страшно, но команда хирургов и ортопедов всё объяснила и оказала моральную поддержку. Результат превзошёл ожидания — чувствую себя прекрасно с новой улыбкой.
Марина
+7-916-8ХХ-ХХ-ХХ
Привела ребёнка на ортодонтическое лечение. Очень боялась, что будет трудно его убедить в необходимости установки брекетов, но врачи нашли индивидуальный подход: объясняли всё по шагам, использовали современные методы адаптации детей к осмотру. Сейчас сын спокойно носит брекеты, посещает приемы, а результат уже виден!
Сергей
+7-910-4ХХ-ХХ-ХХ
Долго откладывал лечение дисфункции височно-нижнечелюстного сустава, пока не обратился в КДС. В клинике провели комплексную диагностику, сделали сплинты, ортопедическую подготовку и протезирование. После курса лечения исчезли боли и щелчки, и я снова могу нормально жевать.
Алина
+7-906-6ХХ-ХХ-ХХ
Хочу поблагодарить команду КДС за профессионализм и честность. Когда предлагались методы, которые могли бы быть сомнительными, врачи честно объяснили риски и предложили лучшее решение. Чувствуется, что заботятся о пациентах, а не просто о доходе.
Иван
+7-915-5ХХ-ХХ-ХХ
Мне удаляли зубы мудрости под седацией. Процедура прошла абсолютно спокойно, а врачи всё объяснили ещё до наркоза. После лечения ни боли, ни неприятных ощущений. Очень удобно, что здесь комплексный подход — сразу делают всё, что нужно, без лишних визитов.