Врач уточняет жалобы, симптомы, историю заболеваний и пожелания пациента.



Здоровье зубов и десен влияет не только на внешний вид улыбки, но и на общее состояние организма. Многие стоматологические проблемы развиваются незаметно и дают о себе знать уже на поздних стадиях, когда лечение становится более сложным и затратным.
Консультация стоматолога позволяет вовремя обнаружить заболевания и нарушения: кариес, воспаление десен, аномалии прикуса и другие патологии. Врач оценивает состояние полости рта. При необходимости назначает дополнительные исследования и подробно объясняет, какие меры стоит предпринять.
Регулярные визиты к стоматологу помогают избежать серьезных осложнений, сохранить зубы и сэкономить на лечении в будущем. Даже если вас ничего не беспокоит — необходимо проходить регулярные осмотры. Это вопрос профилактики заболеваний полости рта.
Стоматология — обширная область медицины. Она включает несколько направлений. Существует группа специалистов.
Стоматолог-терапевт — чаще всего это первый специалист, к которому обращаются при проблемах с зубами. Именно с его консультации начинается лечение. Он занимается диагностикой и терапией кариеса, пульпита, периодонтита и других распространенных заболеваний полости рта.
На приеме врач проводит тщательный осмотр, оценивает состояние эмали, пломб, десен и выявляет скрытые патологические процессы. При необходимости назначает дополнительные исследования (рентген-диагностику и прочие), дает направления к профильным специалистам (хирургу, ортопеду и другим, по ситуации).
Консультация включает в себя ряд мер:
Консультация стоматолога-терапевта помогает вовремя остановить развитие заболеваний и избежать более сложного и дорогостоящего лечения в будущем.
Стоматолог-хирург специализируется на проведении оперативных вмешательств в полости рта. Консультация этого врача необходима, когда показано удаление зуба, пациент готовится к имплантации или необходимо лечение сложных воспалительных, гнойных и иных процессов.
Во время приема врач оценивает состояние зубов и окружающих тканей, анализирует снимки и определяет оптимальную тактику лечения.
Что входит в консультацию:
Консультация стоматолога-хирурга позволяет заранее оценить все риски, выбрать наиболее щадящий метод вмешательства и подготовиться к процедуре как физически, так и психологически.
Стоматолог-имплантолог — это специалист, который занимается восстановлением зубов с помощью имплантов.
Чаще всего это не отдельный врач, а стоматолог-хирург, прошедший дополнительную подготовку в области имплантации.
На консультации врач оценивает состояние костной ткани, десен и всей зубочелюстной системы, чтобы определить возможность установки имплантов и подобрать оптимальный метод коррекции в конкретной ситуации.
Консультация включает:
Консультация имплантолога позволяет понять, можно ли восстановить зубы на имплантах в вашем случае, какие есть альтернативы и как будет проходить весь процесс. Чаще всего имплантолог работает в команде с другими специалистами: стоматологом-терапевтом, стоматологом-ортопедом и иными, при необходимости.
Стоматолог-ортодонт специализируется на исправлении прикуса и выравнивании зубов. Консультация врача необходима не только при заметном неправильном положении зубов, но и при нарушениях смыкания челюстей.
Любые нарушения подобного плана могут вызывать дискомфорт, функциональные расстройства и проблемы со здоровьем. Откладывать консультацию ортодонта и лечение, если имеются показания, не стоит.
На приеме врач оценивает положение зубов, работу челюстей и пропорции лица. При необходимости назначает специальные исследования — снимки, слепки, цифровое сканирование.
Что входит в консультацию:
Консультация ортодонта помогает улучшить эстетику улыбки и нормализовать функцию зубочелюстной системы. Тем самым можно предотвратить ранний износ зубов, боли в челюсти и другие осложнения, которые существенно снижают качество жизни.
Стоматолог-ортопед занимается восстановлением разрушенных или утраченных зубов с помощью коронок, мостов, виниров и других ортопедических конструкций. Консультация этого специалиста необходима, если зуб сильно поврежден (не подлежит восстановлению) или вообще отсутствует. Это вопрос сохранение функций зубочелюстной системы и устранения косметических проблем.
На первичном приеме врач оценивает состояние зубов, прикус и функциональную нагрузку. Это нужно, чтобы подобрать оптимальный способ восстановления зубного ряда, с учетом долговечности, эстетики и бюджета пациента.
В консультацию входят:
Консультация стоматолога-ортопеда дает возможность выбрать наиболее подходящий способ восстановления зубов, вернуть комфорт при жевании и естественный внешний вид, привлекательность улыбки.
Стоматолог-гигиенист специализируется на профилактике заболеваний зубов и десен. Консультация гигиениста особенно важна для поддержания здоровья полости рта, предотвращения кариеса и воспалительных процессов.
В ходе приема специалист оценивает уровень гигиены, наличие зубного налета и камня, состояние десен. Дает свои рекомендации по правильному уходу.
Консультация гигиениста включает:
Консультация гигиениста дает возможность сформировать правильные привычки ухода за зубами. Таким образом — снизить риск развития заболеваний, обусловленных недостаточной гигиеной полости рта.
Стоматолог-пародонтолог занимается диагностикой и лечением заболеваний десен и пародонта — тканей, окружающих зубы. Консультация специалиста необходима, если есть характерные симптомы заболеваний пародонта. Речь идет о кровоточивости, отеке, неприятном запахе изо рта, подвижности зубов или оголении корней.
На приеме врач оценивает состояние десен, глубину пародонтальных карманов и степень поражения тканей. Такой подход позволяет выявить заболевания на ранней стадии и предотвратить потерю зубов.
Что входит в консультацию:
Консультация пародонтолога нужна, чтобы своевременно выявить гингивит и пародонтит, остановить воспалительный процесс и сохранить здоровье десен.
Если вы не уверены, к какому специалисту записаться — начнита с терапевта. В большинстве случаев первым врачом становится именно стоматолог-терапевт. Он проведет осмотр и при необходимости направит к специалисту узкого профиля.
Ориентироваться можно по симптомам:
Если ситуация сложная или вызывает сомнения, лучше записаться на первичную консультацию к стоматологу-терапевту. Врач проведет диагностику и подскажет, какой специалист нужен именно в вашем случае.
Врач уточняет жалобы, симптомы, историю заболеваний и пожелания пациента.
Проводится диагностика состояния зубов, десен, прикуса и слизистой оболочки.
Например, рентген-снимки или компьютерная томография для более точной оценки состояния тканей.
На основе всех данных врач определяет проблему или подтверждает, что заболеваний и проблем нет.
Пациенту подробно объясняют возможные варианты, сроки, этапы и стоимость коррекции.
Специалисты дают советы по уходу за полостью рта и профилактике заболеваний.
Консультация — это возможность спокойно обсудить все вопросы, развеять сомнения и принять взвешенное решение о дальнейшем лечении.
Современная стоматология предлагает широкий спектр методов лечения. Способы подбирают индивидуально, в зависимости от проблемы, состояния полости рта и пожеланий пациента.
Основные направления лечения следующие.
Комплексный подход позволяет устранить текущую проблему и предотвратить ее повторное появление.
Не откладывайте визит к стоматологу до появления боли и других симптомов. Большинство заболеваний зубов и десен на ранних стадиях протекают практически незаметно, но именно в этот период они лечатся быстрее, проще и дешевле.
Старайтесь проходить профилактический осмотр не реже 1–2 раз в год, даже если вас ничего не беспокоит. Регулярная профессиональная гигиена и правильный домашний уход помогут сохранить здоровье зубов на долгие годы.
Стоматолог-терапевт
Пациент:
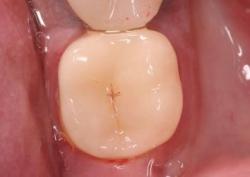
Ирина, 29 лет
Жалобы пациента:
повышенная чувствительность к холодному, потемнение на жевательной поверхности зуба.
Что делали:
Результат:
зуб полностью восстановлен, исчезла чувствительность, эстетика и жевательная функция сохранены.
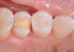
Пациент:
Алексей, 42 года
Жалобы пациента:
сильная пульсирующая боль в верхнем моляре, которая усиливалась ночью.
Что делали:
Результат:
боль полностью устранена, зуб сохранён, риск повторного воспаления минимизирован.
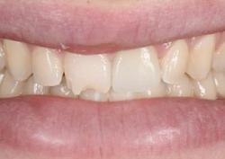
Пациент:
Мария, 35 лет
Жалобы пациента:
скол на переднем зубе после удара, нарушена форма и эстетика зубного ряда.
Что делали:
Результат:
зуб полностью восстановлен, форма и цвет естественные, эстетика улыбки возвращена.
В клинике «КДС» у метро Пионерская прием ведут врачи разных направлений — терапевты, хирурги, ортопеды, ортодонты и другие специалисты большим практическим опытом. Мы подходим к каждому случаю индивидуально. Учитываем не только клиническую ситуацию, но и пожелания пациента.
Почему выбирают консультацию в «КДС»:
Чтобы узнать больше или записаться на прием — обратитесь по номеру нашей клиники в СПб. Телефон указан на сайте.
Старший стоматолог-ортопед, врач высшей категории
Коломяжский проспект, 20
пр.Народного Ополчения, 10
Главный врач, стоматолог-ортодонт
ул.Коллонтай, 17 к.2
пр.Народного Ополчения, 10
Главный врач, стоматолог-терапевт
Коломяжский проспект, 20
пр.Народного Ополчения, 10
Этичный медицинский подход. Используем только те технологии и методики лечения, которые предложили бы своим близким.
Опытные врачи. Ваше здоровье в надёжных руках специалистов, которые не только постоянно повышают квалификацию, но и обучают коллег.
Прозрачные условия. Фиксированная стоимость лечения и понятная этапность без скрытых доплат.
Екатерина
+7-910-8ХХ-ХХ-ХХ
Долго искала клинику, где можно одновременно решить все проблемы с зубами — и кариес, и протезирование. В КДС составили полный план лечения, объяснили каждый шаг, а врачи сделали всё максимально комфортно. Здесь чувствуешь себя в надёжных руках.
Алексей
+7-917-5ХХ-ХХ-ХХ
Мне проводили имплантацию и протезирование «всё на 4». Сначала было страшно, но команда хирургов и ортопедов всё объяснила и оказала моральную поддержку. Результат превзошёл ожидания — чувствую себя прекрасно с новой улыбкой.
Марина
+7-916-8ХХ-ХХ-ХХ
Привела ребёнка на ортодонтическое лечение. Очень боялась, что будет трудно его убедить в необходимости установки брекетов, но врачи нашли индивидуальный подход: объясняли всё по шагам, использовали современные методы адаптации детей к осмотру. Сейчас сын спокойно носит брекеты, посещает приемы, а результат уже виден!
Сергей
+7-910-4ХХ-ХХ-ХХ
Долго откладывал лечение дисфункции височно-нижнечелюстного сустава, пока не обратился в КДС. В клинике провели комплексную диагностику, сделали сплинты, ортопедическую подготовку и протезирование. После курса лечения исчезли боли и щелчки, и я снова могу нормально жевать.
Алина
+7-906-6ХХ-ХХ-ХХ
Хочу поблагодарить команду КДС за профессионализм и честность. Когда предлагались методы, которые могли бы быть сомнительными, врачи честно объяснили риски и предложили лучшее решение. Чувствуется, что заботятся о пациентах, а не просто о доходе.
Иван
+7-915-5ХХ-ХХ-ХХ
Мне удаляли зубы мудрости под седацией. Процедура прошла абсолютно спокойно, а врачи всё объяснили ещё до наркоза. После лечения ни боли, ни неприятных ощущений. Очень удобно, что здесь комплексный подход — сразу делают всё, что нужно, без лишних визитов.